引言:
二尖瓣和三尖瓣的先天性畸形在犬猫上面都有报道。瓣膜的畸形会导致一系列的血流动力学后果,包括瓣膜反流、二尖瓣或三尖瓣狭窄以及动态性左室流出道阻塞。二尖瓣复合体的先天畸形(二尖瓣发育不良)是猫常见的先天性心脏缺陷。除此之外,一些犬种也易发,包括牛头梗、德国牧羊犬以及大丹犬。有迹象表明拉布拉多犬的三尖瓣发育不良与基因有关。
病例介绍:
动物信息:妮子,3.5岁,母,加菲,已绝育。
既往病史:2019年11月份范过一次心衰。
2020年3月份又范过一次心衰。
近况:近一年多未范过,平时有运动不耐受、腹式呼吸过深的情况。听诊:心率104次/分,连续性心杂音。

非原病例猫咪
实验室检查:
AST:51 U/L (0~48),其它指标一切正常。
影像学检查:


X光检查:右侧位与腹背位显示,肺门处影像学密度上升,心影整体偏大。
超声检查:


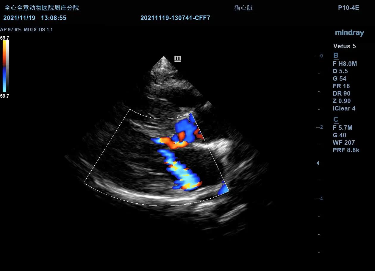
右侧左室流出道观:
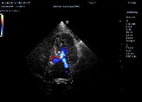
左室不均匀性增厚,心尖最为明显。可见乳头肌增大异常,腱索连接异常,室间隔基部异常向左心室内增大,导致左室流出道前窄后宽。左心房主观增大。color模式下收缩期可见左室流出道以红色为主的花色血流信号,左房可见蓝色为主的花色血流信号。

右侧短轴腱索观(2D):
可见乳头肌、肉柱、腱索异常增大。


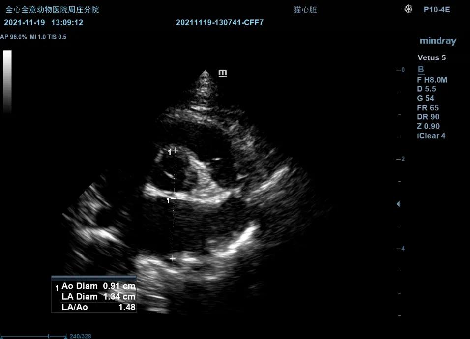
LA/AO:
右侧左室流出道观比:1.87(<2.5为正常)
右侧短轴观:1.48(<1.6为正常)

右侧短轴二尖瓣观(M型):
EPSS:0.11cm
E-F Slope:4.23cm/s
C点至D点二尖瓣运动轨迹异常。

右侧短轴检索观(M型):
测量数据一切正常。


左侧心尖四腔(color):
可见收缩期二间瓣反流信号。
MR Vmax:4.07m/s




左侧测量瓣膜口流速正常。
综合诊断:
二尖瓣发育不良,因瓣膜、检索、乳头肌的发育异常而导致动物机体活动不耐受。
治疗:
静养(后期存活时间的关键)
定期复查
营养心脏(Q10)
分析与讨论:
解刨:
二尖瓣发育不良多数会导致瓣膜关闭不全和收缩期血液反流进入左心房。
二尖瓣复合体的任何一部分(瓣叶、腱索、乳头肌)都可能畸形。通常情况下不止一个组成部分存在缺陷。有许多瓣膜畸形形式的报道:瓣叶增厚;瓣膜组织不能从室壁完全分离;腱索过短、过长、增厚以及融合;乳头肌异位或畸形等。
病理生理:

二尖瓣发育不良的病理生理同慢性退行性瓣膜疾病形成过程是一样的,二尖瓣反流导致左心室容量过载,造成左心室和左心房的扩张。当二尖瓣反流严重时,易引起心力衰竭症状。
对于三尖瓣发育不良病例,如果反流严重,则会因容量过载导致心房和心室增大,随后可能会发生系统性静脉高压和右侧CHF。
病史和临床症状:
临床症状和缺失的严重程度有关。二尖瓣发育不良的动物通常会表现出左心衰竭的症状,包括虚弱、咳嗽以及运动不耐受。三尖瓣发育不良的动物会表现出右心衰竭的症状,如腹围增大,并伴有腹水。
体格检查:
触诊:患病动物的左心尖部(二尖瓣)或右心尖部(三尖瓣)可能会出现心前区震颤。
听诊:二尖瓣反流引起的全收缩期杂音可以在左心尖部最清晰的听诊到。
诊断检查:
心电图:二尖瓣发育不良常见房性心律失常(心房期前收缩,房颤)。可能出现左心房增大(P波变宽)和左心室增大的表现。三尖瓣发育不良的犬猫常见QRS综合波分裂的现象。也可能出现右心增大的表现。
胸腔X光:二尖瓣发育不良最显著的异常是严重的左心房增大。左心室增大同样也会出现。肺静脉有可能扭曲,可能出现左侧CHF的症状。
超声心动:超声心动可以发现二尖瓣复合体的畸形以及左心房和左心室扩张。多普勒超市心动可以发现严重的二尖瓣反流。三尖瓣发育不良的超声心动表现与二尖瓣发育不良的表现一样,只不过仅局限于右心。
治疗和预后
已表现出临床症状的严重瓣膜发育不良的动物,预后很差。程度轻微的患病动物可以多年不表现临床症状。瓣膜发育不良的治疗与慢性退行性瓣膜疾病类似。