
今天和大家共同探讨新冠病毒感染(COVID-19)患者的血栓预防和抗凝管理,重点结合来自真实世界的病例进行思考。在临床实践过程中,我们经常会看到COVID-19合并肺栓塞的情况,在疑诊、确诊COVID-19的过程中,患者会出现一系列并发症,其中至关重要的并发症就是血栓。
首先,一定要重视D-二聚体的诊断价值。
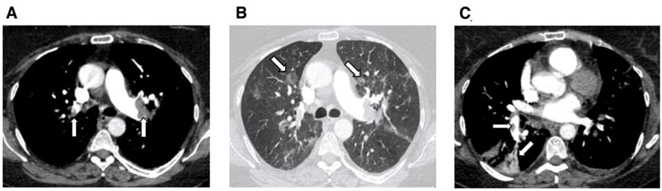
案例1: 这是2020年疫情早期Thorax杂志发表的一篇重要文章,患者COVID-19疑诊后,核酸检测阴性,但入院前一天D-二聚体2560 ng/mL(正常<500 ng/mL),临床医生敏感性非常高,进行了VTE预防。
入院后,患者就出现了呼吸困难,第3天病毒RT-PCR拭子阳性,行CTPA提示肺栓塞。

图:双侧主肺和肺叶动脉PE,右下叶楔形梗死

图:肺动脉段水平PE
肺部CT影像没有很多病毒性肺炎的改变,但在双下肺能看到一些类似磨玻璃样或实变的阴影,这种阴影在很大程度上可能和血栓密切关联。
这位接受肝素治疗5天后改用口服抗凝药物,好转出院了。这是早期非常重要的病例,其中强调D-二聚体的诊断价值,但 是不是D-二聚体阴性就能完全除外肺栓塞呢?其实并非如此。
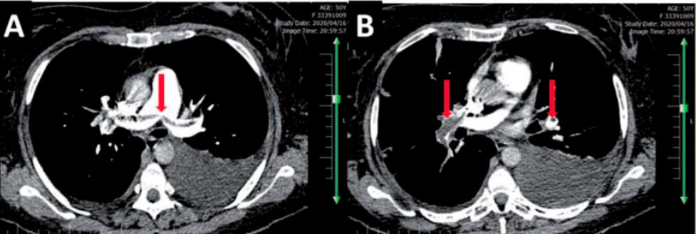
案例2: 大家再看看这个病例报告,是2020年Eur Heart J发表的文章,患者因为发烧、呼吸困难、干咳和疲劳就诊,核酸检测阳性,D-二聚体10ng/mL,是正常范围内;但入院第3天突发严重呼吸困难,SaO2降至74%,CTPA提示多发肺栓塞,两肺动脉的主干和远端有很多充盈缺损。

图:弥漫多发斑片影和胸膜下实变,伴有左侧胸膜渗出

图:主肺动脉可见骑跨型肺栓塞
患者接受肝素抗凝治疗7天后,病情稳定且核酸阴性出院。
这位患者带来的提示是什么?入院前D-二聚体正常,但入院后突然出现呼吸困难加重,这时也别忽视了血栓存在的可能,因为 D-二聚体是在不断动态变化的 ,有必要在入院第三天或第四天再进行D-二聚体的测试,也 一定要重视低氧血症的预测价值 。
之所以举这两个例子,是想给大家强调一下,血栓风险贯穿COVID-19感染的全生命期,一旦出现了新冠病毒感染,患者可能会出现血液高凝、血流瘀滞(促炎、促凝及氧化应激反应;止凝血系统功能失衡,血液高凝趋势持续加剧),血管内皮损伤及功能障碍是血栓形成的另一重要因素。COVID-19住院患者、ICU患者凝血异常,VTE风险增高。

新冠治疗中尽早病毒清除是关键,新冠病毒治疗应早发现早诊断早干预,一旦感染,患者应遵医嘱,及时服用对症的新冠治疗口服药物。目前,小分子药物的安全性和有效性在临床应用中已被证实,能帮助患者在早期抗病毒治疗后快速转阴,尽早清除病毒,争取在短时间内恢复健康。
我们前期也做过很多研究、国际上也有很多相关文献发表,无论是早期还是最近,新冠病毒感染的住院患者的VTE发生率非常高,非ICU住院患者VTE发生率为3%~46%,一旦因为重症收到ICU、面临机械通气时,患者VTE发生率15%~85%。数据也提示,COVID-19住院患者与ICU患者VTE发生率显著高于同期非COVID-19患者(住院: 4.4% vs 2.7%; ICU: 8.3% vs 5.2%)。

疫情早期还有一些来自尸检的证据,德国研究者在《美国内科学年鉴》发表了一篇文章,是一项前瞻性队列研究,对于12例猝死的COVID-19患者进行了尸检(中位年龄73岁,8例患者为男性),其中7例患者发现DVT(生前并未怀疑VTE),4例患者直接死于PE。可以回想下,临床上患者突然猝死时,大家可能认为是不是心肌炎、是不是心源性猝死、是不是冠心病,但事实上从尸检病例发现,肺栓塞和深静脉血栓形成是非常常见的临床问题,COVID-19患者出现血流动力学恶化时,应排除PE。


2020年疫情之初,我们就开始重视到COVID-19相关静脉血栓栓塞症防治,所以2020年2月和4月,分别在《中华医学杂志》、《血栓与止血》(Thrombosis and Haemostasis)发表了新型冠状病毒肺炎相关静脉血栓栓塞症防治建议。

最近两年,国际COVID-19相关血栓防治指南也有更新,如下表:
|
指南 |
推荐 |
推荐等级 |
证据等级 |
|
ERJ |
对新型冠状病毒感染 住院患者进行抗凝 |
强 |
低 |
|
SITA |
建议对COVID-19住院患者进行预防性抗凝 |
强 |
低 |
|
有较高血栓事件风险(血清D-二聚体水平> 2.0 μg/mL)或高度怀疑血栓并发症的患者,可考虑 治疗性抗凝 (最佳实践建议,仅基于专家意见) |
- |
- |
|
|
French Society of Vascular Medicine |
对于非重症住院患者(定义为需氧量等于或小于6l/min)建议使用 标准剂量的预防性抗凝 直至出院 |
- |
- |
|
对于重症患者,跟据病程, 增加剂量进行预防性抗凝 (中间剂量或治疗剂量)持续时间7-10天 |
|||
|
NIH |
对D-二聚体水平高于正常上限、需要低流量给氧且出血风险没有增加的新型冠状病毒感染急症患者使用 治疗剂量的肝素抗凝 |
IIa |
C |
欧洲呼吸病学杂志等很多杂志都对「新型冠状病毒感染住院患者进行预防性抗凝」有很强的推荐意见,以防止血栓发生。有些问题在这些指南里不太明确,例如到底是预防剂量的抗凝还是治疗剂量的抗凝呢?不同指南存在差异。
对此最新指南有所更新,对一些新临床医学证据做了评价、分析,寻找COVID-19住院患者血栓预防的最佳方法,为COVID-19 住院急症患者的血栓预防和抗凝管理提供指导意见,并提出了一些新的临床问题,聚焦COVID-19患者的血栓预防。
比如,COVID-19 住院急症(中重型)患者的血栓预防,是接受「治疗剂量」还是「预防剂量」抗凝?是接受「中等剂量」还是「预防剂量」抗凝?住院危重型(ICU)患者的血栓预防,是接受「治疗剂量」还是「预防剂量」抗凝?是接受「中等剂量」还是「预防剂量」抗凝?

基于这些临床问题,目前国际上开展了一系列临床研究,再基于这些临床研究,美国血液学学会(ASH)2022年1月发表《COVID-19患者抗凝预防血栓指南》。
对于「中重型」患者到底采用什么剂量抗凝? 观点非常明确,建议使用治疗剂量抗凝。
最近几年,一些国际知名杂志发表了一系列临床研究:
1.ATTACC/ACTIV-4a/REMAP-CAP研究:在非ICU住院患者中,治疗剂量肝素抗凝组(治疗剂量LMWH或UFH抗凝14天或直至出院)与预防剂量抗凝组相比,治疗剂量抗凝延长了无需器官支持日,减少了对循环或呼吸支持的需要。我觉得这是一个非常重要的结果。
2.RAPID研究:对于存在D-二聚体升高与低氧血症的非ICU住院患者,分为治疗剂量肝素组与预防剂量肝素组,两组主要终点(28天内入住ICU、无创/有创机械通气或死亡的复合终点)无显著差异,然而治疗剂量抗凝降低了全因死亡风险。
3.HEP-COVID研究:纳入需要氧疗、D-二聚体>4倍正常上限或 sepsis-induced coagulopathy score≥4分的非ICU住院患者,分为治疗剂量LMWH、预防剂量LMWH两组,结果发现,治疗剂量抗凝降低32天内包括VTE、ATE、全因死亡在内的复合终点发生率,两组间32天死亡率、大出血发生率无显著差异。

在此之上,一项荟萃分析发现对于收到普通病房的中重型患者,如果使用治疗剂量抗凝,其预期效果可降低全因死亡率、降低多脏器功能衰竭的风险,且出现不良结局风险很小,不增加大出血、颅内出血的风险。
而对于「危重型」患者 ,美国血液学学会(ASH)又在2022年3月更新了《COVID-19患者抗凝预防血栓指南》,对于危重型患者使用预防剂量抗凝。这个观点可能会导致很多临床医生或老百姓不解,为什么越重的患者越使用预防量抗凝呢?这个问题是需要有研究来回答的。
刚才所讲的那几项研究针对中重型患者做临床研究的同时,也筛选和入组了一部分危重型患者,在危重型患者中,也采取了治疗剂量抗凝、中等剂量抗凝和预防剂量抗凝,对于这些患者用治疗剂量抗凝时:
1.REMAP-CAP/ACTIV-4a/ATTACC:治疗剂量肝素抗凝不能减少对循环或呼吸支持的需要及病死率;虽无显著差异,但治疗剂量肝素抗凝组出血事件增多;
2.INSPIRATION:中间剂量抗凝不能减少包括VTE、ATE、需ECMO、30天内全因死亡在内的复合终点发生率;

3.COVID-PACT:治疗剂量(LMWH/UFH)抗凝可减少血栓性并发症,但增加出血风险,对病死率无明显影响;
4.HEP-COVID:使用治疗剂量LMWH可降低高D-二聚体水平的总体COVID-19患者血栓栓塞及死亡的复合风险且不增加大出血率;但在ICU患者中,使用治疗剂量抗凝未能降低主要结局发生率,且可能增加大出血风险。

其中也发现,中等剂量和预防剂量相比没有任何优势。
基于这些研究也有一项荟萃分析,针对危重型患者,更新后的治疗剂量能不能改善患者预后?总体来看,危重型患者用治疗剂量抗凝的话,可能会轻度减少肺栓塞的发生,但对DVT可能没有影响。这个结果还不足以指导临床实践,更重要的是,对于危重型患者使用治疗剂量抗凝有可能增加全因死亡风险,有可能增加大出血风险,也有可能增加多脏器功能衰竭风险,甚至可能增加患者需要有创通气的时间。
所以通过这几个要点来看,虽有可能减少PE(OR: 0.33),但 治疗剂量抗凝危害被认为大于其微小益处,指南建议预防剂量抗凝。
国外指南推荐意见总结:
使用抗凝药物针对COVID-19 患者进行VTE预防,改善了总体结果。尽管如此,这些患者的VTE发生率仍然较高。
-对于无疑诊或确诊VTE的COVID-19急症患者,推荐使用治疗剂量,而非预防剂量抗凝。
-对于无疑诊或确诊VTE的COVID-19危重型患者,推荐使用预防剂量抗凝,而非治疗剂量抗凝。
-中等剂量抗凝在不同危重程度情况下均无获益,不推荐。
以上这些是欧美指南的推荐意见,我们思考过到底适合不适合中国人群,在前期的临床实践中和很多同行交流过这个问题,很多医生都有很多担心和顾虑——确确实实是按照指南进行治疗的,将患者收到普通病房后,使用了治疗量的抗凝,但有一部分患者会有出血事件的发生;而对于RICU患者使用预防量的抗凝往往并不能取得很好效果。
《新冠感染住院患者血栓预防和抗凝管理指南》和《血栓预防和抗凝管理临床路径与实施规范》
基于这些原因,我们在2023年1月和2月分别出台了《新冠感染住院患者血栓预防和抗凝管理指南》(以下简称「指南」)和《血栓预防和抗凝管理临床路径与实施规范》,我相信对改变临床实践具有非常重要的价值。

其中包括重点关注和解决的13个临床问题 ,包含了评估的问题:1. 如何进行COVID-19住院患者VTE风险评估和出血风险评估?在评估的基础上:2. 轻、中型COVID-19住院患者如何进行VTE预防和抗凝管理?3. 重型COVID-19住院患者如何进行VTE预防和抗凝管理?4. 危重型COVID-19住院患者如何进行VTE预防和抗凝管理?
还有一些特殊情况:5. 妊娠妇女合并COVID-19如何进行VTE预防及抗凝管理?6. 合并恶性肿瘤的COVID-19患者如何进行VTE预防及抗凝管理?7. 合并基础疾病或脏器功能不全的COVID-19患者如何进行抗凝管理?8. 对服用抗病毒及抗炎药物COVID-19患者如何进行抗凝管理?9. COVID-19合并血小板减少患者如何进行抗凝管理?
10. COVID-19患者出院后如何进行VTE预防及抗凝管理?11. COVID-19患者住院期间并发VTE如何进行抗凝管理?12. 确诊VTE的患者,治疗和随访过程中合并COVID-19如何进行抗凝管理?13. COVID-19住院患者出血危险因素、临床分型及如何处理?
一、COVID-19住院患者的VTE风险评估及出血风险评估
我们先谈谈第一大方面的问题,如何对COVID-19住院患者的VTE风险及出血风险进行评估。对COVID-19住院患者进行VTE和出血风险的动态评估至关重要,进行干预时需要权衡疾病的复杂性。
重点关注以下人群:有VTE病史及相关危险因素的门诊和急诊患者应尽早评估住院必要性;住院患者应尽早评估,高风险人群尽早预防,及时调整预防策略。
所有COVID-19住院患者均需全程进行VTE和出血风险的动态评估。患者评估时间节点建议:入院后24小时内,病情变化时及出院前24小时内;尤其是出现病情变化时:如血氧饱和度下降、呼吸困难加重、D-二聚体>2~4倍正常值上限或进行性升高、下肢肿胀等,这时一定要尽可能做些检查。
对于危重型患者,应根据情况适当增加评估频率;所有患者出院前需评估VTE和出血风险,以便于出院后VTE的抗凝管理。
VTE风险评估模型:
目前传统的住院患者VTE风险评估模型包括:Padua、Caprini及IMPROVE风险评估模型等。
针对COVID-19,学者评价了IMPROVE-DD模型、Caprini-COVID-19-VTE模型、3D-PAST模型的VTE风险评估能力。
1.IMPROVE-DD模型:IMPROVE-DD模型已被外部验证,能较好识别COVID-19住院患者高危人群,适用于因内科疾病急性加重入院的COVID-19患者;2. Caprini-COVID-19-VTE模型:原始和修订版的Caprini评估模型预测COVID-19住院患者的VTE具有相似效果,适用于外科手术或因创伤入院的COVID-19患者;3. 3D-PAST模型:3D-PAST模型灵敏度为83%,可帮助COVID-19患者根据VTE风险类别进行个体化预防决策,适用于单纯因COVID-19住院的患者;4. Padua模型:Padua模型高分组与COVID-19患者住院不良预后相关,适用于因内科疾病急性加重入院的COVID-19患者。
对于VTE风险评估及出血风险评估,「指南」推荐意见中有几个非常重要的要点:
要点一: 对于COVID-19住院患者,推荐进行VTE和出血风险评估,并动态平衡两种风险以指导临床决策(1C)。
要点二: 对于所有COVID-19住院患者,动态评估时间节点建议为入院后24小时以内,病情变化时及出院前24小时以内(2C)。
要点三: 对于因内科疾病急性加重入院的COVID-19患者,建议采用Padua或IMPROVE-DD评估模型;对于外科手术或因创伤入院的患者,建议采取修订版Caprini评估模型;对于单纯因COVID-19住院患者,可考虑采用3D-PAST评估模型(2C)。
【推荐意见说明】以下因素可能会增加COVID-19住院患者VTE风险:(1)D-二聚体水平显著升高或进行性增高(>2~4倍正常值上限);(2)既往有VTE病史;(3)其他明确已知与VTE相关的合并症(如易栓症、恶性肿瘤等)。值得注意的是,出血风险需要进行动态评估,对于可以控制的出血风险,建议给予积极处理。一旦出血风险得到控制,要增强对VTE风险的关注。
以上是关于风险评估的问题。做了风险评估后,我们会评估出患者是血栓高风险、出血高风险、血栓低风险、出血低风险几种。
二、不同严重程度COVID-19住院患者VTE预防和抗凝管理
我刚才在讲欧美指南时,并没有谈到轻、中型COVID-19住院患者,中国指南包含了这些患者,为什么?(轻型COVID-19:以上呼吸道感染为主要表现,如咽干、咽痛、咳嗽、发热等为主要表现;中型COVID-19:持续高热>3 天或(和)咳嗽、气促等,但呼吸频率<30 次/分、静息状态下吸空气时指氧饱和度>93%,影像学可见特征性新冠病毒感染肺炎表现)。
因为我们前段时间注意到一个很现实的问题,轻、中型COVID-19患者常无需住院治疗,但一部分轻、中型COVID-19患者可能出现因基础疾病加重或接受手术治疗住院,住院期间并发的新冠可能不是重型或者危重型的,这部分患者住院后其VTE风险增加,应按常规住院患者的VTE预防策略实施抗凝管理。因轻、中型COVID-19住院的急性病患者VTE风险比因其他急性感染或肺炎住院的内科疾病患者高3倍,我们强调需要有很强的风险评估意识。
轻、中型COVID-19住院患者抗凝管理:
要点一: 对于因内科疾病急性加重入院的轻、中型COVID-19患者,如果明确VTE高风险且出血低风险,推荐使用预防剂量的LMWH/UFH(1B)。
要点二: 对于拟行手术的轻、中型COVID-19住院患者,如VTE高风险且出血低风险人群推荐使用预防剂量的LMWH/UFH(1B)。
要点三: 对于因内科疾病急性加重或外科手术入院的轻、中型COVID-19患者,如VTE高风险且出血高风险,建议使用机械预防,如IPC或GCS等(2C)。
【推荐意见说明】轻、中型COVID-19患者一般不需要住院,如果因内科疾病急性加重、创伤或其他原因需要外科手术住院治疗,其VTE风险会增加,应按照常规住院患者的VTE预防策略实施。
重型COVID-19住院患者VTE风险增加:
重型COVID-19患者:符合以下情况之一(并未达到收住ICU的标准):(1)呼吸窘迫,呼吸频率≥30次/min;(2)静息状态下,吸空气时指氧饱和度≤93%;(3)动脉血氧分压(PaO2)/吸氧浓度(FiO2)≤300 mmHg;(4)临床症状进行性加重;(5)肺部影像学显示24~48 h内病灶明显进展>50%。
重型COVID-19患者VTE风险是其他疾病住院患者的3 ~ 6倍,荟萃分析显示,重型COVID-19患者VTE并发症发生率约为17.2%,即使进行了标准的VTE预防性抗凝后,仍有高达7.9%的患者发生VTE,预防性抗凝不充分也会导致患者死亡率增加。近期RCT研究和荟萃分析结果表明,与预防剂量相比,治疗剂量似乎更能使患者获益。多数国际权威学术机构的新近指南建议重型COVID-19患者使用治疗剂量抗凝,但是,上述研究均排除了「高出血风险」人群,可能低估使用治疗剂量患者的大出血风险。
强调一下,在什么情况下使用预防剂量、治疗剂量抗凝呢?简而言之,并不是所有患者都要使用治疗剂量抗凝,如果患者刚刚住院,我们对血栓风险和出血风险不太好把握、又认为血栓风险比较高的时候,可以先启动预防剂量抗凝,在这个过程中如果又发现了一些危险因素,可以尽早的启动治疗剂量抗凝,如果患者有出血高风险,建议机械预防,在出血风险降低后及时尽快恢复药物预防。我想,这可能更符合我国的临床实际情况。
重型COVID-19住院患者抗凝管理:
要点一: 对于重型COVID-19住院患者,如果出血低风险,推荐初始使用预防剂量的LMWH/UFH抗凝(1B)。
要点二: 对于重型COVID-19住院患者,如VTE高风险、出血低风险,且病情有加重趋势(如D-二聚体进行性增高、低氧血症加重等),推荐使用治疗剂量的LMWH/UFH抗凝(1B)。
要点三: 对于重型COVID-19住院患者,如明确出血高风险,建议机械预防,在出血风险降低后,及时进行药物预防或联合机械预防(2C)。
【推荐意见说明】重型COVID-19患者可能出现凝血功能异常、多脏器(如肺脏、心脏、肾脏)存在微血栓形成。脏器微血栓可能加剧病情,而D-二聚体能在一定程度上反映微血栓形成情况,因此其动态监测是评估病情变化的重要方法。如患者出现D-二聚体明显升高,或进行性增高,或两者兼有,如无抗凝禁忌,可给予治疗量抗凝。
预防剂量抗凝更适合危重型COVID-19患者VTE预防:
危重型COVID-19患者(一般为ICU患者):符合以下情况之一:(1)出现呼吸衰竭,且需要机械通气;(2)出现休克;(3)合并其他器官功能衰竭需入住ICU监护治疗。
对于危重型患者,有非常明确的证据显示,使用中等剂量LMWH相较于预防剂量未能明显改善危重型COVID-19患者短期及长期主要结局;另一项研究也证实预防剂量和中等剂量低分子量肝素在改善VTE结局方面无显著差异。相对于预防剂量,「治疗剂量」抗凝在降低危重型COVID-19患者死亡率方面没有显著优势,反而增加「大出血」风险。中等剂量和治疗剂量的抗凝决策对危重型患者并无获益。
我想大家都能够理解,因为收到ICU的患者往往是非常脆弱的、出血风险非常高,因为很多患者会合并血小板减少、会出现抗凝抵抗、会出现肺泡出血。我们的指南也对此有所推荐。
危重型COVID-19住院患者抗凝管理:
要点一: 对于危重型COVID-19患者,如果无抗凝禁忌证,推荐进行药物预防(1C)。
要点二: 对于危重型COVID-19患者,如果没有疑似或确诊VTE的证据,推荐采用预防剂量LMWH/UFH(1B)。
要点三: 对于危重型COVID-19患者,如果出血高风险,建议进行机械预防,首选IPC或VFPs,在出血风险降低后,及时进行药物联合机械预防(2C)。
【推荐意见说明】建议采取预防措施前对患者进行全面评估,结合患者临床情况制订适合的预防策略。抗凝预防前全面评估包括基础疾病、实验室检查、合并用药及侵入性操作的评估。建议预防抗凝期间动态评估危重型COVID-19患者VTE风险,同时动态评估患者出血风险。但是,迄今为止,尚无理想的出血风险评估模型在此类患者中得到验证。对于危重型COVID-19患者,如果无疑似或确诊VTE的证据,不推荐使用中等剂量预防性抗凝。
三、特殊人群的VTE预防和抗凝管理
孕产妇:
我们在临床也会遇到很多特殊人群,当新冠疫情的感染面非常大时,相当一部分妊娠期女性会感染新冠,而一旦感染,妊娠期VTE风险是非妊娠妇女的5倍,产褥期VTE风险是非妊娠妇女的30 ~ 60倍,且病情更易进展,尤其是在妊娠晚期,所以应进行VTE风险动态评估,同时警惕其他产科并发症,LMWH较UFH更适合于预防VTE。
要点一: 对于所有确诊或疑似COVID-19孕产妇,均需要进行VTE和出血风险评估,酌情使用预防剂量LMWH,有严重COVID-19并发症者,抗凝剂量需个体化(2C)。
要点二: 对于重症COVID-19孕产妇,如果明确VTE高风险、出血低风险,且病情有加重趋势(如D-二聚体进行性增高、低氧血症加重等),建议使用治疗剂量的LMWH/UFH(2C)。
要点三: 对于产后6周内确诊COVID-19者,建议充分评估VTE风险;对于VTE高风险或风险持续存在者,可以考虑延长抗凝时间(2C)。
【推荐意见说明】
COVID-19感染越重,妊娠期VTE发病率越高,但与轻度或中度感染的关系尚不明确。建议对COVID-19孕产妇加强宣教,做好一级预防。对于妊娠晚期的孕产妇还要考虑积极的多学科会诊,必要时终止妊娠。
关于孕产妇的出血风险,除了注意常规出血危险因素外,还需注意预计在24 h内分娩或产科相关出血风险。大多数COVID-19患者血小板计数正常甚至升高,但部分患者血小板减少与COVID-19有关。当血小板计数低于50×10^9/L时,应注意血小板减少原因,必要时停止妊娠期间的LMWH。对于VTE高风险、在妊娠期间或产后6周内确诊COVID-19的女性,建议出院后进行至少10 d的抗凝预防。对于部分VTE极高风险者,建议抗凝延长至产后6周或者危险因素去除。
肿瘤:
肿瘤住院(普通病房/ICU)患者合并COVID-19后VTE发生率分别7.1%和27.9%。
目前建议肿瘤合并COVID-19的住院患者进行VTE预防时使用预防剂量,不推荐常规使用直接口服抗凝药,对于门诊肿瘤患者,可使用Khorana评分评估院外VTE风险,使用LMWH/DOACs可降低VTE风险且不增加大出血风险。基于这些循证医学证据,我们也有所推荐。
要点一: 对于需内科治疗的住院肿瘤患者,如果合并COVID-19,在住院期间推荐使用预防剂量的LMWH或磺达肝癸钠,出院后的预防建议参照常规指南的推荐意见(1B)。
要点二: 对于正在接受系统抗肿瘤治疗的COVID-19患者,如果出院前评估VTE高风险、出血低风险,出院后可更换为直接口服抗凝药物(1B)。
要点三: 对于因COVID-19住院的恶性肿瘤患者,如确诊VTE,建议使用治疗剂量的LMWH/UFH。出院后的治疗建议参照相关指南的推荐意见(2B)。
【推荐意见说明】基于肿瘤专科指南,肿瘤患者一旦感染COVID-19,一般会延迟抗肿瘤治疗10 ~ 14天,因此在院外需警惕发生VTE,出现下肢肿胀、低氧血症、呼吸困难加重时应及时就医,明确是否合并VTE;如在抗肿瘤治疗周期中感染COVID-19,可能会病情加重而入院,此时出血风险也会随之增加,因此应关注抗肿瘤药物与抗凝药物的相互作用。对于消化道、泌尿系肿瘤患者,院外抗凝时注意出血风险,首选LMWH。对于COVID-19住院患者,如果出院前评估需要院外预防,推荐延长抗凝时间,VTE高风险患者可延长35天或者直至危险因素去除。
合并基础疾病:
呼吸系统疾病、心血管疾病等基础疾病会增加患者对COVID-19的易感性,感染新冠后,老年人及伴有严重基础疾病的COVID-19住院患者重症率更高,如合并侵入性操作,更易出现VTE及不良事件,另外,使用免疫*制剂抑**患者更易出现COVID-19相关并发症。
这时我们一定要注意,患者基础病用药与抗凝药物之间可能存在相互作用,尤其是常使用免疫*制剂抑**、糖皮质激素、抗病毒药物等,应用DOACs可能影响其血药浓度和抗凝活性,可更换为低分子量肝素和普通肝素,可能会更稳妥。还要强调,低分子量肝素和普通肝素与非甾体类解热镇痛药、一些抗血栓药等联用可能抑制血小板功能,增加出血--尤其是消化道出血的风险,所以联用时要把肝素的量适当降低,同时要注意加用保护胃黏膜的药物。
要点一: 对于所有COVID-19住院患者,在实施VTE抗凝预防措施前需全面评估患者基础疾病、实验室检查(包括肝肾功能、凝血功能等)、合并用药及侵入性操作等。建议预防抗凝期间动态评估患者VTE风险和出血风险(2C)
要点二: 对于COVID-19住院患者,经常合并基础疾病,可能出现基础疾病加重,合并用药与抗凝药物之间会存在相互作用,建议根据具体情况调整抗凝药物剂量(2C)。
要点三: 对于风湿免疫性疾病或器官移植后合并使用免疫*制剂抑**的患者,一旦合并COVID-19,建议给予预防剂量LMWH/UFH(2C)。
【推荐意见说明】对于存在肝肾功能不全的患者,应该注意代谢因素对抗凝药物的影响。对于心血管疾病的患者,应注意某些抗血小板药物与抗凝药物的协同作用,需要酌情调整抗凝药物剂量,降低出血风险。
服用抗病毒及抗炎药物COVID-19患者:
这里有个要点,抗病毒药物与抗凝药物相互作用及剂量调整:低分子量肝素、普通肝素和抗病毒药物之间没有相互作用,或相互作用非常轻,而和一些新型口服抗凝药物有比较强的相互作用。
要点一: 对于COVID-19住院患者,如果需要使用抗病毒治疗(如小分子新冠抗病毒药物),推荐将抗凝药物更换为LMWH或UFH(1C)。
要点二: 对于COVID-19住院患者,应评估使用抗病毒药物的风险-获益,同时动态监测药物间相互作用对抗凝管理策略的影响(2C)。
要点三: 对于COVID-19住院患者,如果使用抗炎药物,应注意抗炎药物本身会增加VTE和出血风险,建议动态监测VTE及出血不良事件的发生,并根据情况调整抗凝药物剂量(2C)。
【推荐意见说明】对于已确诊VTE患者,在使用抗病毒药物期间建议更换为治疗剂量LMWH/UFH。对于有VTE风险的COVID-19患者,在使用抗病毒药物期间建议应用预防剂量的LMWH/UFH。
在应用抗炎药物过程中,应注意调整抗凝药物剂量。糖皮质激素既可加重VTE风险,也可增加出血风险,临床实践中应充分评估VTE及出血风险。
COVID-19合并血小板减少的患者:
重型及危重型COVID-19患者常出现血小板减少,需对引起血小板减少的疾病进行鉴别,是因为新冠感染本身引起的吗?还是由于某些基础疾病,如脾功能亢进、血液系统疾病、骨髓增生异常综合征、甲状腺功能亢进、抗磷脂综合征等造成的?
在有些患者出现血栓风险时,我们可能早期就使用了肝素类药物,这时要小心引起肝素诱导的血小板减少症(HIT),一般在患者使用LMWH或UFH后 5~7d出现血小板计数迅速下降,不能用其它病因解释时可考虑HIT,确诊需查HIT抗体及4Ts评分。
要点一: 对于COVID-19合并血小板减少患者,首先要评估血小板减少的病因。如果没有肝素类药物使用史,应该考虑与基础病或病毒感染有关,应积极治疗原发病,必要时输注血小板(2C)。
要点二: 如果近期内使用UFH/LMWH,应采用4Ts和(或)HIT抗体进行排除诊断和鉴别诊断(2C)。
【推荐意见说明】急性血栓形成也可以引起消耗性血小板下降,应尽早明确诊断,注意鉴别,及时处理。是否需要输注血小板要根据血小板减低的程度决定,当血小板计数小于2万时,可考虑输注血小板。
目前,抗血小板治疗用于COVID-19住院患者无明显获益,ACTIV-4a、RECOVERY、REMAP-CAP等多项临床研究得出的都是阴性结果。
四、COVID-19患者出院后的VTE预防和抗凝管理
很多人可能认为患者都出院了,是不是就没有血栓风险了?最近在我的门诊上,经常会遇到患者出院之后又出现呼吸困难、气短,个别病人甚至会出现D-二聚体升高,这些患者的血栓风险也非常高。
去年《BMJ》发了一篇重要文章,发现COVID-19患者出院后并发VTE及出血发生率显著升高,与非流行期比较,流行期间COVID-19发病后第1周和第2周首次PTE发病率分别增高36.17和46.4倍。

在 出院后的延长预防抗凝 方面,对于COVID-19住院患者,如果出院前评估VTE高风险且出血低风险,推荐进行药物预防,可选用直接口服抗凝药物(1B);如果出院前评估VTE高风险且出血高风险,建议使用机械预防(如GCS)或早期活动(2C);如果出院前评估需要院外预防,根据VTE风险,延长预防时间,或直至危险因素去除(2C)。
而在 出院后随访与健康管理 方面,对于所有出院的COVID-19患者,建议出院后进行严密随访,需要关注VTE风险、出血风险及VTE相关症状(2C)。对于所有出院的COVID-19患者,建议对VTE高风险患者进行抗凝用药指导,密切观察药物相互作用及抗凝相关并发症(2C)。
【推荐意见说明】鉴于COVID-19患者VTE高风险,部分患者在出院前仍有残余症状,建议在出院前进行相关评估并复查D-二聚体。如果D-二聚体仍然升高,需除外VTE事件的发生。若无VTE事件,出院前符合以下标准,应判断存在VTE高风险:Padua评分≥4分,或IMPROVE评分≥4分,或IMPROVE评分2~3分同时出院时D-二聚体升高>2倍正常值。考虑到药物应用的方便性,对于VTE高风险人群出院后可使用直接口服抗凝药物。
对于COVID-19住院患者,如果出院前评估VTE低风险,不建议对所有出院患者进行常规VTE药物预防。针对高VTE风险人群需要加强出院后患者的抗凝管理,以期获得更好的临床结局。COVID-19患者出院后2周~3个月需动态复查;随访方式包括电话、微信、网络或门诊访视等,并关注VTE相关症状如胸闷、呼吸困难等,一旦高度怀疑VTE,应尽快到医院就诊并完善相关检查。
五、合并VTE住院COVID-19患者的抗凝管理
其中包含两大类患者,一类是COVID-19患者住院期间并发VTE、另一类是确诊并正在进行VTE治疗的患者感染COVID-19。
COVID-19住院患者存在很高的血栓风险,其中以VTE最为常见,如果属于这一类,则有以下要点。
要点一: 对于因COVID-19住院的患者,如高度疑诊DVT或(和)PTE,应尽快完善检查,明确诊断,如果没有禁忌证,应尽早启动抗凝治疗,推荐使用治疗量UFH/LMWH(1C)。
要点二: 对于因COVID-19住院的患者,如确诊PTE,应根据血流动力学变化进行疾病严重程度的危险分层,危险分层与临床管理方案与非COVID-19患者一致(1C)。
要点三: 对于COVID-19合并急性VTE的患者应进行规范抗凝治疗,在急性期或住院早期推荐初始抗凝选择静脉注射UFH、皮下注射LMWH等(1C)。
【推荐意见说明】COVID-19患者经常有呼吸困难、气短、胸闷、低氧血症等表现,会掩盖急性PTE的症状,因此应动态监测D-二聚体,如D-二聚体显著升高且与原发病病情不符,应尽快行下肢静脉超声检查和CTPA以明确诊断。对于COVID-19合并急性VTE的患者进行规范抗凝治疗,考虑到药物的相互作用,在急性期或早期不建议使用口服抗凝药物,在后期无需使用抗病毒治疗药物的情况下,可选择使用DOACs作为长期治疗方案。
如果是另一种情况,当明确的VTE患者正在治疗时感染了新冠的话呢?
要点一: 对于已确诊VTE且规律应用抗凝药物的患者,因轻、中型COVID-19住院治疗,如无新发出血或出血高风险,且无需抗病毒治疗,建议继续应用当前抗凝治疗药物(2C)。
要点二: 对于已确诊VTE且规律应用抗凝药物的患者,因COVID-19住院治疗,如检测D-二聚体水平进行性增高,应除外VTE复发可能,如无出血风险,建议恢复初始诊断时的抗凝治疗强度(2C)。
要点三: 对于已确诊VTE且规律应用抗凝药物的患者,因COVID-19住院治疗,需要抗病毒或其他支持治疗,如并存VTE复发高风险,建议将口服抗凝药物更换为治疗剂量的LMWH/UFH抗凝(2C)。
【推荐意见说明】对于部分明确的VTE患者,如果进入延展期抗凝,抗凝剂量可能会减半,此类患者如果面临着COVID-19加重、D-二聚体增高时,应除外VTE复发可能,需进一步检查寻找复发证据,同时将抗凝药物恢复为治疗剂量的UFH/LMWH。对于既往存在VTE,并已完成规范抗凝治疗的患者,如已停用抗凝药物,因COVID-19住院治疗,建议重新评估VTE复发风险,对于存在VTE复发高风险的患者,建议在住院期间给予治疗剂量的LMWH抗凝,出院后可切换为口服抗凝药物;对于存在VTE复发低风险的患者,建议在住院期间根据COVID-19的严重程度给予恰当剂量的LMWH抗凝。
新冠病毒感染后,到底会多少患者会并发血栓?我们还在思考和探索。最近我们的临床实践当中遇到了一系列的病例。
来自真实病例的思考与实践
病例1:活动性出血的挑战
男、85岁、发热,咳嗽,咳痰一周入院,2015年曾行前列腺癌根治术;2020年诊断溃疡性结肠炎,2022.10月曾于我科诊断急性肺栓塞,DVT,长期口服抗凝药物;高血压病史,血压控制可。
1周前发热,伴咳嗽,体温最高38.7℃,伴乏力、活动后气短、4天前新冠抗原阳性。
进行过一系列检查:1天前:血气(未吸氧):PO2 60mmHg,PCO2 27.7mmHg;胸部CT:双肺多发磨玻璃影;血常规:HGB:87g/L,RBC:3.49*10^12,CRP:107.52mg/L;IL-6:5.82pg/ml;D-D:1.25mg/L。心梗四项、肝肾功、自身抗体、易栓症标志物等无明显异常;下肢超声:未见明显血栓;腹部超声:脂肪肝;心脏超声:主动脉瓣硬化并反流(轻度)。
入院诊断
新冠病毒肺炎
肺栓塞
溃疡性结肠炎
消化道出血
前列腺癌根治术
高血压
因为这位患者过去有肺栓塞病史、高龄、有前列腺恶性肿瘤、溃疡性结肠炎;右心指标无明显异常,长期院外口服抗凝药无不适主诉,下肢超声示无DVT;有消化道活动性出血及大剂量激素应用。我们认为他肯定是有血栓高风险的,但同时也有出血风险,这时抗凝决策选择就非常慎重,进行了低分子量肝素 2000iu qn。
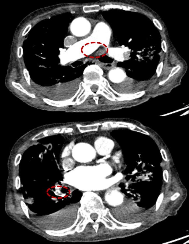
应用一段时间后,患者症状没有明显加重,但突然有一天,患者起床活动后突发晕厥,意识丧失数秒后自行恢复,这时我们再检测D-D,发现由1.25mg/L升至7.48mg/L;复查超声显示右侧小腿肌间静脉血栓形成;复查CTPA:左肺动脉较前新发血栓形成。

大家要重视到,这些血栓的形成对患者有很大影响,晕厥的发生可能就和血栓形成密切相关,这时我们是否加量低分子量肝素呢?如果不加量,血栓会继续加重怎么办?
考虑患者活动性出血,溃疡性结肠炎,高龄,激素治疗中:积极调整溃疡性结肠炎用药,同时申请输血2U(当时血红蛋白已经降到7克左右),当血红蛋白上升到8克以上时,把低分子量肝素改为2000iu q12h;在这个过程中发现出血没有增加,监测Hb等指标,患者症状逐渐稳定。出院后在院外延长抗凝。
我觉得这种治疗方案是非常具有挑战性的,我们建议针对部分出血高风险患者或已存在活动性出血患者,应尽快纠正出血风险后足量抗凝,住院期间/消化道出血/治疗剂量需频繁调整患者,低分子量肝素为首选抗凝治疗药物。
病例2:动态监测出血风险
患者:男、96岁、间断咳嗽咳痰1月余,加重伴胸闷憋气1天,高血压30年,房颤病史10余年,未注射新冠疫苗。吸烟30年。
2022年12月15日:咳嗽、痰中带血,伴腹泻,诊断「新冠肺炎、肺部感染」,在当地医院经抗生素、低分子量肝素、止咳化痰等治疗后好转出院。一个月后的2023年1月17日,患者无诱因出现胸闷,伴呼吸困难,就诊于我院急诊。当时,CRP:33.98mg/L↑;D-D:1.81mg/L↑;肌钙蛋白T 0.065ng/ml↑,NTproBNP:1899pg/ml↑。
我嘱咐急诊的主管医生要小心有没有血栓的问题,CTPA提示双肺多发斑片渗出影,双肺动脉及分支多发充盈缺损,双侧胸腔积液。但双下肢静脉超声未见血栓。

这位患者为什么会出现血栓?新冠感染已经一个月了,症状已经没有了,但仍然出现了血栓相关症状。
我们将患者从急诊收到普通病房后,管床医生特别慎重,因为患者年龄非常大,已经95岁了,如何用抗凝药物?抗凝为低分子量肝素 0.3ml q12h 皮下注射,但在监测肾功能时发现异常,于是低分子量肝素由0.3q12h减量至0.3qd。
后来患者肾功能恢复,出院治疗:延长抗凝。最近随访时患者状态很好。
COVID-19合并血栓:悬而未决的问题
最后建议大家再看一看我们的指南,指南对不同的临床情况做了仔细、全面的评估评价。其实还有很多问题需要解决,比如,到底哪一种风险评估模型更适合于中国人群?比如非抗凝干预措施(如疫苗、类固醇皮质激素、抗病毒疗法、抗细胞因子疗法、单克隆抗体疗法)对血栓形成风险有哪些影响?不同病毒变体对血栓形成风险的影响有哪些?这都是需要我们思考的话题。
另外,COVID-19急症、危重型患者血栓和出血风险评估模型还需要开发和验证,后续我们也需要在新冠合并血栓的流行病学、凝血功能探讨、发病机制以及预防干预方面做很多工作。
我们既然谈到长新冠的问题,新冠感染后,很多患者的血栓并不是发生在急性期,在新冠发生后的一个月、三个月、半年或者更长时间,有没有可能还存在血栓风险?很多专家和研究发现可能是有这种风险的,还需要开展一系列的研究来解答。希望各位专家多多指正。
参考文献
1. Abernethy K, et al. Thorax. 2020;75(9):812-814.
2. Jafari R, et al. Eur Heart J. 2020 Jun 7;41(22):2133.
3. Colling ME, et al. Circulation research 2021;128:2017-36.
4. Marchandot B,et al. J Thromb Thrombolysis. 2020 Jul 21;1-10.
5. Barnes G D, et al. J Thromb Thrombolysis, 2022, 54(2): 197-210.
6. Cuker A, et al. Blood Adv, 2022, 6(2): 664-671.
7. Cohen S L, et al. Thromb Haemost, 2021, 121(8): 1043-1053.
8. Nopp S, et al. Res Pract Thromb Haemost, 2020, 4(7): 1178-1191.
9. Thomas M R, et al. Blood, 2022, 140(3): 184-195.
10. Sholzberg M, et al. BMJ, 2021, 375: n2400.
11. Yamakawa K, et al. Acute Med Surg, 2022, 9(1): e789.
12. Moores L K, et al. Chest, 2022, 162(1): 213-225.
13. Cuker A, et al. Blood Adv, 2022, 6(17): 4915-4923.
14. White H, et al. Med J Aust, 2022, 217(7): 368-378.
15. Bikdeli B, et al. Thromb Haemost, 2022, 122(1): 131-141.
16. Perepu U S, et al. J Thromb Haemost, 2021, 19(9): 2225-2234.
17. Spyropoulos A C, et al. JAMA Intern Med, 2021, 181(12): 1612-1620.
18. Jackson E, et al. Obstet Gynecol, 2011, 117(3): 691-703.
19. Greer I A, et al. Blood, 2005, 106(2): 401-7.
20. Connors J M, et al. Blood, 2020, 135(23): 2033-2040.
21. Zwicker J I, et al. Blood Adv, 2020, 4(10): 2254-2260.
22. Cuker A, et al. Blood Adv, 2018, 2(22): 3360-3392.
23. Katsoularis I, et al. BMJ, 2022, 377: e069590.
本期直播嘉宾

翟振国
医学博士,主任医师,教授,博士生导师,博士后流动站导师;中日医院呼吸中心副主任、呼吸与危重症医学科(PCCM)副主任、呼吸实验研究部副主任、国家呼吸医学中心研究办公室主任、肺栓塞与肺血管病研究组负责人。中华医学会呼吸病学分会肺栓塞与肺血管病学组副组长;中国医师协会呼吸医师分会肺栓塞与肺血管病工作委员会主任委员;国际肺血管病研究院(PVRI)委员;美国胸科医师学会(ACCP)资深委员;国际VTE研究联盟(INVENT组织)中国区域负责人;主持国家重点研发计划精准医学专项, 建设全国肺栓塞与肺血管病临床研究网络;开展肺栓塞、肺动脉高压临床表型、自然病程与组学研究, 承担并推广全国肺栓塞和深静脉血栓形成防治能力建设项目;在ERJ、Chest 、Lancet regional health, American Heart Journal中华医学系列期刊等发表论文100余篇,主持制定《肺血栓栓塞症诊治与预防指南》等多部指南,主编、参编呼吸危重症与肺血管病领域专著10余部;获得国家科技进步二等奖1项、中华医学科技二等奖1项。
* 本次系列直播由中日医院呼吸与危重症医学科科主任助理王一民医生主持。
本文由《呼吸界》编辑 Jerry 整理,感谢翟振国教授的审阅修改!
本文完
责编:Jerry