随着现代医学技术的不断发展,许多过去“无解”的疾病已经研究出有效的治疗途径,带给患者更多健康的希望。癌症也是如此,随着药物和器械治疗手段不断更新,患者的预期寿命也越来越长。
但是,恶性肿瘤依然属于难以治愈的范畴, 在日常生活中远离致癌的因素 也就显得尤为重要。

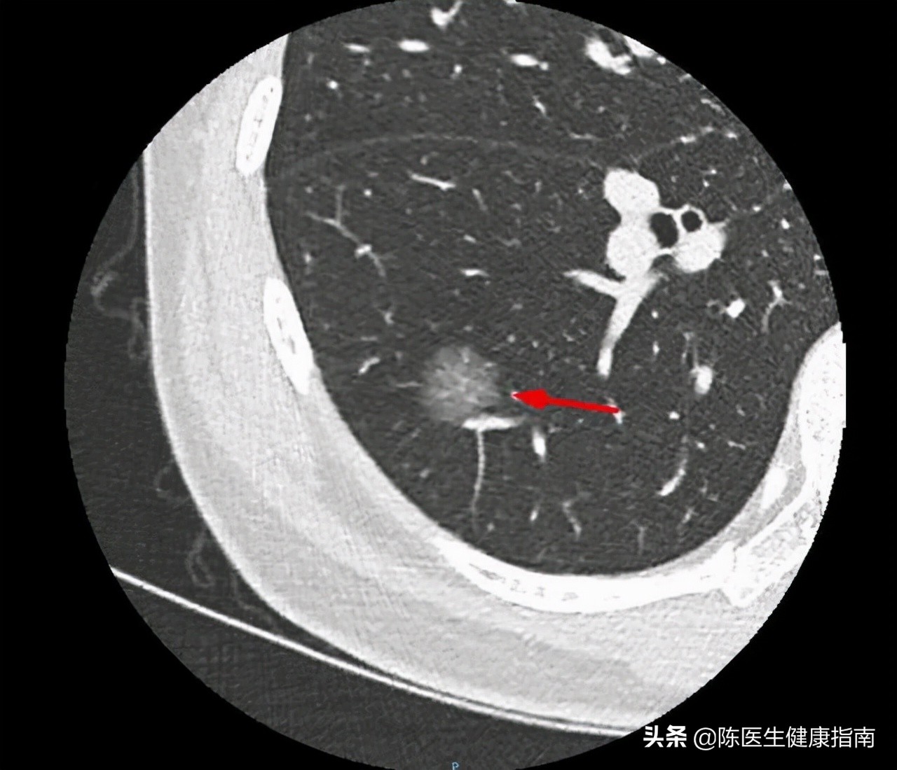
今年65岁的朱先生,自身患有高血压和冠心病,因为突发的左胸痛进入医院急诊,检查结果却 排除了心肌梗死 。
朱先生跟医生讲述症状时,也说之前没有剧烈运动或劳累的状况,只觉得呼吸困难,吸气时的疼痛尤其严重。
又经过一系列的住院检查,朱先生被确诊为胸膜恶性间皮瘤,在确诊时,医生向他询问 过去十年间,是否接触过大量的石棉。

一、石棉为什么能致癌
石棉是一种常见的工业矿产,是一种有丝绢一样光泽的弹性纤维,主要成分是硅酸盐,呈绿色或白色。
从视觉上,石棉像棉花一样细密柔软,但实际上很锋利,非常容易刺入到人体组织中,有些人为了容易理解,将石棉解释为 “玻璃丝” 。
如果不慎将石棉沾到皮肤上,会在一段时间后出现刺痒、红肿、不能触碰,要在几天之后才能脱皮,使皮肤恢复正常的触觉。

这是伤害发生在外部皮肤的症状,但如果石棉纤维入侵的是人体内部的粘膜,比如消化道或呼吸道粘膜,就没有了正常的排出途径。
比如石棉进入食管,会因食物的挤压嵌入到食管壁,或者进入胃部、肠道,随着器官的蠕动挤压刺入消化道,细小的伤口导致患者的消化道疾病更易发作,出现小范围的炎症、溃疡。一段时间后,机体为了自我保护,用一层层的蛋白纤维将石棉丝一层层包裹起来,一部分随消化道排出体外,另一部分则永远留在体内,成为深埋在体内的 纤维瘤 。
当石棉通过呼吸进入肺部,主气管中的石棉能通过“咳痰”排出一部分,但还有一部分纤维会随着气流运动刺入肺泡、胸膜 ,只进不出,长期产生刺激 。

锐利的石棉纤维进入肺间质,激活人体的免疫系统,引起巨噬细胞聚集,即表现为肺间质炎症;机体同样会产生蛋白纤维,层层包裹石棉粉尘,以避免新伤口的产生。这些机体因“自我保护”而产生的反应,引起 肺部广泛的纤维化 ,严重者影响肺泡的气体交换功能,产生胸腔积液,患者出现 发热、呼吸困难、胸背疼痛等症状 。
石棉致癌的潜伏期通常在十年以上,经过长时间的积累,胸膜、腹膜因为长期纤维化而变厚,细胞也因为不断的损伤和修复,积累了足够的癌变倾向,最终发展为弥漫性胸膜恶性间皮瘤。
也有医学研究表明,石棉本身含有的多环芳烃,也是一种像甲醛、甲苯一样致癌的化学物质,导致肺部细胞发生癌变。
二、你用过的这些物品,都可能含有石棉

朱先生只是普通的职员,并没有从事接触石棉的工作,那么,他是在什么时候埋下了癌变的隐患呢?
其实,石棉广泛存在于我们的生活中,是一种很常见的工业原料,有许多途径让人在不经意间发生接触。
在建筑装修领域,平房屋顶的石棉瓦、墙壁隔音绝热层、以及过去常见的瓦楞水泥板,都存于我们身边。尤其是在十几年前的老旧建筑中,应用了大量的石棉材料。
但是, 石棉在静止状态、尤其是有水泥浇灌的情况下,对人体是无害的 ,并不用担心它有“挥发”的毒性, 只有在建筑破损、倒塌时,石棉板材断裂,细小的纤维暴露于空气中,才有可能被人吸入 。

根据朱先生的回想,他居住的小区附近有一个建筑工地,是一栋老楼的*迁拆**工程,建筑垃圾堆放在路边,他每天都要路过,因为工期拖延,这些垃圾堆放在场地中有三年时间,且正好位于朱先生家中通风的上风口。
现在回想,正是那些 建筑垃圾中的石棉,成了引发自身癌症的元凶 。
石棉还运用于汽车零部件的制作。某些汽车的 刹车片,发动机排气口的消音器 ,都使用了石棉为原料。除了在制造厂工作的工人,汽车的每一次刹车、发动机排气口的每一次震颤,都会释放出微量的石棉粉尘,体质弱、免疫力低下的人群有一定几率因此患上肺间质瘤。
很多朋友在 家用的旧电器 中也见过石棉材质的保温层,比如老式的电饭锅、冰箱、电烤箱,拆除最外层的金属外壳,就是被一层一公分厚的石棉纤维包裹的箱体,如果自行拆开,就有接触的危险。现在家用电器中已经不允许使用石棉,避免了这一途径的接触。

早在上世纪,澳大利亚、加拿大等国家已经全面禁止石棉的使用,我国的石棉制品也在逐步加强限制,今后我们接触的危险会越来越小。
三、怎样规避石棉危害
肺间质瘤在早年间也被称为“矽肺病”、“石棉肺”,至今没有特别有效的治疗手段,需要在生活中注意预防。
1. 石棉相关的从业人员 , 需要使用全套防护服。

从事石棉开采加工,以及拆除老楼的人员,需要佩戴包含护目镜、防尘口罩、隔离防护服在内的全套劳保用品,这不仅是为了防止粉尘吸入肺部,还要防止粉尘落在衣物上。
对一些人来说,只有微量的石棉纤维也是致命的,许多工人在回家后,衣物上的粉尘游离在封闭的家居环境中,对家中的亲人也造成损伤。

2. 使用简易净水器,过滤饮用水。
许多老楼的供水系统总管道使用的是石棉水泥管,如果出现破损,石棉纤维就会进入自来水,被居民饮用。
净水器中最初级的PP棉滤芯,就可以有效地过滤自来水中的颗粒物质,其中也包括石棉,避免石棉纤维进入消化系统。
3. 警惕内含石棉的建筑材料。
首先,在进行室内装修时避免选择含有石棉的板材和涂料,避免直接接触;其次,如果在老楼中居住,需要警惕破损楼板是否暴露出石棉内芯,如果有,则尽快使用水泥封闭;最后,在进*房行**屋拆除时,要尽量远离建筑工地和建筑垃圾的堆放处,避免吸入扬尘。

4. 避免在交通拥堵、空气污染严重的情况下长时间活动 ,老年人或免疫力低下的人群尤其应该注意。
这不仅是对肺间质瘤的预防,空气中的多种污染物都会对人体呼吸系统造成危害,引发诸如哮喘、肺炎等常见的呼吸道疾病,如果必须外出,建议佩戴防尘口罩。
结语: 石棉是世卫组织标明的一级致癌物,要在日常生活中做好防护,尽量避免与石棉粉尘的接触。同时做好身体状况的监测,即使排查,避免疾病不受控的发展。