半年前,甘肃的患者王先生发现自己右侧胳膊和腿变得有些不一样,跟左侧比起来肌肉力量弱还肉眼可见的要细,活动起来也不灵活,使不上劲。几经辗转求医来到了我院神经内科就诊,进一步查头颅MRI示胼胝体体部及压部缺如,幕上脑室扩大,阻塞性脑积水或脑发育不全、右侧颞叶软化灶或发育不全。小腿神经电生理检查未见异常,小腿肌肉活检提示符合进行性肌营养不良。经腰椎穿刺后症状有所改善。

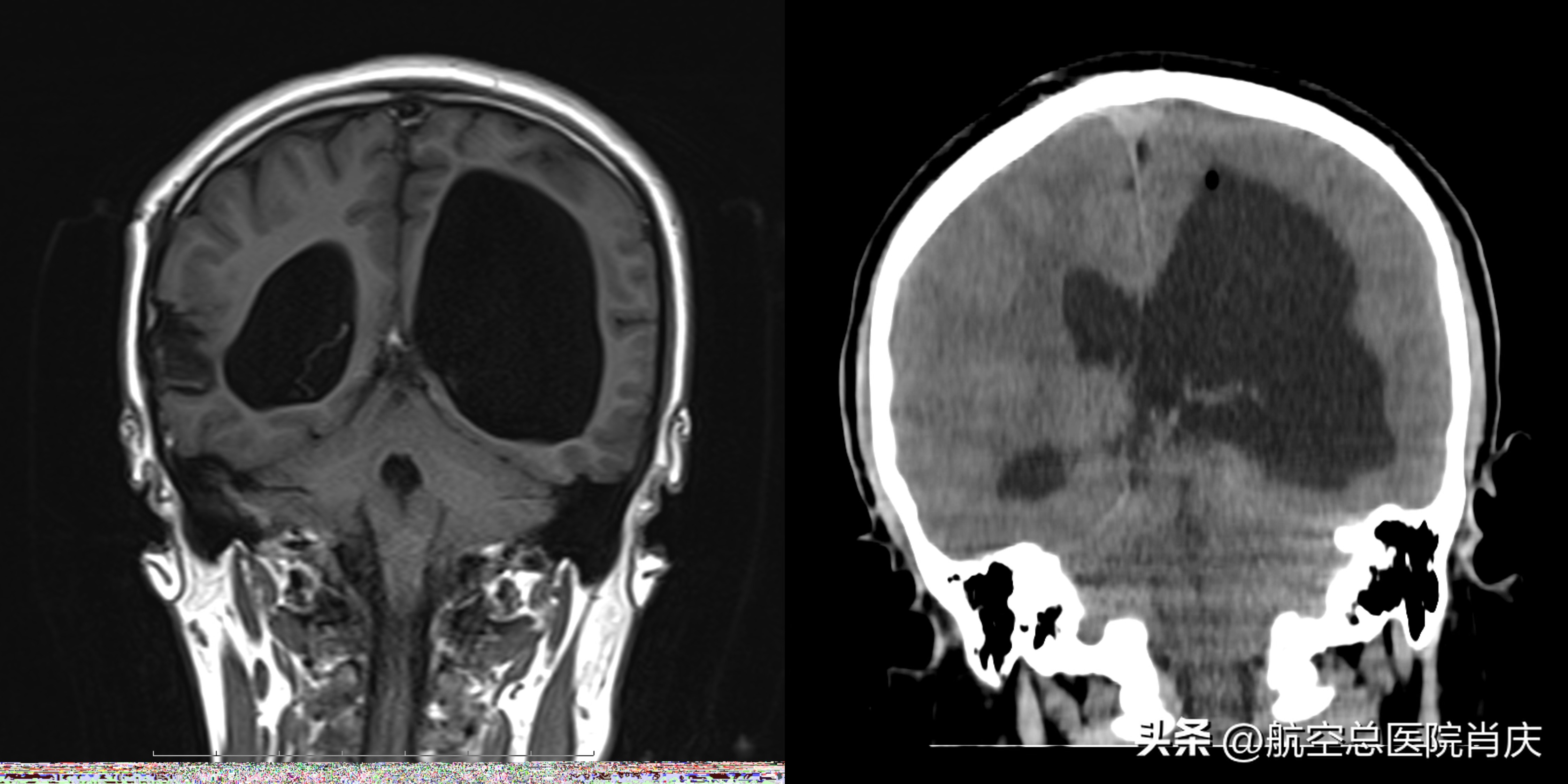
术前术后对比冠状位
神经内科住院部请肖庆主任会诊,给出诊疗方案。根据患者影像学检查左侧脑室扩张,室间孔闭塞可能,导水管可疑梗阻,但不除外脑脊液吸收张障碍。患者目前脑积水解剖定位病变于扩张脑室,根据患者病情,脑积水需手术治疗。方案1、手术可选择脑室腹腔分流术治疗,脑室腹腔分流术可存在术后感染、梗阻。方案2、脑室镜下脑室探查术可明确脑室内情况,酌情行导水管扩张、透明隔造瘘、三脑室底造瘘术,支架植入中脑导水管造瘘术治疗,重建脑脊液内循环,借助基底动脉搏动进一步改变脑脊液循环动力。向家属说明治疗方案后,患者及家属不想身体里一直有一根管子存在,时时提防着各种并发症,希望肖庆主任对患者进行内镜检查治疗。

术前术后对比矢状位
确定了治疗方案,经过综合风险评估及科学严谨的术前准备,肖庆主任及团队为患者在全麻下行神经内镜检查术+神经内镜下第三脑室底造瘘术后+神经内镜脑室造瘘术。手术顺利成功,患者术后恢复良好,症状缓解,头颅CT检查明确术后脑室变小,历经16天的治疗,已经可以出院休养。

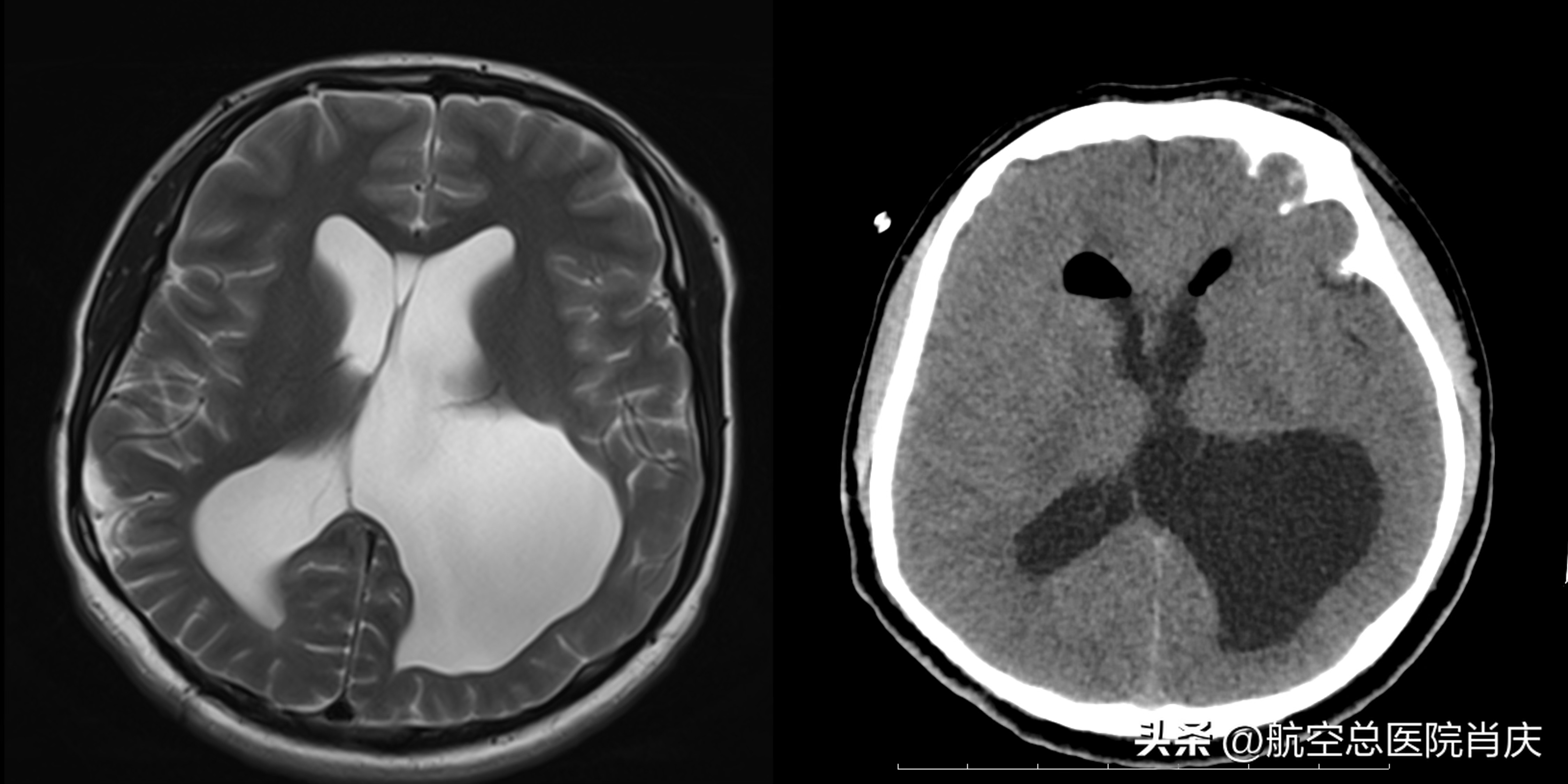
术前术后对比轴位
虽然术前已经被详细告知手术流程,但仍和之前的设想大相径庭,没有恐怖的伤口和出血,只需开一个1cm骨孔来完成手术,术后恢复起来也相当快。王先生自己都没想到,影响自己成长、学业以及工作的多年问题,居然用这么微创的“小手术”就解决了,患者和家属如释重负,脸上也终于露出了笑容。
延伸阅读:
“软性神经内镜技术”是一种新型的疏通脑脊液循环通路梗阻的技术,其直径仅有3.8mm(毫米),相当于筷子粗细。由于其柔软、纤细、灵活的特性,通过头部一个3cm左右的小切口即可对脑脊液循环通路进行更广范围的疏通,在脑积水的诊断和治疗中有其独特优势,创伤更小,恢复更快,效果更佳,且费用低廉,又避免了分流术后的各种并发症。