老杨今年55岁,是一名园林工人,所以需要比较早起床。就在七天前清晨,他去卫生间时突然出现胸闷。在家人陪同下,在当地的卫生院做了12导联心电图,没有发现明显的异常,给了一些简单的药物服用。
本以为没什么大问题,但是七天来老杨的症状没有减轻,一直持续的胸闷,尤其是活动的时候更加明显,导致他也没办法工作。

于是他来我院就诊,首先做了18导联心电图,我就发现他心脏的后壁有Q波出现,提示心梗的可能;抽血化验做了心肌梗死的标志物,部分是阳性的;然后就为患者做了冠状动脉造影,结果发现患者的三根冠状动脉已经闭掉了两根!
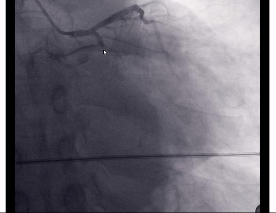
如图,可以看到这是左侧的冠脉造影。
畅通的是前降支,闭塞的是回旋支,已经完全闭掉了;

如图,是右侧的冠脉造影。
病人的右冠也是闭塞的,并且一开始就闭掉了。

老杨平时有没有我常说的危险因素呢?
第一个他没有高血压、没有糖尿病、没有高脂血症,也并不肥胖,也没有明确的早发的心血管家族史。但是他最重要的危险因素,就是抽烟!老杨抽烟大三十多年,每天一到两包,说明什么?说明抽烟对该患者的血管造成了严重的伤害。
因此对于抽烟者,我们一定要认识到抽烟对血管损害的现实。对于已经患有冠心病的就必须立即戒烟!
根据老杨的发病情况,我们推测这一次他紧急出现问题的是回旋支,因为回旋支闭塞所造成的急性心肌梗死。而对于他的这根血管的闭塞,可能已经有了很长的时间,医学上叫做慢性闭塞性病变,简称CTO病变。
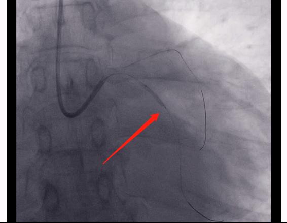
根据这些情况,我们决定首先打通紧急闭塞的回旋支。我们手术的时候,把导丝通过了闭塞的病变,经过一系列的扩张,放置了两枚支架,这个闭塞的回旋支就被打通了。

导丝
这时候患者的右侧血管还没有打通,但是老杨血压偏低,一般来说心功能较差,如果打通右侧的血管,需要更多的时间和造影剂。为了避免患者不能耐受情况的发生,仅仅处理了回旋支闭塞,结束了手术。等老杨恢复一定时间之后,再考虑处理右侧的病变。
通过老杨的病例,带给我们的启示是什么?
1.病人首次的心电图是做的12导联,那该病人的心梗发生在后壁,就丢失了这些信息。所以对于胸疼胸闷的患者,我建议首次心电图,就应该做18导联的心电图。
2.对于抽烟者,我们一定要认识到,抽烟对血管的危害是非常巨大的。也建议抽烟者,不管有没有冠心病都要尽快的戒烟。

3.打通了血管,放置了支架,不是治疗的结束,而更是规范化治疗的开始!
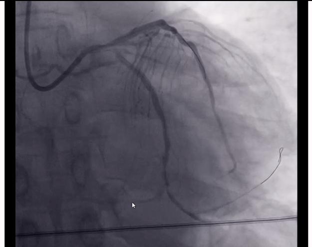
4.对于冠心病患者,我们只有进行规范化的、综合性的康复的治疗,才会有一个良好的结果。(图片是患者打通闭塞血管,放置了两根支架的一个情况。同时我们还可以看到右边这根血管闭塞出现的一个侧枝循环,也就是左侧的这些血管,和右侧血管远端联通的一个影像,这就是自身进行的侧支循环的建立。)

我是心血管内科医生,张辉;还有什么不明白的问题,以及相关疑问,可以加个关注,留言联系我。我会每日为大家科普心血管养护知识,能帮助到广大心血管患者,是我科普的动力。