近日,哈医大一院胰胆外科孙备教授团队协同消化内科、介入科、输血科、麻醉科等多学科合作,成功救治一名巨大复杂性胰体尾肿瘤合并消化道大出血的RH阴性血年轻女患,并最终实施胰体尾脾+部分胃切除手术,力保患者的生命和健康。
“熊猫血”突发大出血 抢救后又发现巨大占位
33岁的李女士因“突发大呕血”急诊入住哈医大一院消化内科,此时李女士的血红蛋白仅有28g/L(正常113-151g/L),属于极重度贫血,同时腹部CT检查发现胰腺体尾部存在一枚的巨大囊实性占位。经过哈医大一院医护人员紧急的抗休克、输血等抢救后趋于稳定,患者家属慕名求助于哈医大一院普外科主任孙备教授。

胰腺增强CT检查示:胰体尾部巨大占位
孙备教授进一步检查后发现患者胰体尾部占位巨大,患者4年前曾因“胰腺囊肿”于外院行胰腺囊肿-胃吻合术,考虑胰腺病变为胰腺囊性肿瘤应积极手术治疗。但因巨大肿瘤的长时间压迫,已形成胰源性门脉高压,胰脾周围存在多支手指粗细的曲张静脉,术中出血风险高。患者又是罕见的RH阴性血(熊猫血),进一步增大了手术风险。
多学科接力 确保肿瘤手术安全
为了确保患者的生命安全和健康,胰胆外科副主任孔瑞教授组织消化内科、介入科、输血科、麻醉科等多学科MDT讨论治疗方案,提出首先解决血液储备,其次明确出血位置,避免术中意外失血的术前准备方案。

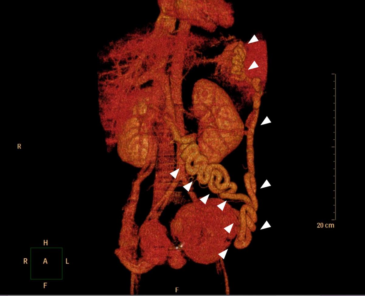
门静脉CTV:粗大迂曲的侧支循环(白色尖头)
消化内科尚国印教授为患者实施胃镜检查发现胃—胰腺囊肿吻合口处可见溃疡,而胃底并无明显的静脉曲张,进一步明确了出血位置,并由介入科刘增尧教授为患者实施DSA脾动脉栓塞术,降低术中意外出血的风险。输血科曹荣祎主任与中心血站积极沟通,得到了全市的血液支持,为手术解除了后顾之忧。
彻底根除肿瘤 患者顺利康复出院
在充分的术前准备下,孙备教授,孔瑞教授,胡继盛主治医师,在麻醉科王艳教授和手术室的全力协助下,为患者实施根治性胰体尾脾及部分胃的联合切除术。由于肿瘤巨大侵犯门静脉,彻底切除肿瘤后,对门静脉进行修补重建。术后肿瘤病理显示:粘液性囊腺瘤伴局灶导管腺癌。患者顺利康复出院。
孔瑞教授介绍,胰腺粘液性囊腺瘤是较为常见的胰腺囊性肿瘤,好发于胰腺体尾部,大多数虽生长缓慢,但也存在较高的恶变倾向,易被误认为“囊肿”。因此发现胰腺囊性病变应尽早于胰腺专科就诊,明确病变性质,制定合理的治疗措施。
孙备教授指出,患者青年女性,罕见血型的极重度贫血,术前出血部位不清,肿瘤巨大,二次手术等情况,面对如此复杂的胰腺肿瘤,MDT模式下的综合评估,共同制定出科学、合理、规范的治疗方案,能够最大限度的缩短诊断和治疗时间,减少患者的治疗周期及经济负担。(时嘉晨 胡继盛)