脑出血(cerebral hemorrhage)
是指非外伤性脑实质内血管破裂引起的出血,占全部脑卒中的20%~30%,急性期病死率为30%~40%。

脑出血发生的原因主要与脑血管的病变有关,即与高血脂、糖尿病、高血压、血管的老化、吸烟等密切相关。脑出血的患者往往由于情绪激动、费劲用力时突然发病,早期死亡率很高,幸存者中多数留有不同程度的运动障碍、认知障碍、言语吞咽障碍等后遗症。 (百度百科)

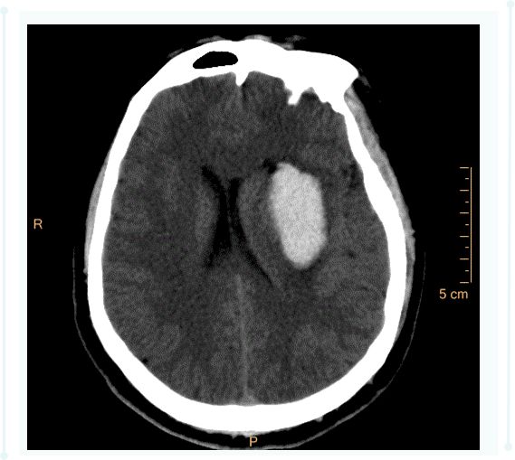
颅脑CT扫描 可清楚显示脑出血的部位、出血量大小、血肿形态、是否破入脑室以及血肿周围有无水肿及占位效应等。
急性期脑出血病灶多呈圆形或卵圆形均匀高密度区,边界清楚,脑室大量积血时多呈高密度铸型,脑室扩大。
脑出血 的CT表现典型,明确诊断非常简单。但是对于临床医生来说,脑出血患者进行CT扫描还有更多的需求:计算脑出血的出血量、明确脑出血部位等。

和各位技术同仁交流CT、MR基础知识和常用技术的平台!!!
148篇原创内容
公众号

01
脑出血量 (ml)=
(最大层面的长×宽×层厚×层数)÷2
长、宽、层厚的单位:厘米

02
脑出血量 (ml)=
(最大层面的面积×层厚×层数)÷2
面积的单位:平方厘米
层厚的单位:厘米

03
多田氏公式:多应用于囊肿体积、出血体积、肿瘤体积估算
脑出血量(ml)=
(最大层面的长×宽×高×π)÷6
长、宽、高的单位:厘米


上述三种方法,计算起来比较麻烦,得到的结果也有很多偏差。而且,相对于形态规则的脑出血上述方法容易计算,但对于形态不规则的脑出血,计算起来就更加繁琐。
下面介绍通过飞利浦星云工作站(ISP) 后处理方法进行脑出血量测量方法,快捷、精确。



如果提取的脑出血组织范围不完全,说明预设的 Center(窗位)和 Width(窗宽)数值有偏差, 请按下面方法调整,确保覆盖脑出血全范围,已得到准确体积数值。


脑出血VR重建图像
脑出血染色


脑出血与颅骨半透明融合



患者,男,60岁,脑部术后复查


患者脑部术后,颅内脑出血形态不规则,且分布广泛,对于脑出血量的计算,原始的手动计算方法无法正确评估,飞利浦星云工作站操作方便,1分钟内精准测量复杂脑出血体积,并且对脑出血的形态、位置等作出立体显示,为临床治疗提供全方位影像信息。
来源:CT之窗
【版权声明】本平台属公益学习平台,转载系出于传递更多学习信息之目的,且已标明作者和出处,如不希望被传播的老师可与我们联系删除