对孩子换牙,家长都认为是件重要的事情,担心的事情也很多。
“原来的乳牙洁白美丽。更换后,它们怎么改变了?”
“有些人说您可以等到12岁再戴牙套,而有些人则说要立即戴上牙套,我该怎么办?”
“牙齿没有更换完,它们已经提前得到纠正,如果将来还是不齐,这笔钱不就浪费了吗?”
今天,我们要讨论的是如果在替牙期孩子的牙齿不整齐该怎么办。
关于替牙期
替牙期一般从6岁持续到12岁(不同孩子存在较大差异,前后相差两年都是正常的),这个时期,孩子的20颗乳牙要和对应的恒牙完成“交接班”。
但是,一些因素会影响交接交的顺利进行,例如根尖发炎,乳牙龋齿,乳牙过早脱落,乳牙滞留,恒牙胚发育异常等。相应地,儿童可能有牙齿不齐、牙齿之间的缝隙大、龅牙、地包天、深咬合、露龈笑、咬合偏斜、小下巴等表现。
所以,我们也会把孩子的替牙期叫做“丑小鸭期”,我们关心的正是如何帮助孩子顺利地由“丑小鸭”变身“白天鹅”。
孩子的牙齿,需要早期干预吗?
孩子是否需要等到12岁才能矫正牙齿,有必要确认牙齿的咬合和发育是否正常,是否有龋齿,根尖发炎,不良的口腔习惯等。更换期非常重要,并且父母不能只是看着变化。
我们列出了一些需要早期干预的牙齿问题,但是替牙期儿童的牙齿状况非常复杂,并且父母通常难以区分,需要交给专业医生进行判断。
需要早期干预的情况
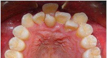
▍ 异常1:双排牙(乳牙滞留)
第一种情况是双排牙齿。简而言之,恒牙已经出来接管了,但是乳牙却没有按时掉落。专业术语是“乳牙滞留”。

孩子牙齿不齐,要等换牙后再矫治吗?#雅悦齿科#
简单的乳牙滞留,如下图所示,只需要拔出乳牙并观察恒牙的调整即可。右下方的情况非常严重。下排的恒牙太高,影响整个咬合结构和牙龈健康。两个上切牙的萌出位置也不利于将来的牙周健康,需要及时干预。
▍ 异常2:牙不萌
第二种状况是牙齿迟迟不长出来。一般来说,对侧同名牙萌出滞后半年以上的,需要拍片检查,明确病因,制定相应治疗方案。
▍ 异常3:异位萌出

孩子牙齿不齐,要等换牙后再矫治吗?#雅悦齿科#
第三种情况是牙齿在不属于自己的位置萌出,我们叫做异位萌出。这种情况,医生需要评估该牙齿的位置对相邻牙齿、牙列还有牙槽骨发育有没有影响,如果有影响就需要及时干预。
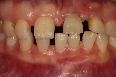
▍ 异常4:间隙过大

孩子牙齿不齐,要等换牙后再矫治吗?#雅悦齿科#
第四种情况是间隙太大。 一般来说,将两个前齿之间的缝隙缩小是正常的。但是对于大于2mm的间隙,我们需要消除系带和多生牙的问题。如下图所示,箭头所指的第二颗牙齿的位置明显被过大的间隙挤压,萌出位置非常小,这种情况还需要及早干预。
▍ 异常5:牙列拥挤

孩子牙齿不齐,要等换牙后再矫治吗?#雅悦齿科#
预计换牙后严重拥挤的病例,在替牙期提前干预有很多优点,包括减少二期治疗难度、缩短治疗时间及提高治疗效果,这对需要上学的小朋友来说有效的节约了时间成本。
*序列拔牙需慎重,需正畸专科医生评估所有检查结果后才可考虑
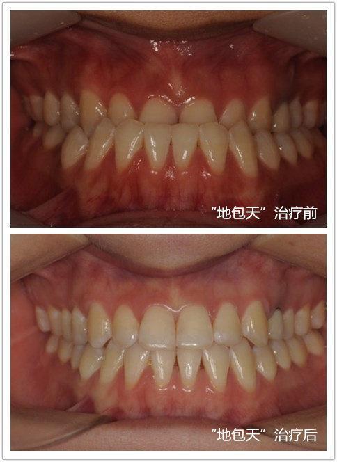
▍ 异常6:地包天

孩子牙齿不齐,要等换牙后再矫治吗?#雅悦齿科#
第六种情况是“地包天”,即下牙长到上牙面牙齿的外面,“地包天”会影响牙周健康。咬合关系不良会导致牙齿咬合损伤,随着时间的流逝,牙齿周围的骨头将被吸收,我们将看到的冠状部分变得更长。 地包天需要早期干预,并且成年后严重需要手术来调整颌骨的位置。
第七个状况是牙齿开。开指上下牙齿上下牙齿之间没有咬合接触,这会影响咀嚼功能和美观。 处方的发生显然与不良的习惯有关,例如错误的喂养方式,吮吸手指,吐舌和吞咽。
▍ 异常8:深咬合(深覆、深覆盖)

孩子牙齿不齐,要等换牙后再矫治吗?#雅悦齿科#
第八种情况是深咬合,深咬合的危害包括:上腭软组织创伤、增加牙外伤风险、限制下颌的位置,影响关节发育等。
▍ 异常9:口呼吸

孩子牙齿不齐,要等换牙后再矫治吗?#雅悦齿科#
第九种情况是口呼吸。口呼吸会破坏牙列的发育环境,使上牙显得狭窄,突出,下颌缩回。 流行的理解是,少齿加小下巴。
上面的情况说明是为了方便父母尽快判断和尽早看医生,替牙期牙齿非常复杂,是否需要及早矫正,需要将其交给专业牙医进行具体分析。美国牙科协会建议儿童在7岁之前第一次去看牙齿矫正医生。在更换牙齿的过程中,有必要监视和处理问题。通常,建议每年一次,对于某些需要仔细观察的情况,医生可能建议每三个月或半年看一次医生。
如果觉得这篇文章不错,就请收藏或分享给好友吧。添加雅悦齿科为好友,学习更多爱牙护齿科学方法。公众号:yyck2001