每年的3月21日
是什么日子?
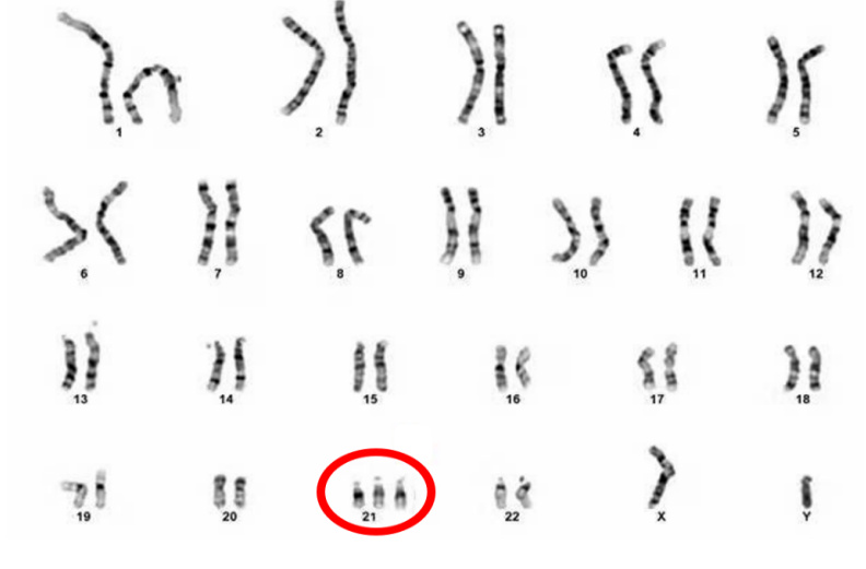
它被定为 “世界唐氏综合征日” 。由于唐氏综合征患者的染色体比正常人额外多了一条第21号染色体,又称为21-三体综合征。


什么是唐氏综合征?
1866年英国医生唐·约翰·朗顿(John Langdon Down)首次描述报道了一种智力障碍合并有特征性面容的疾病,并给它命名为“蒙古症”;1959年法国儿科医生/遗传学家 Jerome Lejeune 教授发现这种疾病的患者有一条额外的染色体。1965年WHO废除了含种族歧视的“蒙古症”在临床上的使用,正式定义为“唐氏综合征”。我国唐氏综合征的发生率为1/600-1/800,而且发生率随孕妇年龄的增加而升高。

唐·约翰·朗顿 医生(Dr. John Langdon Down)
唐氏儿有什么异常表现?
不同种族的患者拥有相似的特殊面容,包括眼角上斜,眼距宽,鼻梁低平,张口吐舌;通贯掌;草鞋足;常患有先天性心脏病;智力障碍;发育迟缓等。唐氏综合征患者生育能力较低,女性可怀正常宝宝和唐氏儿,男性则通常不育。

唐氏综合征可以治愈吗?
目前尚无有效治疗方法,主要通过特殊教育和长期训练帮助患者掌握一定的生活和学习技能,改善生活质量,但要投入大量的金钱和时间,对社会和家庭都会造成沉重的负担。因此,通过早期筛查和产前诊断对预防唐氏儿出生非常重要。
如何预防唐氏儿的出生?
1. 早孕期常见的超声异常:颈项透明层(NT)增厚、鼻骨缺失。

2. 血清学筛查(唐筛):检测早中孕期孕妇血清中的生化标记物, 唐氏儿检出率约60%-70%。
3. 无创DNA(>12周)检测:提取孕妇外周血中游离的胎儿DNA进行测序,对于唐氏儿检出率超过99%。
4. 中孕期常见的超声异常:头颅异常、心脏异常。
5.产前诊断:通过抽取胎盘绒毛或羊水或脐带血进行胎儿染色体核型分析和多种分子诊断,如快速诊断(QF-PCR)、基因芯片、低通量测序等,但有0.5%-1%的流产风险。
哪些孕妇需要做唐氏综合征产前筛查?
建议所有孕妇都进行唐氏综合征产前筛查。35岁以上的孕妇、生育过唐氏儿、夫妻有一方是21号染色体罗伯逊易位或其他核型异常、筛查阳性者等高风险人群建议进行产前诊断。
做产前筛查有补助吗?
根据2021年最新出台的补助政策,对于唐氏综合征、18-三体综合征和神经管缺陷的血清生化免疫产前筛查补助项目,可给予每人补助115元。同时将产前筛查补助对象从孕 15-20+6 周的广西农村户籍孕妇扩展至全部广西户籍孕妇,实现全区孕妇全覆盖。
参考文献
1. Down JL (1866) Observations on an ethnic classifcation of idiots. Lond Hosp Rep 3:259–262
2. Andrzej Grzybowski, John Langdon Haydon Down (1828–1896). Joanna Żołnierz. Journal of Neurology (2021) 268:4402–4403
3. Parizot E, Dard R, et al. Down syndrome and infertility: what support should w e provide? J Assist Reprod Genet. 2019 Jun;36(6):1063-1067
4.Lai Y, Zhu X, et al. Genes (Basel). 2021 Mar 25;12(4):478.
5.陆国辉,徐湘民.临床遗传咨询[M].北京:北京大学医学出版社,2007.181-188.
6.《2021年广西产前筛查补助项目实施方案》
策 划丨 健康教育科
文 字丨 孙惟佳
图片来源丨 郑茜 冯雪聪