最近很多缺牙的街坊到院问医生“不是说牙齿会有根的吗?为什么我烂牙没有牙根了?”
牙根被腐蚀,引发因素很常见
牙根腐蚀在医学上被称为吸收,分为内吸收和外吸收。 通俗来讲,内吸收是由创伤和炎症引起的。通常情况下都是这几个问题造成的:


1、咬食硬物
在我们牙齿咬到坚硬的食物(如核桃壳、啤酒盖),会破坏牙齿的内壁,经常性咬食硬物,长期以往的积累可能造成牙根创伤,导致牙根被腐蚀。
2、牙周疾病
患有牙周疾病,牙槽骨吸收,牙龈萎缩,牙根暴露,此时微生物会聚集、侵蚀牙齿根部,直至牙根被腐蚀掉。
3、 牙齿龋坏
牙齿龋坏的时候没有及时进行修复,导致后续腐烂程度加深,影响牙根神经,造成整牙冠以及牙根全都烂没了。
4、 不良修复体
牙齿安装修复体后出现松动、食物嵌塞等情况出现,就容易导致牙齿请假不彻底,导致细菌滋生,引发牙龈牙龈,导致牙根受累被腐蚀。
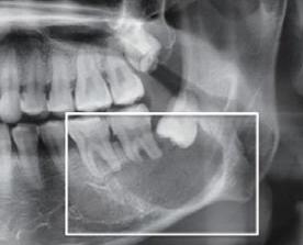
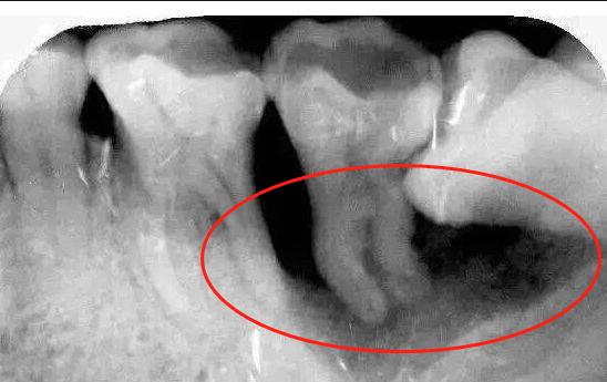
5、 阻生牙齿
当健康的牙齿遭到阻生牙齿的长期压迫,就会导致牙根部出现骨吸收,牙根也会跟着被腐蚀。一般这种情况多见于阻生智齿破坏健康邻牙牙根。
牙根腐蚀怎么办?遇到这些情况还有救!
初期腐蚀
一般情况下牙根被腐蚀,多是从牙冠以及牙颈部开始的,通常会在牙齿表面有垩白色的龋损,这时候就需要重视 口腔清洁 , 使用含氟牙膏 ,也可以到院进行 涂氟 等防龋治疗。

腐蚀中期
牙根被腐蚀的中期,容易受冷热酸甜等刺激。此时牙齿多半已经出现明显的龋坏,这时就需要到院将被腐蚀的牙体组织去除掉后进行 牙体组织修复 ;还有一种是因牙龈已经出现一定程度萎缩,经常出血,这时候就需要到院进行 超声波洁牙 ,再根据严重程度进行 牙周治疗 。
其实牙根被腐蚀,很大的原因都是没有做到定期的口腔检查、及时的齿病治疗。如果定期检查就能及早发现问题能够及早预防治疗;齿病拖延不治疗的后果往往都是引发牙根受害、牙齿脱落。 所以,我都 建议大家每年至少进行口腔检查一次!遇到牙齿疾病要积极治疗,切勿拖延!