近来,越来越多关心孩子口腔健康的爸爸妈妈都向我发来问题,问我许多关于宝宝牙齿保护的问题。我把特别集中的一些问题整理了一下,决定在这里每天回答一个小问题,帮助大家增进口腔保护的健康知识,更好地爱护宝宝和家人的口腔健康,拥有一口好牙,绽放自信微笑。
-
爱牙每日答

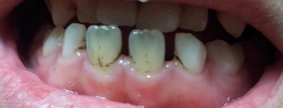
问:我家宝宝四岁了,最近发现她牙齿上有黑斑,刚开始以为是吃东西时不小心沾到了什么,用纸巾擦也擦不掉,才知道原理是牙齿长斑了。她年龄这么小,怎么会牙齿上长黑斑呢?该如何祛除这些黑斑?
答:宝宝牙齿长黑斑是怎么回事?
宝宝牙齿表面出现黑斑主要有两种可能:一是单纯的色素沉着,当牙在颌骨内发育矿化期间由于疾患、营养障碍或严重的乳牙根尖周感染所导致的釉质结构异常,其牙也可能出现发育缺陷,肉眼能见到牙齿表面上出现凹陷或牙面上有横沟,这些都是釉质表面上形成凹陷和矿化不良的原因。如果宝宝喜欢吃甜食或有色的食物,也可能与宝宝体质弱患病后进食有色的药物有关,吃完上述一类食物或药物后,造成食物、药物残渣附着在牙齿表面,又不能及时擦拭、漱口、刷牙等进行口腔清洁,导致牙釉质被色素染料浸透沉积,宝宝牙齿表面出现黑斑。二是牙面着色常与菌斑微生物有关,色素往往沉着于菌斑牙石上,当牙齿出现龋坏后,将促使色素沉着更快更严重。

宝宝牙齿长黑斑该怎么办?
首先一定要注意口腔卫生,让宝宝养成早晚刷牙饭后漱口的好习惯,如果是单纯的色素沉着,随着时间的推移,刷牙是可以让斑点慢慢淡化的,如果觉得黑斑顽固影响美观可到医院咨询洗牙。
其次,不要给宝宝吃太多甜食和颜色较深的食物,吃完有色食物后一定要彻底清洁牙齿。
第三,如果牙齿长斑是龋坏引起,一定要及时就医,以免恶化。