ec诊断 (e类临床诊断公式)

【病史临床】女,61岁,咳嗽咳痰十余年,反复出现心悸、气促9年,加重两个月。

【影像图片】

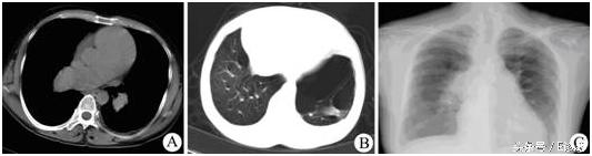
ec诊断,ecu诊断 胸部CT平扫纵隔窗(图A)、肺窗(图B);胸部正位平片(图C)

【影像表现】 胸部CT平扫纵隔窗(图A)可见肺动脉主干及左右肺动脉主支明显增粗,肺窗(图B)示胸廓前后径增大,双肺透光度增加,肺纹理牵拉稀疏,并可见左下肺肺大泡形成。胸部正位X平片(图C)可见肺动脉段突出,右下肺动脉干明显增粗直径大于14 mm,周围肺野肺纹理稍稀疏,形成“残根征”。左心缘下段圆隆上翘。

【诊断】 慢性肺源性心脏病(根据患者多年慢支肺气肿的病史结合和CT片可确诊)

【鉴别诊断】 1.高血压性心脏病;2.风湿性心脏病;3.肺源性心脏病

【讨论】慢性肺源性心脏病(Cor Pulmonale)多数是发生在慢性支气管炎或肺气肿的基础上引起肺循环阻力增高,肺动脉高压, 导致右心肥大, 伴有或不伴有心力衰竭。病程一般在10年以上,早期多表现为咳嗽、咳痰、气喘等肺部疾病的症状与体征, 晚期则出现循环与呼吸衰竭的征象。肺气肿表现为桶状胸, 心尖搏动减弱。叩诊呈过清音, 肺下界下移等体征。右心衰竭时有颈静脉怒张, 心率增快, 剑突下可听到奔马律及来自房室瓣(三尖瓣) 关闭不全的收缩期杂音, 肺动脉第二音亢进。肝大、腹水、下肢水肿等。

影像诊断要点

X线表现:慢性支气管炎可见双肺纹理增多、增粗、边缘模糊,以双下肺明显。肺气肿表现为肋骨走行水平, 肋间隙增宽,双肺透光度增加, 肺纹理纤细稀疏,双侧膈肌下降, 活动幅度小。肺动脉高压表现为肺动脉段凸出,左右肺动脉及其分支扩张, 以右下肺动脉第1分支最为明显,表现为后前位胸片自肺门角向下约1 cm处, 右下肺动脉直径大于15 mm为扩张的阳性指征。周围肺野动脉骤然变细,形成“残根征”。右心室肥厚,表现为左心缘下段圆隆上翘,但因常合并肺气肿,故心胸比例不大。晚期可见右心缘向右凸。

CT或MRI: 胸部CT肺窗示肺纹理稀疏、紊乱,肺部密度降低,并可合并肺大泡,胸廓前后径增大。纵隔窗示肺动脉主干和左右肺动脉主支明显增粗,肺动脉主干直径大于30mm。增强扫描可见右心室壁增厚,大于左心室壁厚度的1/2。MRI SE序列T1WI可见主肺动脉内出现血流高信号提示有肺动脉高压,增强可见右心室壁厚度大于5mm,可等于或超过左心室壁厚度,室间隔向左心室侧凸出,右心房亦可扩大,腔静脉扩张,晚期,左心房室亦扩张CRE序列MRI可见三尖瓣(收缩期)和肺动脉瓣(舒张期)的返流,同时可直观地反映右心室收缩和舒张的功能。

对于该病,X线平片、CT、MRI等影像表现是非特异的,必须结合病史及心肺功能的试验室检查方可确诊。