我们看到的牙齿的颜色不仅是牙齿表面的颜色,还包括透过牙齿表面的牙釉质显现出来的牙本质的颜色。牙釉质的颜色是白色半透明的,牙本质的颜色偏淡黄色,所以健康的牙齿并不是白色的,而是有光泽的淡黄色!

如果你的牙齿只是正常的生理颜色发黄,不建议你使用过度的美白方法哦~
如果你确实觉得牙齿天生偏黄,那么洗牙也很难解决你的牙齿问题~
我们首先要了解一下洗牙的原理——
洗牙一般是用超声设备来进行的。它的原理其实很简单,就是用高频的震动来震落牙齿表面的牙结石。震动的同时,还会喷出水来降温,避免局部温度过高。

我们的牙齿表面存在多种细菌,它们无时无刻都在分泌许多黏性物质,而日常饮食如喝茶、饮咖啡、吸烟等都会在我们的牙齿上留下色素,这些色素吸附在细菌分泌的黏性物质上,逐步使牙齿表面变黄或发黑。针对这些问题,洗牙可以把沉积在牙齿表面的牙渍清除掉。
洗牙会让牙齿“看上去变白了”,其实只是通过去除牙齿上的软垢、牙结石和色素,还原牙齿本来的颜色,而非使牙齿本身呈现亮白。洗牙更多的是强调对口腔健康的维护,而并非美白功能。
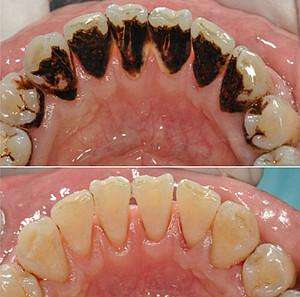
正好前几天朋友洗牙,用超声洁牙+喷砂,将牙结石和烟渍几乎都清除掉了,给大家看看实际效果图 ↓

综上所述,通过洗牙解决的“黄牙”,不是牙齿本身发黄,是不注意口腔卫生造成的。
那么天生牙黄怎么办呢?冷光美白和牙贴面这两种方式应该更适合你哦——
1:冷光美白
冷光美白,是其中较为主流的一款美白方式。优点是短期内不磨牙齿,就可以获得明显的美白效果。
原理:主要是通过过氧化物,与牙齿上沉积的色素,缓慢发生氧化还原反应,并通过多次使用,在较短周期内,达到可见的牙齿美白效果。
牙齿损伤程度:会有一段时间的敏感期。过氧化物在漂白牙齿时,会对牙齿有不同程度的刺激性,但随着材料学的发展和漂白技术的提高,此种不良反应也得到了一定程度的改善。
小贴士:此种美白效果具有时效性,并非持久性美白。建议你前往正规口腔医院进行,以免操作不当,对牙齿造成不可逆性损伤。美白结束后,会存在一周左右的敏感期,且美白效果不持久,大概三年后会反弹。氟斑牙,或牙齿严重脱矿人群不适用
2:树脂贴面、全瓷贴面、全瓷冠等
原理:一般情况下,需要磨除一定量的牙体组织,为修复体预备出空间。程度严重的患者可选择全瓷冠等。
牙齿损伤程度:要磨除部分原本的牙体,磨除的预备量因人而异。
小贴士:此种美白效果较为持久,但一定要遵医嘱。不能用修复后的前牙啃咬硬物,以免修复体破损。此外,修复体的使用期限,也依赖于其下方天然牙的稳固。
严重到已经无法用冷光美白解决问题的情况下,再考虑此类方法吧~虽然是最长期有效的美白方式,但需要磨除一定量的牙齿,价格也相对较贵,对医生的临床操作水平要求较高。
牙齿美白,切记健康最重要!
如果你真的想改变牙齿的美观状态,还是建议前往正规医院或牙科诊所,咨询医生后,选择适合自己的方案。