
八十岁老年男性输尿管结石治疗案例

姓名:李先生
年龄:80岁
病情:入院前3个多月间反复感觉左侧阵发性腰痛,放射至同侧腹股沟区,伴尿频、尿急。
病患最早曾在当地医院进行泌尿系CT检查,结果显示:
1、左侧输尿管第一狭窄段结石伴中重度肾盂输尿管积水。2、左肾下极小结石。3、前列腺中部结节状钙化。
病患进行的全腹彩超检查提示:
1、胆总管上段轻度扩张。2、左侧输尿管上段轻度扩张伴左肾轻度积水、左肾结石。3、膀胱壁增厚毛糙。4、前列腺增生伴钙化。
80岁的李先生在当地医院的治疗始终无法解决问题,后经过多方打听之后,来到福建医科大学附属第一医院。李先生是本人近些年治疗的年龄较大患者,他的病情是非常典型的老年人泌尿系统疾病,治疗过程非常顺利,李先生也很快的恢复了健康。

病情分析
本例患者的表现就是一个输尿管结石梗阻的典型表现,患者发作时,一般为突发的腰痛,伴有排尿症状(尿频-指小便次数增加、尿急-指有小便不能憋必须马上上厕所、尿痛-指排尿的同时会阴部疼痛、血尿-指尿液中带血色,四者中的一个或全部),这种腰痛剧烈,患者往往在床上打滚,因疼痛被迫蜷曲身体的体位,常常伴有恶心、呕吐症状。在当地医院或社区诊所使用止痛药或消炎药后,疼痛往往可以缓解,但会间歇性发作,反反复复,被迫来医院进一步检查。CT平扫是泌尿系结石检查的最准确手段,一般不会遗漏结石,因为输尿管结石往往比较小,B超或者彩超因为检查医生的水平以及设备局限,不一定能够看到,比如本例病例,当地医院CT检查发现了输尿管第一狭窄处有一个结石,引起梗阻,但是B超却没有发现。
入院后检查


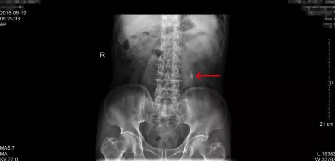
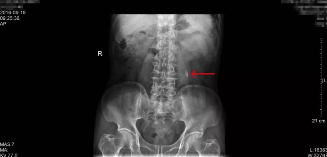
KUB检查报告:结石最大为1.2cm
KUB这一检查是泌尿系结石的常规检查之一,学名称为泌尿系平片,一般是指患者在经过肠道准备后(前一天服用泻药,让肠道内容物排出,第二天禁食,以减少肠道内容物对影像的干扰),在X线透视下摄片,涵盖整个泌尿系统,包括肾、输尿管、膀胱区域,观察这一区域有无阳性结石(酸性结石,尤其纯的酸性结石在X下无法显现,我们称为阴性结石,这一检查就无法看到,但比较少)。这一患者的KUB检查片子如上,可以看到,阳性结石表现为白色的强化,就是片子中红色箭头所指的地方,一般患者手术后也要拍一张KUB,可以和术前的检查相对比,从而直观的确认手术的效果。


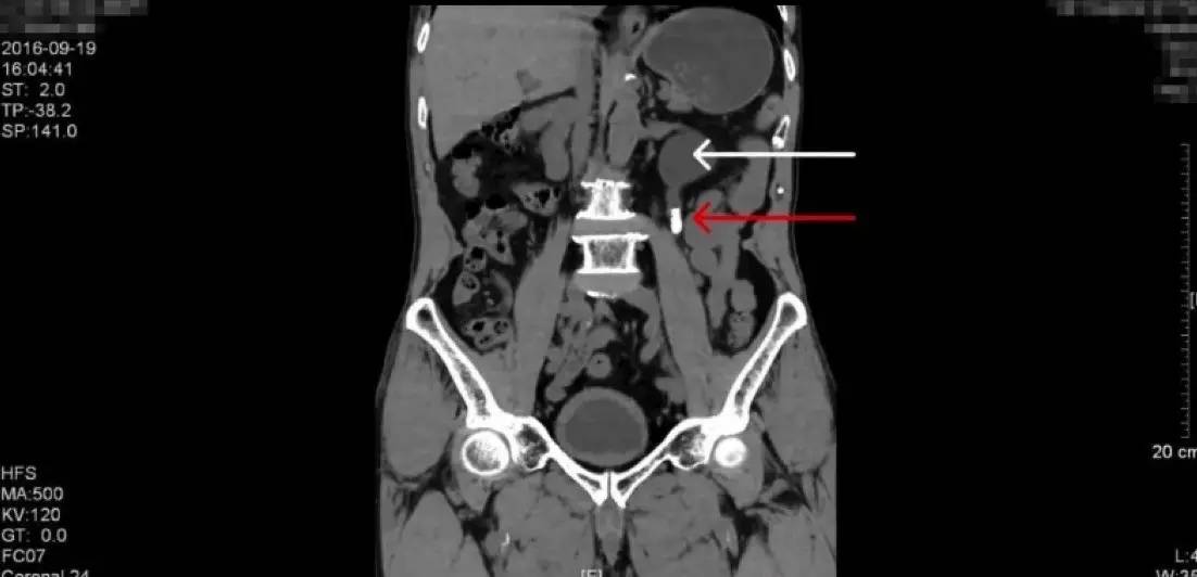
上图为CT平扫的三维重建图像(红色箭头为结石,白色箭头为积水肾)
泌尿系CT平扫是泌尿系结石手术前的必备检查,因为它可以清晰的显示各个器官的毗邻结构和结石的位置大小,并且可以做图像的三维重建。本例患者的CT图像如上,结石同样显示为白色强化,是身体的横截面,这里结石看起来是圆形的,是结石的横截面。
治疗方案
术前相关检查没有发现明显手术禁忌症,于2016.09.22在全麻下行“左侧输尿管软镜下结石激光碎石术+左侧输尿管支架置入术”,手术时间45分钟,过程顺利,术后恢复良好。
输尿管软镜技术是近年快速发展的一种较新的泌尿系结石微创治疗方法,主要用于小于2cm的输尿管上段结石和肾结石。本例患者为输尿管上段结石,结石大小大约2cm,正好可以采用输尿管软镜治疗,患者在全麻下,输尿管软镜经过尿道口进入膀胱,在顺左侧输尿管在膀胱的开口进入左侧输尿管内,顺输尿管向上,找到结石,先将结石顶入肾盂,再用200微米激光将结石碎裂为粉末,最后留置输尿管内双J管为支架,以防止术后输尿管狭窄黏连。但采用软镜手术,无法将这些结石粉末取出,患者今后需要吃排石药,大量喝水,自行将这些结石粉末排出,由于手术将结石粉末化,90%的患者可以将这些结石粉末自行排出。
术后复查

手术前KUB检查报告

手术后KUB检查报告
手术后的复查主要是通过拍KUB,通过与手术前KUB报告的直观对比,从图中可以看到,原来结石的地方,强化的结石已经消失了,左侧可以看到箭头指示的是一根手术后留置的双J管,这根管的目的是为了防止手术后输尿管狭窄黏连。
由于我们的手术是通过输尿管操作的,对输尿管粘膜不同程度有损伤,如果不留置双J管的话,术后容易造成输尿管黏连狭窄,输尿管最细的地方只有0.5cm,所以狭窄是手术后需要注意的并发症。
病理特点
本例患者为老年患者,80岁,一般老年患者的耐受性很好,他们常常可以坚持病痛,这一病例就可以看到,输尿管结石造成的肾绞痛是非常剧烈的,但是患者反复耐受长达3个月之久,才到当地医院检查,这样实际是对自身造成不良的反应,肾功能可能受到损害。在当地医院检查之后,又拖延了大约20天才来到我们医院,其中包括的个个原因就不得而知(可能是家里讨论去哪里治疗,决定是否承受手术治疗,寻找熟人,凑钱,等待医院病床位,等等原因),这样也会导致疾病治疗的延误,从基层到上级医院,从出现症状到接受手术治疗,前后达到数月时间,使患者没有第一时间得到有效的治疗,而来到我们医院后,手术只用了45分钟,术后2天就治愈出院,说明只要在合适的医疗机构获得及时的治疗,很多患者可以获得更好的治疗结果,减少更多的痛苦,这其中的原因包括患者的就医意识,经济条件,基层医疗水平,医生对疾病的认识,家人对疾病的认识,疾病治疗水准的认知等等多方面原因。
微信公众号@泌尿结石专家毛厚平
新浪微博@泌尿结石专家毛厚平