文/羊城晚报全媒体记者 符畅
通讯员 潘玉菲
近日,广州中医药大学第一附属医院白云医院重症医学科成功救治了一例年轻的重症胰腺炎患者,并收获该患者及家属送来的锦旗,这背后还有一段故事。
每天饮酒四五两,年轻小伙患上重症胰腺炎
患者小谢今年33岁,五官端正,却有着一个鼓鼓的啤酒肚。原来,小谢父亲有嗜酒的毛病,十几年前因饮酒过量而去世。然而,这一令人痛心的教训没有让小谢以此为戒,相反,他还遗传了父亲的坏习惯,仗着自己酒量大,几乎每天都喝四五两以上的酒,而且每次总会配点酥炸可口、重口味的下酒菜,久而久之,长期缺乏运动的他越来越胖。殊不知,危险正一步步逼近。
日前,他和朋友喝酒吃饭后,出现了腹痛,在家休息后未见好转,肚子越来越疼,冷汗直冒,伴有恶心呕吐。
“当时以为是自己吃错东西,没想到要进ICU。”硬撑了两天后,小谢由朋友送至医院急诊科。
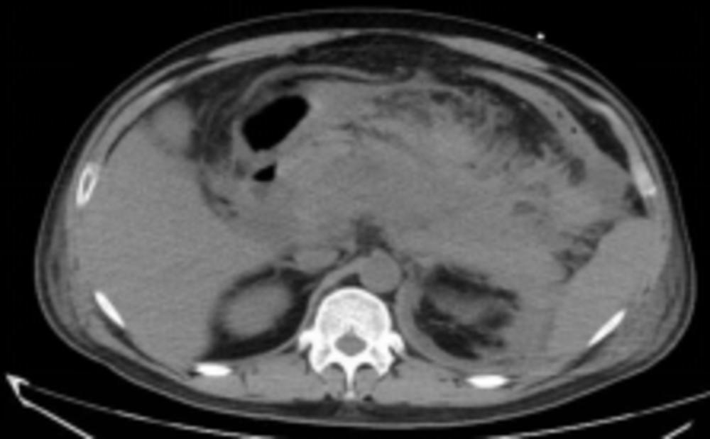
就诊时,小谢的腹部鼓得像球一样,经过血液、影像等检查,医生发现小谢的胰腺高度水肿、渗液,部分已坏死,结合验血结果,各种指标严重超标,其中甘油三酯和血淀粉酶非常高,诊断为重症胰腺炎。

患者腹部CT提示胰腺高度水肿、渗出,部分坏死
那个藏在身子里的定时*弹炸**被引爆了,救治必须争分夺秒。医院一边开通绿色通道,一边把病人转入重症医学科治疗。
“患者患有非常严重的胰腺炎,很明显就是饮酒吃肉导致的,送院时已是发病第三天,当时膀胱测压高达38cmH2O,提示腹腔内压力非常高,如果不及时补液,出现严重休克,真的有可能救不回来了。”彭晓红说。
由于小谢是家中独子,患者母亲对中医院的重症救治能力有所保留,第一反应要求转院治疗,但迫于转院面临巨大的经济压力,小谢母亲选择留下来治疗。
定制中西医结合治疗方案,帮患者闯过多道难关
彭晓红立即召集ICU专家团队,针对小谢的病情开展讨论,制定精细化个体化的中西医结合治疗方案。
据悉,胰腺炎是一种进展性加重的疾病,尤其是发病一周内,体内的炎症反应达到最高峰,会出现各种并发症。
救治过程中,小谢先后经历了休克关、肾衰竭关、急性呼吸窘迫综合征(ARDS)关、肺部及腹腔感染等难关。“在最严重时,患者因怀有对死亡的恐惧心理,在出现无尿、呼吸困难、烦躁不安的情况下,一度不配合治疗。”彭晓红说,这更加剧了救治的难度。
在重症医学科医护的不懈努力下,小谢经过液体复苏、连续肾替代治疗(CRRT)、无创呼吸机辅助通气、中西医药物治疗、中医特色外治法等治疗,所有器官功能都逐渐恢复良好,不到一个月就达到出院指征。
出院结账时,总费用9.7万元,医保报销后仅需自费5.6万元。“实在太感谢你们了,不但救了我小孩的命,还帮我们省下转院所需的几十万元治疗费,真的太感谢你们了。”小谢母亲说。

患者家属送上锦旗感谢医护
彭晓红表示,中医认为,六腑“以通为用、以降为顺”,通腑法在重症救治上常常起到非常积极的意义。本例患者,针对其致命的腹腔高压,ICU团队使用大柴胡汤加减鼻饲、大承气汤灌肠,充分发挥中医中药在抑制炎症反应、促进胃肠功能恢复、促进坏死物质排泄等方面的功效。此外,科室长期开展的针灸治疗、穴位注射、腹部推拿、八段锦等中医治疗在帮助患者加快机体康复、提升抵抗力方面都发挥着重要作用。
据统计,广州中医药大学第一附属医院白云医院重症医学科运用中西医结合救治重症胰腺炎患者成功率达95%以上。
急性胰腺炎是多种病因导致胰酶在胰腺内被激活后引起胰腺组织自身消化、水肿、出血甚至坏死的炎症反应。重者的胰腺出血坏死,常继发感染、腹膜炎和休克等,病死率高,称为重症急性胰腺炎。常见病因有胆系疾病、大量饮酒、暴饮暴食等。
日常生活中,需要注意以下几点:
1.饮食规律,避免食用过多油腻及刺激性的食物,并注意控制体重及调节血脂。
2.少量多餐,戒油腻,戒烟酒,进食低脂、易消化、富含维生素的饮食,特别在晚上更要注意。
3.定期体检,有胆道结石患者需要及时治疗。
4.注意休息,避免情绪激动,保持良好的精神状态。
(更多新闻资讯,请关注羊城派 pai.ycwb.com)
来源 | 羊城晚报•羊城派
图片 | 通讯员提供
责编 | 王敏
校对 | 赵丹丹