病例介绍
患者,男,17岁,血液透析定期随访。
家族史不显著。
15个月龄时慢性腹泻。
接种疫苗后,肺炎球菌、破伤风、风疹和肝炎抗体检测不出。进一步的免疫学检查显示B细胞数量少,IgG低,但IgM水平正常。
6岁时在慢性腹泻治疗中发现肾脏受累(血清肌酐1.1mg/dl)。
5-12岁开始使用生长激素替代治疗,但患者仍然生长迟缓(最终身高133cm;SD 6.69)(图)。

10岁时,因胰腺炎住院3次。活检显示慢性胰腺炎伴淋巴浆细胞浸润。
11岁时进行肾活检,显示间质性肾炎。慢性肾病迅速发展为终末期肾病。
12岁时需要透析。在血液透析12个月后,接受肾移植。免疫*制剂抑**包括泼尼松龙、霉酚酸酯和他克莫司,移植后12个月,颈部淋巴结发生淋巴增生性疾病,停用他克莫司,8周内给药6个周期,西罗莫司联合泼尼松龙治疗后,B细胞仍无法检测到。
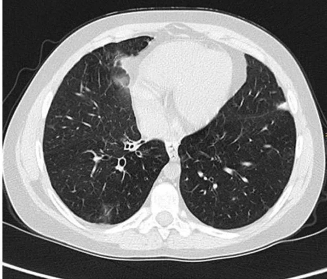
14岁时,经支气管肺活检发现闭塞性细支气管炎组织性肺炎,临床表现为慢性干咳和短促呼吸。组织病理学诊断为支气管腔组织肉芽组织,单核细胞间质浸润和泡沫状巨噬细胞。
胸部CT显示磨玻璃样不透明实变区域,肿胀,支气管扩张。

免疫抑制方案改为泼尼松龙、霉酚酸酯,由于担心闭塞性细支气管炎组织性肺炎可能是由西罗莫司引起的,在连续四次肾活检中不断出现间质细胞排斥反应,并且对所有免疫抑制药物均耐药。患者3年后恢复血液透析。
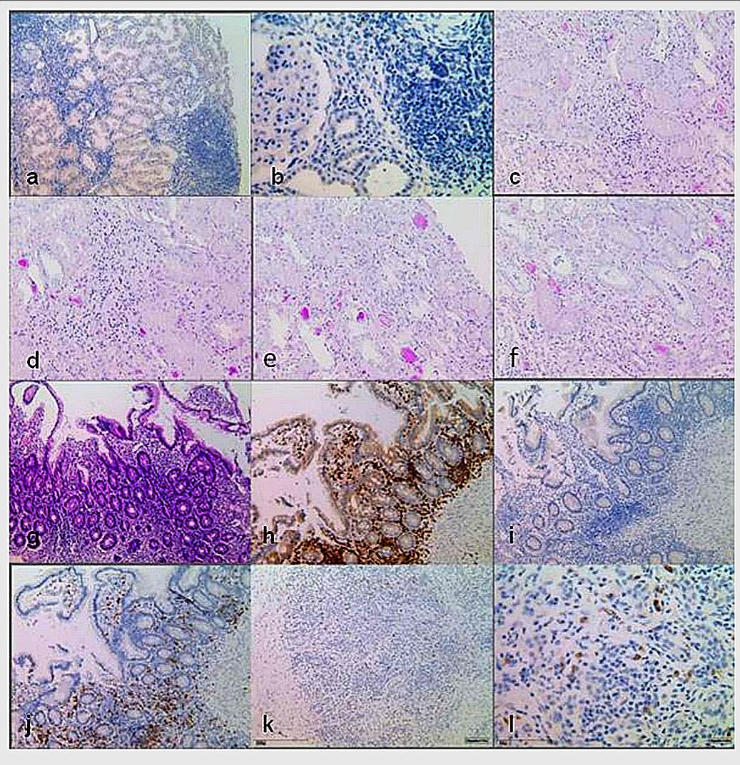
多个活检标本的组织病理学发现。在任何免疫抑制开始前进行的肾活检显示间质浸润淋巴组织细胞中,只有单个细胞CD80阳性。浸润与肾小管萎缩无关(×10)(a)和(×40)(b)。肾移植活检病理学所见(c–f)。免疫抑制下小肠活检定位型间质淋巴细胞以T细胞为主,部分为细胞毒性亚型(CD8阳性),而CD80阳性仅见于单个细胞[(g–j)×10]:(g)HE染色,(h)CD3-DAB染色,(i)CD80-DAB染色,(j)CD8-DAB染色。移植前胰腺活检CD80显示免疫抑制。

患者移植后3年因移植失败而恢复血液透析。最后,全基因组测序在LRBA基因中发现了纯合突变(p.Q1010 )。该患儿在最初症状出现的十余年后明确了基因诊断(图)。

病例述评
LRBA 基因是WDL-BEACH-WD(WBW)基因家族的成员。编码的蛋白质与蛋白激酶A 结合并介导活化细胞内囊泡的输运,其有助于免疫效应分子的分泌。该基因的缺陷与自身免疫性的疾病常见免疫缺陷相关。LRBA缺陷的临床表现复杂多样,主要包括低丙种球蛋白血症、自身免疫性疾病、慢性腹泻、呼吸道反复感染、终末性肾病等。在LRBA 基因相关的自身免疫性疾病中,如肾小管间质性肾炎和葡萄膜炎综合征、肠炎、类风湿性关节炎和血管炎小管间质性肾炎是脏器损害的典型形式。
静脉注射丙种球蛋白有助于减轻感染,阿巴西普靶向治疗和造血干细胞移植治疗是当前可选择的治疗方案。
32219082