前言:西安大哥刚做完消融,出院后写下了自己这一路的心路历程,从焦虑不安到从容淡定,看完令我我很感动,同时分享给正在焦虑的患者。。。



以下内容均来自一位西安患者
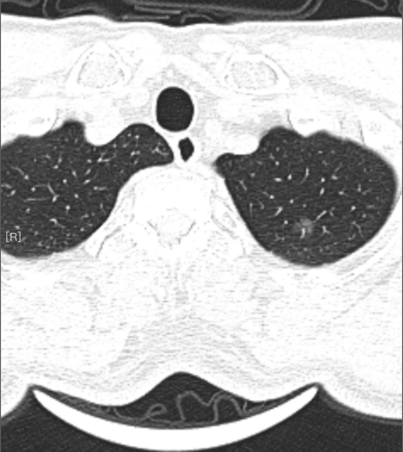
坐在上海返回西安的高铁上,我的思绪犹如这飞驰的火车一样,也回到了2020年的七月。一次意外的胸部CT检查,查出了我的双肺里长了三个肺磨玻璃结节,谁都知道肺磨玻璃结节意味着什么……,当时的报告单上写着三个结节中最大的结节直径约5mm左右,我于是百度了一下,小于5mm大多都是良性,所以在焦虑了几周后也就不太焦虑了!接下来的日子就是当在抖音里刷到肺结节内容时,听到肺结节是早期肺癌时心里会焦虑一次,然后又告戒自己你是5mm的,是良性的!就这样在轻度焦虑中过了两年半,只是在每次复查CT时前几天都吃不好睡不着!现在想想这肺结节还真是折磨人呀!
对我来说真正的恶梦才开始,时间来到了2023年2月23日,在经历了几天的极度焦虑后,(为什说是极度焦虑呢?因为是我看到了肺结节在外科切除手术治疗时,要插管,全麻,切除肺叶或肺段等肺组织,所以震惊到了我,所以才会极度焦虑,害怕这次检查有什么变化!),我来到医院进行肺结节复查,真是怕什么来什么!这次报告第一条就是左肺尖发现一枚直径约9mm的磨玻璃结节……怎么会?我的第一反应是这不可能!得到的答复是之前也许密度浅,没发现……好牵强的解释呀!之后,我拷贝了CT影像,复制了U盘,就去了西安几家排名前几的医院,有的说做手术切掉,有的说随访!我又开始焦虑了,这次是很焦虑,因为一想到做外科手术切掉肺结节,我就极度焦虑,而且是恐惧到极点!
那段时间,我焦虑的像是变了个人似的,上班也不按时去了,到了单位就把工作安排给别人,整天把自己关在办公室里,百度和抖音的乱查!越查越担心,越查越害怕!觉得世界末日来了!那段时间现在回想起来就是噩梦一般,人不人鬼不鬼的!就像我老婆说的是,我整日萎靡不振,神神叨叨,整日不说话,早不起晚不睡,就是抱个手机带个耳机……那段时间我真的非常难受,每天一起床,第一个念头就是早期肺癌,买了抗焦虑药物黛力新也起不了大作用!我真的觉得我快崩溃了!
直到有一天在百度上看到一段视频,是上海交通大学附属仁济医院东院的胸外科主任赵晓菁主任和肿瘤介入科的池嘉昌主任的采访视频,意思就是说前几年,在上海的肺结节患者中大家讨论最多的就是找谁去开刀治疗,这几年大家讨论最多的是我有了肺结节找谁不用开刀就能治愈!这就说到了微波消融治疗肺结节!当我看到池主任那无比坚定的眼神和对治疗肺结节的那份无比自信的话语时,我才知道有一种肺结节的根治术叫“微波消融治疗”,它是一种不用外科手术开刀切掉肺叶,只需要一根微波针就能把你的肺结节消融掉,就能解决所有问题!我震惊了,竟然会有这种医学科学技术手段来处理肺结节!
开始我也怀疑,于是我就开始科普微波消融是个什么学科,治疗肺结节技术到底怎么样?之间也看到池嘉昌主任在好大夫平台上的科普号,也看到过池主任在好大夫平台上的义诊视频过程,经过了一段时间的科普了解后,我的第一反应就是,我的肺结节不用开刀了,微波消融就是我最好的选择!于是,我的心情慢慢平复下来了!
我也从各种渠道了解到,仁济医院是全国最早做消融治疗肺结节的医院,有十几年的治疗经验,而池嘉昌主任则是仁济医院肿瘤介入科的中流砥柱,业界非常有名!于是我认定了池嘉昌主任,必须去上海找他给我做消融治疗,为了我的身体安全,我必须这么做!
我通过好大夫平台联系上了池嘉昌主任,并把自己的CT影像发给池主任,通过电话问诊后,令我最兴奋的就是我的结节可以消融,我简直激动的不知所以,于是,我决定六月份去上海做消融治疗!
在这之间还发生了一段小插曲,由于我的焦虑情绪,一直担心害怕自己的肺结节在这几个月里发展不好,于是就提前在好大夫上预约了5月11日去上海做消融治疗,但是老天和我开了个玩笑,在出发前三天的晚上,我被我家七七给抓伤了,于是打狂犬疫苗就成了必须要办的事了!所以我强忍着失落的心情把上海之行推后了!这令我郁闷了好些天!
终于熬到要去上海的日子了,但是老天又和我开了个天大的玩笑!我是6月11日的高铁,就在前一天6月10日中午,我突然发烧了37.3,然后就是37.5,37.8,37.5……一直低烧,“哼,这次就是40度也不会阻挡我去上海的步伐”,我心里念叨!于是,6月11日下午三点多,我们到达了上海,虽然一路上一直低烧,但我还是很兴奋,因为我就要达到我的心愿了———消融掉困扰了我三个多月的肺结节了。
6月12日早上,我和老婆早早就来到了仁济医院,找到了肿瘤介入科,见到了心心念念的,以前只是在视频中才能见到的池嘉昌主任。池主任问了我的情况,建议我先去发热门诊就诊,体温正常后再做消融治疗,全程池主任非常细心和耐心的给我们讲解为什么要先降温,再治疗!丝毫没有一个业内大咖的架子,那天也见到了漂亮恬静的助理谢医生本人,一直在微笑着服务来看病的患者!总之,一切给我的感受就是超好,超级心安,完全没有了来之前的紧张,恐惧,焦虑的心情了!
接下来就是我顺利入院,由于我的肺部有感染,就晚了一天做消融治疗。在消融治疗的那天,我不安的徘徊在CT室外,万分紧张!但是说来也怪,当CT室门打开的那一瞬间,我看到了沉着冷静的池主任,微笑看着我的谢医生,我突然间就没有了所有的焦虑紧张情绪!是啊,我的肺结节消融交给他们,还有什么不放心的吗!我现在要做的就是配合消融手术,一是不能咳嗽,二是坚决不能动!所以我平静的走进了CT室!
消融手术治疗全程无任何疼痛感。我是左肺尖后段的结节,所以我是采取的是趴在台子上,开始我还紧张,随着池主任出出进进的扫描、定位等操作,不停的和我说话,一会儿说坚持住别动,一会儿又说很好……我的心也就慢慢静下来了,想想别的事,想想以后的事,心情和呼吸也就平静了!所以说池主任是个特别严谨负责的人,他一直在对我说“感觉怎么样?”“难受不?”“有什么不舒服感觉?”“不舒服了就说出来!”等等!我只是趴着,一动也不动,也一直不敢说话,所以也就没有回应他,我当时的想法是:开玩笑,我是趴着,一说话就得头动,头一动,脖子就得动,脖子一动身体就得动,我可坚决不能动!于是我就打手势,池主任看到我一直不回答,最后就大声问,“难受不,你倒是说话呀!”我呢,还是回应他,我心里说“我的池神呀,手术没结束之前,我是不会动的,我得全力配合您做好手术呀!”。就一直打手势,最后还是助理医生看到我的手势后才告诉池主任,他在打手势……!!!
手术顺利结束,一切非常成功!当我听到池主任出来对我说:“老哥,你的病灶我已经帮你彻底打干净了,你这个肺结节根治了!”那一刻,我感觉我那颗悬浮了很久的心这才完完全全落了地!我抬起头,依旧看到的是池主任的笑容,谢医生的微笑,以及所有治疗团队人的笑脸,那一刻,我的眼睛湿润了!谢谢!谢谢!千言万语的谢意不知从何说起……
有肺结节有什么了不起,我是多发的磨玻璃结节患者,我目前还有几个磨玻璃结节需要随访,也不知道它们哪天会不会长大,但是我已经不再焦虑,不再害怕了,因为有池嘉昌主任神一般的存在,就几个肺结节我还怕个啥……
当我老婆用轮椅推着我走出外科大楼的时候,外面已经夜幕降临了,上海的傍晚总是在不到七点就快天黑了,看着雨后的天空一抹红,我的心里是无比的踏实,感受太好了!是的,今后我一定也是必须要踏踏实实的生活,抛掉一切的焦虑、多疑、胡思乱想等烦恼思绪,走健康之路!