
这题的正确答案,你一定意想不到……


本文约5110字,阅读时间约11分钟

转眼杭州已经入冬,街头开始悬挂起了圣诞的装饰,离过年也越来越近了。
下午一点的患者是在我们诊所附近上班的黄先生,这已经是他三个月来第三次来我的门诊了。
每次他来的原因都是一样的:他的智齿又又又发炎了。
“你还没想好要不要拔智齿呢?”
我一边常规检查他的牙齿情况,一边准备好冲洗智齿的工具。
黄先生的半张脸都显得有点儿圆鼓鼓的样子,好像一只快要生气了的小河豚。
他摇摇头,又点点头,还是和以前一样,下不了决心。

今天的病人是气鼓鼓的“河豚先生”。图源:搜狐美食
黄先生觉得牙齿发炎,肯定是因为上火。所以这段时间,他一直小心翼翼,吃得很是清淡。但他的智齿似乎并不打算给他面子,牙龈一肿起来,又胀又疼,别说清不清淡了,吃什么都没有胃口。我帮他冲洗了一下,顿时淌出一些零零碎碎的食物残渣。
黄先生吐掉一口血水,非常不甘地辩解道:“我一直都有刷牙的,你上次的刷牙视频我也看了,我有按照你的说法,刷得很认真啊!可是怎么……怎么还有这么多脏东西……”
我轻轻地给他上好了消炎药,笑着回答他的问题:“这颗智齿长出来没多高,一半还被牙龈包裹着,食物残渣到了这里,就容易嵌在牙龈和牙齿之间的缝隙里。你刷牙的时候,牙刷伸不到这么偏远又细小的位置,长期清理不到位就容易发炎了。”
“哎。”
黄先生叹了口气,捂着半边脸。
“所以……一定要拔掉吗?”
今天的门诊人不多,我决定趁这个机会,跟他好好聊聊智齿的问题。

智齿也叫第三磨牙,通俗点说就是第三颗大牙,它的位置与第二磨牙相邻,在口腔的最深处。

口腔牙齿位置示意图。图源:参考资料[3]
因为它的萌出时间一般都在16-18岁,这个年龄段人的生理心理均已成熟,所以称作智齿(智慧到来的象征),在有些地方智齿也叫经根牙(音同)。
从字面介绍来看,智齿的存在好像挺合理,它名字甚至隐藏着“聪明”的味道。但为什么这颗最后萌出的牙齿会成为很多人的痛呢?
这其实和人类的进化规律有很大的关系。随着人类食物的精细化,人类的颌骨逐渐退化,主要表现为颌骨变短,导致位于最末端的第三智齿生长空间缩小。
有些人已经出现第三磨牙缺失,也就是不长智齿,这是进化的表现。但这样的进化,也导致了大部分人长出的智齿因生长空间不足,容易出现阻生。

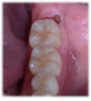
一颗刚露头的智齿。图源:吕佩红拍摄
而智齿和第二磨牙的位置关系,决定了阻生智齿的不同类型。大家可以看一下下图,想象一下智齿阻生的痛……

阻生智齿示意图 图源:参考资料[2]
所有的智齿都需要拔除吗?
其实不然,但以下这些情况,请拥有智齿的你对号入座,假如中了其中一条,建议你还是早点拔了它才安心~
(1)反复出现冠周炎。
这是最为常见的一种情况。我的患者黄先生就是如此。由于智齿不好清理,食物残渣滞留,导致他的智齿周围的牙周组织得了慢性炎症。
当一个人身体免疫力降低的时候,比如熬夜休息不好,过度疲劳等,就可能出现急性炎症,主要表现为智齿周边红肿热痛,甚至溢出脓液。而总是发生冠周炎,就必须把拔智齿的事情提上日程了。
(2)下颌智齿本身有龋坏,严重时甚至出现牙髓炎或根尖周炎。
如果你的智齿已经长蛀牙了,拔牙是明智的选择。我经常会碰到这样的患者,一开始智齿上只是有点小的龋坏,他就没有管,后来坏得越来越厉害,疼得不行了才来看牙医。其实如果早点拔掉智齿,就没有必要再经历这些痛苦了。
(3)智齿易塞牙,可能或已经引起第二磨牙龋坏的情况。
有不少患者在就诊的时候告诉我,智齿前面的间隙特别容易塞牙,每次吃完都会塞牙,用牙线(点开下文视频观看牙线使用方法)都能清理出一大团的东西。这往往也会导致上面提到的龋齿问题。很多人忽视这个问题,最终发现蛀牙的时候已经来不及了。
视频加载中...
(4)智齿无对颌牙,已经长得过长。
牙齿一般都是成双成对的,智齿也是一样。如果拔掉一颗智齿,和它对咬的另一颗智齿可能长长,影响牙齿的正常使用,所以智齿多建议成双成对地处理。
(5)正畸治疗需要或者是第二磨牙修复需要。
如果你正在做牙齿的正畸治疗,或是正在修复第二磨牙,那么你的治疗方案里要求拔除智齿的,就听从牙医的安排。
正畸医生可能告诉你,你的牙齿很拥挤,需要空间,拔掉智齿就可以给前面的牙齿提供往后推的空间,这样牙齿才能排齐;而修复医生可能告诉你,你要先拔掉智齿,否则前面那颗牙不好镶。这些情况下,听医生的就对了。
(6)智齿的萌出可能对已经完成的错合畸形有影响。
如果你的正畸治疗,是在智齿未完全萌出之前完成的,这时候的治疗效果,还不能被认为是绝对稳定的。在智齿萌出时,有可能使前牙再发生拥挤错位,这种情况,也建议尽早拔除智齿。
(7)其他情况。
比如已经引起牙源性的囊肿或肿瘤,比如可能是颞下颌关节紊乱综合征的诱因,又比如是其他可疑病灶牙的情况……因为这些情况一般人不太容易碰上,这里就不展开科普了。

看到这里,有人可能要问,我的智齿已经长出来了,牙齿好好的,也没有发炎,牙医为什么还是要我拔牙?
你的智齿是不是真的“好好的”呢?
如果它已经把前面的牙齿顶坏了,或是老塞牙,那就不能算是“好好的”,都是需要拔除智齿的情况。
有些研究僧同学可能接着问,什么是金标准(当前临床医学界公认的诊断疾病最可靠的方法)?找到专业的牙医,然后如果他告诉你要拔,这个就是金标准。
当然还是有一部分智齿是可以幸免于难的。
如果你的智齿满足以下条件,还是有机会保留下来的,也请对号入座:
(1)智齿的正位萌出且达到与邻牙同高,且无远中牙龈覆盖或可以处理好远中牙龈,并能与对颌牙可建立正常咬合关系的情况。
通俗点说,就是没有引发冠周炎、蛀牙的各种隐患,而且这颗幸运牙的主人还得很好地爱护它。
(2)第一磨牙或第二磨牙(除智齿外两颗大牙)龋坏明显,可能需要用到智齿做基牙或者是通过正畸进行牵拉的情况。
简单说,就是需要拿智齿作为备用牙使用的情况。
除了以上情况,智齿大概率还是要拔除的,没有长智齿的人就偷着乐吧!

既然大部分情况下,智齿都是“身外之物”,那什么时候拔智齿比较好呢?
有几个比较适合拔智齿的时间点,需要简单说明一下。
(1)16-18岁时,可以选择预防性拔除智齿,这会儿智齿牙根还没有成形,周围的骨质疏松,拔除难度低些,创伤小,并发症少,而且患者处于耐受力和组织修复力最强的青少年时期,易正常愈合。尤其对已经做完矫正的孩子来说,有时候智齿萌出的力量会影响正畸的最终效果,早点拔除更有利。
(2)对于女性来说,怀孕前也是一个处理牙齿问题的良好时机。由于孕妇体内激素的影响,智齿更容易发炎,而且因为用药和治疗的限制,建议在备孕的阶段,如果有存在以上问题的智齿,务必及时清理。
(3)对于其他情况,请对号入座需要拔智齿的7条症状,尽早拔除。
也有人问我,如果智齿已经很疼了,能不能立刻把它拔掉呢?
吕医生的回答是,这个得看具体的情况。如果是智齿内部的牙神经发炎,则需要拔除智齿来解决疼痛;如果是周围的牙周组织(牙床)发炎,一般则建议消炎后再进行拔除。

什么时候拔牙,还得听医生的。图源:PEXELS
说到这里,黄先生已经陷入了沉思。
我一直很好奇他纠结不想拔牙的原因,于是便追问了一句。
结果,这个身高一米八的男生,非常窘迫地告诉我:
“嗯……因为我女朋友拔完牙肿了三天,还打了点滴,我看她太惨了,我也害怕啊……”
哎?
真是出乎我的意料。
不过……也在意料之中。
我的朋友(也是小站的编辑包包)第一次来找我拔牙的时候,非常恐惧我会忽然掏出一把榔头和一个钳子,对她实施惨无人道的酷刑(咳咳),直到拔完牙,她才一脸茫然地问我:
“就这样?”
所以,拔智齿到底可不可怕呢?

拔智齿的过程是不是轻松简单,跟拔牙的难度有关。
所以,一般情况下,拔智齿前都要拍摄X光片。
这样牙医可以清楚地了解到牙齿在颌骨的位置、牙齿的方向、与邻牙的关系、牙槽骨覆盖程度、与下颌牙槽神经的的关系、牙根的形态和周围骨质的密度等等信息。
不同的医生和医疗机构解决智齿问题的能力是不同的,提前知道拔牙难度,根据具体情况进行安排,可以最大程度减少拔牙的风险。
有人会担心,拔牙还要拍片子,会不会对人体辐射太大?
其实口腔科的X光片辐射量很小,遵照医嘱做好防护就好,无需过多担心。
当然还有人会觉得牙医会用凿子锤子等十八般*器武**来伺候智齿,不用担心,现在基本只用涡轮机,也叫“手机”的家伙事,看上去柔和温存很多。

“手机”。图源:吕佩红
喏,这就是“手机”,看上去是不是人畜无害?这么迷你。
但肯定还有同学要说:医生啊,道理我都懂,但我就是无法克服对拔牙的恐惧,咋整?
那我接下就为大家来分析下,为什么许多人会害怕拔牙。
害怕拔牙主要是两个方面,一个是怕疼,目前麻药的效果来说,拔牙过程维持不痛不是难事。剩下的就是打麻药的疼痛,能否避免?足够细心的操作是可以做到的,但是总的来说,麻药的疼痛持续时间短,不用过于担心。
并且拔牙后的不适疼痛一般都有预期,反倒没有那么让人恐惧,就像一直未掉的第二只鞋,拔完也就结束了。
另一个更多的是对于未知的恐惧,不少患者在熟悉后告诉我,最怕的是躺在牙椅上那种“人为刀俎,我为鱼肉”的无助感。
在我看来,这种无助可以通过找到让你感觉信任的牙医来帮助改善。
反正,我的患者拔完牙后大部分都表示拔牙比自己之前想象的简单多了,也没那么恐怖。
说到这里,可能还有朋友记挂着黄先生最后有没有拔牙。
聊了这么久之后,黄先生终于问出了一个很有实质性进展的问题:
“那么……上午拔牙好还是下午拔牙好?”
听到这个问句,吕医生略感欣慰。
黄先生已经在考虑什么时候拔的问题,至少拔智齿已经成为他的计划。
“其实并没有明显差别。如果说非得有什么差别,可能下午拔对当天的影响时间短,至少中饭还可以大吃一顿哈。”
黄先生表示明白,最终他预约了一周后的智齿拔除,但愿那天他不会迟到(笑)。

希望黄先生能够早日摆脱牙齿的烦恼。图源:PEXELS
当然,对黄先生这样的人来说,拔智齿很可怕,但很多爱美的女性却对之心存期待,那是因为她们相信:拔智齿能瘦脸。
这从医生的角度怎么看?今天我的回答可能要使一部分人梦想幻灭了。
拔完智齿后,因为口腔创面未愈合,一段时间内会影响进食,这可能会帮助你减肥,瘦个几两完全是可能的,但想靠它来瘦脸基本无望。
除非那颗被拔除的智齿生长方向是顶向颊侧(腮帮子)的,拔掉后才可能使脸颊轮廓有些变化。而大多数智齿并不是这么长得……所以,答案显而易见。
那么,你拔过智齿吗?你拔智齿的经历还顺利吗?评论区留下你害怕的理由,说不定会被未来的牙医小姐姐/小哥哥看到,然后温柔对待呢~
上期在留言区里,很多人想听听关于洗牙的科普,下期牙医小姐姐就来聊聊洗牙吧,大家对洗牙有哪些想要了解的细节,可以留言告诉我哦~
参考资料:
[1] 张震康/俞光岩 .口腔颌面外科学[M].北京大学医学出版社
[2] 耿温琦.下颌阻生智齿[M].第二版.人民卫生出版社
[3] 皮昕.口腔解剖生理学[M].人民卫生出版社
[4] 题图来源:《查理和巧克力工厂》.豆瓣电影
主稿人:杭州牙医吕佩红;编辑:包包、鲁鲁修;质检:笑言;排版:CC;题图:鲁鲁修
本文系【法医秦明】头条号原创文章,未经授权谢绝任何形式的转载