介入能治疗什么疾病呢?

DSA机器
一、
外周动脉狭窄或闭塞导致的器官缺血性症状,或者局部管腔扩张形成的动脉夹层/动脉瘤。病变部位包括锁骨下动脉、肠系膜上动脉、肝动脉、肾动脉、髂动脉、股动脉等。

↓举3个栗子 ↓
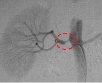
01
发现左侧上肢血压较右侧低伴活动性头晕2年,超声提示左侧锁骨下动脉狭窄伴随椎动脉反向血流。造影提示左侧锁骨下动脉完全闭塞:

治疗前
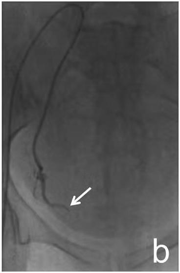
介入治疗后,血流顺利通过原闭塞段,左侧上肢血压恢复正常,头晕症状消失。

治疗后
02
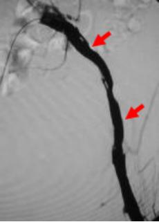
下肢动脉硬化闭塞症导致的右侧髂动脉闭塞,行走后右腿乏力,足部凉伴有疼痛破溃。造影提示右侧髂动脉重度狭窄,血流通过受限。

治疗前
介入治疗后,狭窄消失,血流通过顺利,下肢疼痛症状消失。

治疗后
03
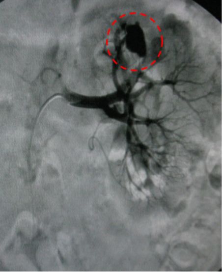
发现血压升高5年,两种降压药物不能控制。造影发现右侧肾动脉重度狭窄。

治疗前
介入治疗后肾动脉狭窄消失,血压恢复正常。

治疗后
二
急性动脉出血性疾病在临床中常见且发病凶险,内科药物止血往往效果欠佳。主要病因包括:创伤、消化道溃疡性疾病、产后出血、血尿、支气管扩张、结核和肿瘤、外伤等。微创的介入诊疗方法可以快速查找出血点并注入栓塞剂进行止血。该疗法损伤小、疗效确切、术后并发症少,整体治疗费用少。

↓举几个栗子 ↓
01
急性大量鲜血便,造影发现肠系膜上动脉分支出血。

治疗前
介入栓塞后出血停止。

治疗后
02
左肾取石术后血尿,造影发现左肾动脉分支出血。

治疗前
介入栓塞后出血停止,血尿消失。

治疗后
03
诊断支气管扩张30年,咯血两周。造影发现左右侧支气管动脉迂曲扩张。

治疗前
介入栓塞后,支气管动脉不再向肺内供血,咯血停止。

治疗后
04
产后2小时大出血,造影发现子宫内可见出血点,由子宫动脉供血。

治疗前
介入栓塞后子宫动脉后,出血停止。

治疗后
三
下肢深静脉血栓及其导致的肺栓塞是严重威胁人类健康的疾病,通过置放下腔静脉滤器、导管接触性溶栓,有效的预防了肺栓塞的发生或再发,同时可解除血栓造成的血管阻塞。

↓举个栗子 ↓
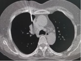
左侧下肢肿胀半月伴急性呼吸困难3天,CT和DSA造影检查发现肺内可见大块血栓,诊断为肺栓塞。

经植入下腔静脉滤器,肺动脉置管溶栓后,肺动脉内血栓消失。

再行左侧髂静脉造影,发现大量血栓形成。

治疗前
置管接触性溶栓后,血栓消失,下肢肿胀消失。

治疗后
四
肝硬化是由于慢性肝炎、大量饮酒等导致的肝脏损害性疾病,随着疾病的进展会引起门静脉高压。因此容易产生呕血、便血和大量的腹腔积液,严重的情况会危及生命。通过介入的方式于肝脏的门静脉和肝静脉之间植入支架,建立通道,使高压的门静脉的血流通过肝静脉流出入心脏,门静脉的压力将显著降低,用于消化道出血和难治性腹水的治疗。

↓举个栗子 ↓
介入治疗前食管胃底静脉曲张严重

治疗前
介入治疗后门静脉血液经支架流入心脏,门脉压力降低,食管胃底静脉曲张消失。

治疗后
五
介入诊疗技术在肿瘤的诊断及治疗中发挥着越来越重要的作用,它既可通过穿刺活检明确肿瘤病理类型甚至基因分型,又可运用经动脉栓塞治疗各类良恶性肿瘤,包括:原发性肝癌、肝血管瘤、子宫肌瘤。

↓举个栗子 ↓
肺内肿物性质不清,经皮穿刺活检可以明确病理性质。

穿刺活检中

取出的组织送检

↓再举个栗子 ↓
原发性肝癌依赖人体血液供应不断生长,介入治疗可以经肝动脉注入栓塞剂,阻断病变的血液供应,使肿瘤缺乏生长所需的营养,进而抑制肝癌的生长。


六
位于腹腔、盆腔的脓肿、囊肿可通过CT、超声、DSA引导方式进行穿刺引流治疗,囊肿在引流后还可经引流管进行硬化治疗。

↓举个栗子 ↓
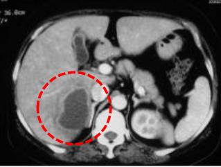
寒颤高热8天,CT检查发现肝内巨大脓肿

治疗前
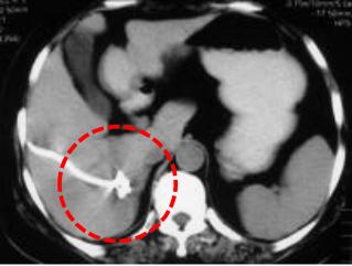
经介入引流后脓肿消失,体温恢复正常。

治疗后
看过了这么多的“ 栗子 ”,相信小伙伴们已经对我们介入治疗有了一定的认识,如您有相应的需求,请到有开展介入的医院就诊咨询。