祸不单行脑干出血,百度来解释

母亲3天前去世,这两天股票又陪了钱,本来就有高血压56岁的她,已经几夜无法入眠了,半夜1点多发呆的他突然倒地被家人发现。
患者被紧急送到医院确诊为脑干出血,患者的呼吸和心率已经受到影响。
患者的儿子来探视时问医生:“我父亲脑干出血在什么位置?”
医生一看问的比较专业,因为人脑分为大脑、小脑和脑干;脑干又是由三个部分组成,中脑、脑桥和延髓。
现在很多人都知道脑干出血很重,但是更加细化的脑干出血部位就不知道了。
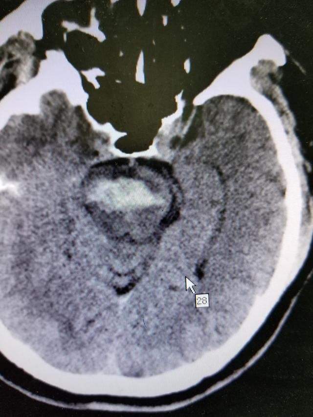
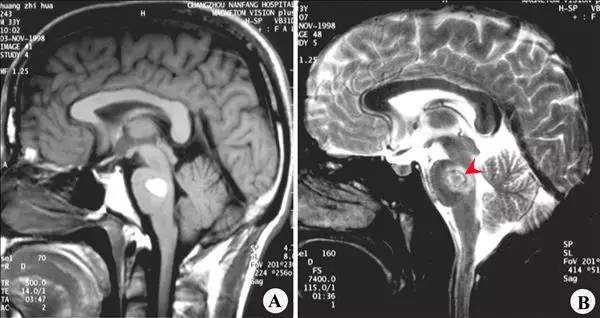
医生告诉患者的儿子:“主要的出血部位是脑干的延髓。”
患者的儿子当时啊了一声:“这个部位就太危险了,还能活吗?”
医生很惊讶的问:“你是学医的?”
患者的儿子说:“听说父亲脑干出血,百度了很多,认真看了,知道脑干的这个地方最重要。”
脑干出血非常凶险,特别是延髓部位的,因为这里有呼吸循环中枢,出血后往往会导致患者的呼吸和心跳。
血压多高容易出现脑出血?

脑出血病人中有长期高血压病史者近90%,平均年限为13年,这些患者的收缩压一般都在160~240mmHg之间,舒张压在90~160mmHg之间,是老年高血压最严重的并发症。所以把血压控制在正常的140/90mmHg,这样会大大降低脑出血的发生。
1、高血压可促进动脉硬化和形成微型动脉瘤。血压升高时,小动脉的长期加压作用,使动脉内膜增厚、玻璃样变性、纤维化增生,以致形成小动脉硬化。
这种小的脑实质内穿透动脉,在长期高血压的作用下,常有微型动脉瘤形成,主要分布于基底神经节和桥脑。微型动脉瘤壁较薄弱,当血压骤然上升时,动脉瘤易破裂产生脑出血。
2、由于长期高血压的作用,使已经硬化的动脉血管内膜完整性破坏,促进了血浆中的脂质易通过破损处进入内膜,使动脉壁发生脂肪玻璃样变或纤维素样坏死,增加了血管壁的脆性,当情绪激动、劳累或用劲排便时,造成血压进一步升高,就易引起血管破裂,发生脑出血。
脑干出血的特点

1、意识障碍出现早、昏迷深和持续时间长;
2、瞳孔变化多样,如针尖样瞳孔、眼球震颤、眼球活动受限等。
3、病情变化多而快:可由偏瘫发展为四肢瘫,病理征由一侧发展为双侧。
4、重症者并发症多:如呼吸衰竭、体温不升和高热、肺部感染、上消化道出血、血糖升高、发热等。
5、预后差;除少数脑干出血量大,破入脑室,引起急性梗阻性脑积水者,需行脑室外分流术外,多数主要采用保守治疗。因此,质量的好坏直接与患者预后相关。
6、该部位发生出血,即使微小的出血和血肿可引起严重的后果。其临床表现危重,易出现昏迷、中枢性呼吸循环衰竭、脑内脏综合征、脑疝、MODS等致命性并发症。
为啥脑干几毫升的血就昏迷了?

很多人都会问:脑干出血几毫升就昏迷,而有的人出血几十毫升还没什么事?
主要是因为这个出血的地方叫脑干:
1、脑是人最重要的器官,而脑干又是人脑中最重要的部位,管人的呼吸和心跳的地方就在这里,还有链接大脑与身体的重要传导通路。
2、脑干重要但占得地方却很小,大约自己大拇指这么粗,并且对外界影响反应剧烈,以前这里是脑科手术的禁区,现在很多水平高超的神经外科医生已经可以做脑干部位手术了。在手术过程中滴上一滴水病人呼吸和心跳都会有明显的变化。
3、相同量的脑出血,出血部位不同,对身体身体的影响和处置方式完全不同 。
在大脑半球一般30毫升以下都不用手术,在小脑10毫升以上就要手术了。但脑干出血一般很少手术,因为位置太重要,手术难度大,手术后可能损伤更大。
4、脑干并不是一个部位,它包括中脑,脑桥,延髓三部分,不同部位出血症状是不一样的,但这些地方都很重要,一般如果出血5毫升以上就算出血量大的,预后相对较差。
怎样预防脑出血?

1、稳定血压是第一位的。必须早期发现并及时治疗高血压,定期检查,确诊后就应坚持服药治疗,以降低及稳定血压,防止反跳及过度波动。
2、情绪稳定不可少。悲喜勿过,淡泊名利,知足常乐。
3、养成好的生活习惯很重要。彻底的戒烟酒,不劳累,不熬夜,饮食清淡。
4、通畅的大便很关键,因为用力大便的时候不但腹压升高,血压和颅内压也同时上升,极易使脆弱的小血管破裂而引发脑溢血,很多脑出血是在大便时发生的
5、避免寒冷,避免过长的水洗澡,寒天是脑中风好发季节,血管收缩,血压容易上升,要注意保暖,使身体适应气候变化。过长的时间喜热水澡也是脑出血的诱因。
脑溢血紧急救护

发现后,先拨打120,为送医院作准备。
1、保持镇静并立即将患者平卧。千万不要急着将病人送往医院,以免路途震荡,可将其头偏向一侧,以防痰液、呕吐物吸入气管,因为脑出血往往有恶心呕吐的情况。
2、迅速松解患者衣领和腰带,保持室内空气流通,天冷时注意保暖,天热时注意降温。
3、如果患者昏迷并发出强烈鼾声,表示其舌根已经下坠,可用手帕或纱布包住患者舌头,轻轻向外拉出。
4、患者如果哟大小便*禁失**时,应就地处理,不可随意移动患者身体,以防脑出血加重。
5、在患者病情稳定送往医院途中,车辆应尽量平稳行驶,以减少颠簸震动;同时将患者头部稍稍抬高,与地面保持20度角,并随时注意病情变化。
6、千万不要用扎手指尖的办法进行所谓的急救,因为疼痛的刺激可能患者有感觉,但是也会让血压升高,增加出血量。
但120来了后,请把救治交给医务人员。
#清风计划# #预习你的60岁##病重老人想死子女不让#