因为有人问痛风和拇外翻(大脚骨)有哪些区别,大家看看,应该算是很清晰的作答了,答主从2004年起开始专门做拇外翻手术,其中也遇到过许多的痛风患者,这里从几个方面来讲讲痛风和拇外翻两者之间的区别。
首先说说说痛风和拇外翻的相同点:疼痛,拇外翻和痛风都有可能出现第一跖趾关节的疼痛;凸起,拇外翻和痛风都可能出现第一跖趾关节的凸起。大致就在两个共同点,以至于部分人无法区别自己到底的拇外翻还是痛风。

拇外翻-已拇趾向外侧偏斜,伴有局部凸起
接下来我来说说拇外翻的不同,其实拇外翻和痛风还是很容易鉴别诊断,两者的区别还是挺大的。

拇外翻X光:第一跖骨向内侧偏斜,第一趾骨向外侧偏斜,两者形成犄角
第一:性别。拇外翻多见于女性,而痛风多见于男性,那么男性朋友如何鉴别自己到底是痛风还是拇外翻呢?
第二:疼痛。拇外翻的疼痛多较轻微,一般是在持续运动或者穿紧致的鞋子后疼痛会稍明显(拇外翻的疼痛程度的拇外翻的轻重程度不成比例),其疼痛多在改善穿宽松鞋子等之后缓解;痛风的疼痛多剧烈,痛风的疼痛多因为吃海鲜、啤酒等高嘌呤食物之后诱发,其疼痛的同时多伴有发热等全身症状。

痛风-第一跖趾关节周围凸起,拇趾不太偏斜
第三:凸起。拇外翻的凸起是因为里面的第一跖骨向内侧偏斜,与第一趾骨向外侧偏斜而组成的犄角,除外凸起,主要还有大拇趾向外侧的偏斜;痛风的凸起是因为痛风石在局部堆积造成的,除外侵犯第一跖趾关节附近外,还有在全身各处沉积,多处出现痛风石结节。

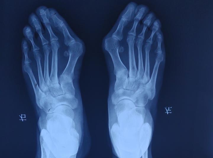
痛风X光,侵蚀第一跖趾关节及骨头
除外上述症状 ,还有一些实验室等检查,能够有效诊断拇外翻和痛风。X光能有效确诊拇外翻,通过X光能够清晰的看到拇外翻偏斜的角度,第一二跖骨间角度,关节间隙等;X光也能看到痛风石的堆积情况,痛风石会侵蚀骨头,出现在第一跖趾关节周围的痛风石堆积,对第一跖骨头的侵蚀情况也清晰可见。

痛风凸起,多伴有偶尔剧烈疼痛
痛风通过血液检查,可以看到起嘌呤代谢异常的情况:其尿酸浓度明显增高,这是痛风其典型的症状。
痛风和拇外翻属于不同系统的疾病,治疗方案也不同。痛风属于内分泌系统的原因,需要看风湿免疫科,其治疗主要控制饮食,调节嘌呤代谢为根本。拇外翻属于骨科疾病,手术矫正第一跖骨偏斜是治疗的有效措施。
痛风石的堆积亦可通过外科手术切除,但是取出痛风石只是治标,治本还是需要控制嘌呤的代谢,但是手术取出局部的痛风石也有积极意义。
好了,关于拇外翻和痛风的相关问题,今天就回答到这里,我想应该是比较全面了,如果还有关于痛风和拇外翻的相关问题,可以继续追问,不过关于痛风的治疗,我不擅长,我只擅长治疗拇外翻,记得给我点赞。