大家好,我是门墩er,超声医师一枚,很高兴和大家分享肾结石的知识。
肾结石如何才能掉下来?
小的悄悄掉下来,大的掉不下来。

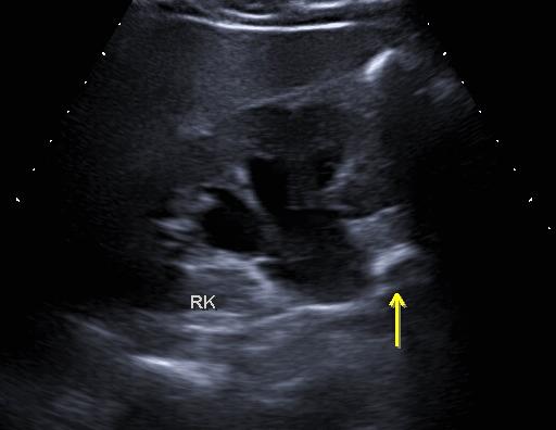
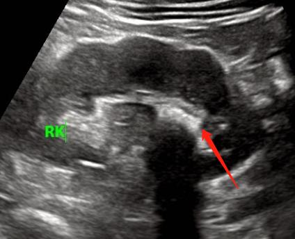
肾结石一般躲在我们的肾窦的各个角落内。
一、一般小于6mm的结石可以自行排出
在任何时候都有可能自行掉下来,顺着输尿管往下走。

看,上面那个结石就已经走到输尿管了。
此时因为较大,堵住了输尿管,导致肾脏内的尿液排不出去,所以就会腰疼。
每个人的疼痛程度不同,这根据结石阻塞输尿管的程度以及结石的光滑程度等因素。
比如结石虽小,但全是是“刺”,一边走一边划伤输尿管,所以这种结石一般能疼倒英雄汉,在地上叮铃打滚那疼。
2、一般大于6mm的结石较难自行排出,需要处理小了才能掉得出来
输尿管内径约0.5-1cm,较小的结石可以通过,但对于较大的结石就没有通过的可能,毕竟门就那么大。

怎么办呢?
现在最常见的处理办法就是体外冲击波碎石,将大石头碎成小石头,这样就可以排出,一般适用于小于2cm的肾结石。
大于2cm的肾结石又怎么办呢?
一般可以通过经皮肾镜取石术来治疗。
当然还有其它办法,具体结石,具体处理,建议到正规医院的泌尿外科处理哦。
最后,总结:
小的结石(<6mm)可自行排出,大于6mm的结石一般需要借助体外碎石等手段来帮助排出。
好了,今天就分享到这里,下期我们分享“输尿管结石到底有多疼?”
如果你还有其它健康问题,欢迎在评论区留言!