·病例报道·
胰腺神经内分泌瘤致胃静脉曲张出血1例
Gastric variceal bleeding caused by pancreatic neuroendocrine tumor: a case report
王明辉 尚瑞莲 李文波 周玮 李群 李灵敏 刘晓峰
中国人民解放军联勤保障部队第九六○医院消化内科,济南 250031
通信作者:刘晓峰,Email:liuxf0531@163.com
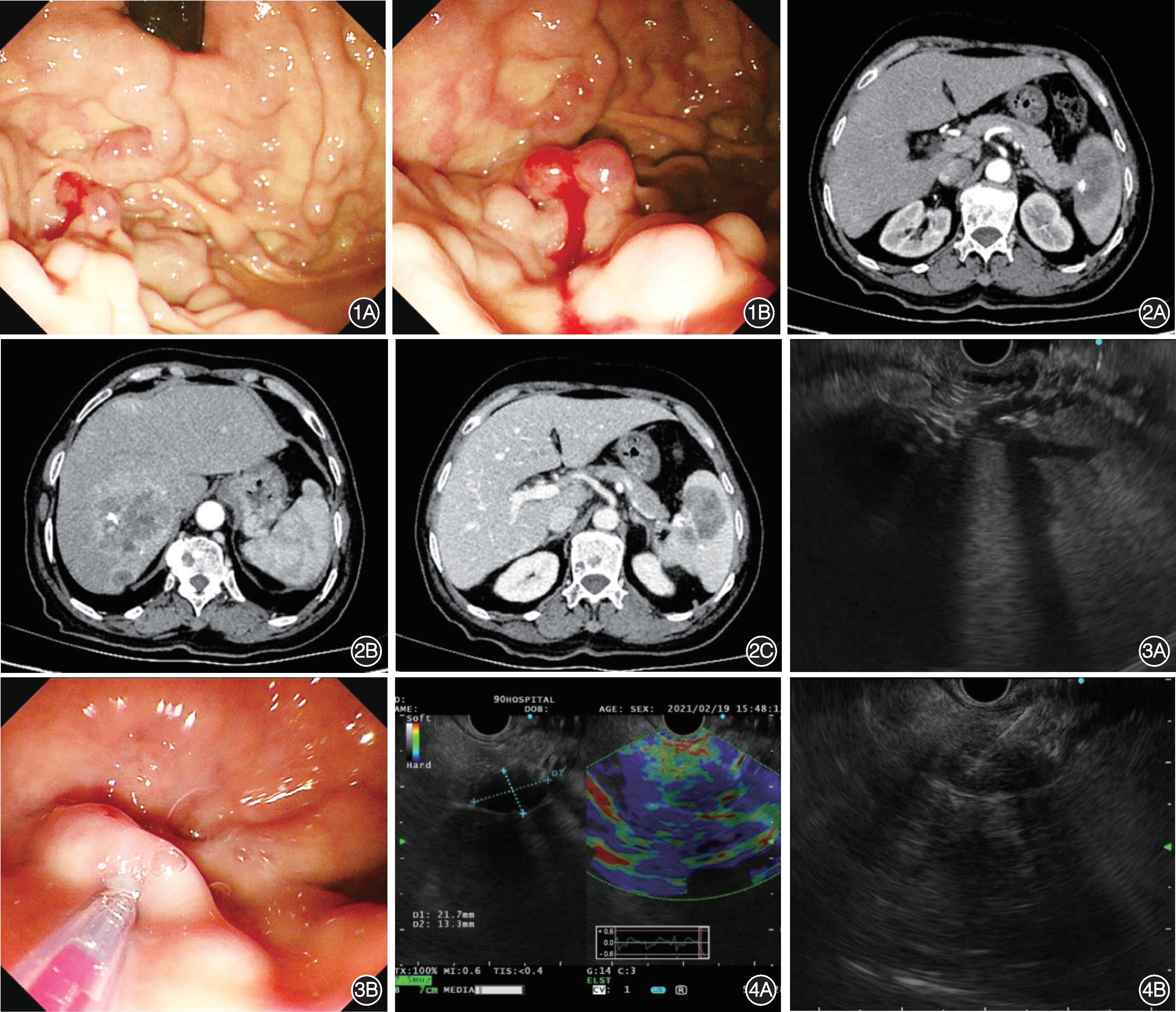
患者女,71岁,因“间断黑便伴腹痛1年,加重4 d”于2021-02-18入院。患者近1年间断性排成形黑便,伴间断性上腹痛,未进一步诊治。4天前患者再次排大量黑便(量不详),同时伴恶心、头晕、心慌、出冷汗,伴上腹痛、腰痛,无呕血。2021-02-18至我院就诊,行无痛胃镜检查示:胃底大弯见多条曲张静脉,延续至胃体中下部,最大直径0.5 cm,其中一条曲张静脉表面见小灶糜烂,表面新鲜血迹(Lg f‑b,D1.0,Rf2),未见食管静脉曲张(图1)。为进一步诊治收入我科。
既往有“高血压”病史。查体:腹平软,全腹无压痛及反跳痛,肝脾肋下未触及,移动性浊音阴性。入院后查血常规:白细胞 6.4×109/L,血红蛋白39 g/L,血小板99×109/L;凝血功能:凝血酶原时间13.3 s,凝血酶原活动度76%;肝功能:白蛋白28.1 g/L;葡萄糖 7.7 mmol/L;C反应蛋白50.3 mg/L;甲胎蛋白、癌胚抗原、糖类抗原199正常;传染病8项未见异常。腹部增强CT示:肝内多发占位(最大约7 cm×5 cm),脾脏周围、脾门及胰尾部占位,腹膜后肿大淋巴结,考虑胰腺尾部癌并多发转移瘤可能;胃底静脉曲张,脾静脉远端狭窄(图2)。
给予输血、补液、抑酸、降门静脉压力、补铁等治疗,患者病情稳定后,2021-02-19行超声内镜检查(endoscopic ultrasonography,EUS)示:胃底黏膜下见多处曲张静脉,可见穿通支静脉与黏膜下曲张静脉相延续,追踪检查见穿通支静脉来自脾门部脾静脉分支;于曲张静脉内以“三明治”法注射聚桂醇-组织胶-聚桂醇,共注射1个点位,共注射20 ml聚桂醇、1.5 ml组织胶,注射后血管变硬(图3)。
行胰腺EUS示:胰腺尾部探及一低回声占位,最大截面约21.7 mm×13.3 mm,病变与脾门分界不清,弹性成像显示质地硬,EUS引导下以22 G穿刺针穿刺病变,送组织病理学检查(图4)。病理示:送检少许胰腺组织,边缘见小灶形态较一致细胞,结合免疫组化染色结果,不排除神经内分泌肿瘤可能;免疫组化染色结果:CK(+)、Syn(+)、CK19(部分+)、β‑catenin(膜+)、S‑100(灶+)、P504s(弱+)、P16(-)、CEA(-)、CK7(-)、CgA(-)、SMAD4(-)、Ki‑67(约1%+)。术后继续给予静脉抑酸、预防感染、营养支持等治疗。经治疗后患者病情平稳,大便转黄。
2021-03-01行超声引导下经皮肝内包块穿刺活检,病理示:(肝脏穿刺标本)转移性神经内分泌瘤(G1);免疫组化染色结果:CgA(+)、CD56(+)、CK(+)、Syn(+)、P53(3%弱+)、EMA(-)、TTF‑1(-)、Villin(-)、Ki‑67(约1%+)。
最后证实该患者为胰腺神经内分泌瘤伴肝转移,导致胰源性门静脉高压、胃静脉曲张出血 。 患者自动出院并于院外接受中医中药治疗,未遵医嘱返院复查胃镜,随访1年一般状况良好,未再出血。

图1 胃镜检查 1A:胃底见多条曲张静脉,放射样弥散分布,延续至胃体中下部,最大直径0.5 cm;1B:其中一条曲张静脉表面见小灶糜烂,表面可见新鲜血迹 图2 CT检查 2A:胰腺尾部见不规则略低密度,与脾脏病变边界不清,主胰管略扩张,脾脏内见团块状低密度,其内见片状高密度,增强扫描呈不均匀强化;2B:肝实质内见多发大小不等类圆形低密度,其内见片状钙化,增强扫描动脉期呈环形强化;2C:脾静脉远端狭窄 图3 胃底静脉曲张超声内镜检查及治疗 3A:胃底黏膜下见多处曲张静脉,可见穿通支静脉与黏膜下曲张静脉相延续,追踪检查见穿通支静脉来自脾门部脾静脉分支;3B:组织胶注射治疗 图4 胰腺超声内镜检查及超声内镜引导细针穿刺活检术 4A:胰腺尾部探及一低回声占位,最大截面约21.7 mm×13.3 mm,病变与脾门分界不清,弹性成像显示质地硬;4B:超声内镜引导下以22 G穿刺针穿刺病变
讨论
胰腺神经内分泌瘤(pancreatic neuroendocrine tumors,pNETs)是来源于胰腺内分泌部的一类罕见肿瘤,约占所有胰腺恶性肿瘤的1%~2%。其临床表现缺乏特异性,根据是否出现相应内分泌症状分为功能性pNETs、无功能性pNETs。由于无功能性pNETs缺乏典型的内分泌症状,早期难以发现,常在出现肿瘤生长引起的占位症状时才就诊。大部分pNETs具有恶性生物学行为,超过60%的患者在诊断时已经出现远处转移。因此,早期发现病变并明确其性质对治疗和预后都具有重要的临床意义。
EUS及超声内镜引导细针穿刺活检术(EUS‑guided fine needle aspiration,EUS‑FNA)获取组织病理学和细胞学诊断在本例pNETs的诊疗过程中起重要作用。pNETs通常体积较小,CT、MRI等影像学检查检出率较低,而EUS对长径≤2 cm的病变十分敏感,甚至可发现长径<0.5 cm的微小病变。Kann对pNETs定位诊断检查方法的敏感度进行了分析,结果显示EUS的敏感度为80%,MRI为66%,CT为63%,血管造影为52%。此外,EUS‑FNA与经CT或PET‑CT引导下穿刺获取胰腺肿瘤病变组织相比,穿刺路径更短,种植转移风险更低。因此,EUS‑FNA是判断胰腺肿瘤性质和恶性程度的首选手段,对肿瘤治疗方式的选择和预后判断具有重要作用。
pNETs可以引起胃静脉曲张出血,但非常罕见,国内外鲜有报道。正常情况下,脾静脉通过胃短静脉、胃后静脉、胃网膜左静脉等属支汇集部分胃底和胃体的血液;当胰腺体尾部出现炎症或肿瘤时,脾静脉出现内膜损伤、血栓或癌栓形成、受压狭窄,脾静脉回流受阻,造成胰源性门静脉高压症(又称区域性门静脉高压症、左侧门静脉高压症),进而导致胃底和胃体静脉曲张。本例以上消化道出血为首发症状,内镜检查见胃底大弯多条曲张静脉伴活动性出血,延续至胃体中下部;腹部CT检查提示脾静脉远端狭窄,同时通过EUS观察胃底大弯出血曲张静脉的穿通支并连续追踪检查,显示穿通支来自脾门部脾静脉分支,推测为胃短静脉回流受阻所致,进一步证实该例pNETs所致胰源性门静脉高压并发胃底静脉曲张出血。胰源性门静脉高压所致的静脉曲张主要位于胃底、胃体大弯,内镜下治疗以注射组织胶和硬化剂为主。本例经过组织胶注射治疗,成功封堵出血静脉,随访1年未再出血,效果良好。
pNETs的治疗方案中,手术是使患者获得长期生存的最佳治疗方法。高分化神经内分泌瘤即使发生远处转移,患者生存期仍可较长,行根治性切除的患者总生存期多可达5~10年甚至更长。该患者为G1期pNETs伴肝脏多发转移,根据2020年中国胃肠胰神经内分泌肿瘤诊治专家共识,建议患者完善全身PET‑CT,组织多学科联合会诊,根据情况行化疗、手术治疗或介入治疗。但该患者自动出院并选择中医中药治疗,我们还需要继续密切随访。
DOI:10.3760/cma.j.cn321463-20220510-00212
收稿日期 2022-05-10 本文编辑 许文立 唐涌进
引用本文:王明辉, 尚瑞莲, 李文波, 等. 胰腺神经内分泌瘤致胃静脉曲张出血1例[J]. 中华消化内镜杂志, 2023, 40(1): 68-70. DOI: 10.3760/cma.j.cn321463-20220510-00212.