生活中,不少人都曾遭遇过膝关节疼痛的困扰,尤其是中老年人。中老年人膝关节疼痛通常是膝关节炎导致的。广东三九脑科医院骨科主任柴亚胜介绍,膝关节炎是一种以退行性病理改变为基础的疾病,多见于中老年人,主要表现为膝盖红肿、疼痛,患者在上下楼梯、坐起直立时,膝盖酸痛不适尤其明显。
那是不是中老年人膝盖疼痛都是膝关节炎造成的呢?当然不是。
最近佛山一名50多岁的女子因膝关节疼痛就医,起初以为是膝关节炎,最终却被医生告知自己的膝关节是被“关节鼠”盯上了。关节里也能跑进老鼠?“关节鼠”到底是从哪里来的呢?
早在半年前,张阿姨就发现自己右边膝盖经常疼痛,随着时间的推移,膝盖的反复疼痛对张阿姨的日常活动和行走都造成了影响。起初以为是膝关节炎,在当地医院接受过保守治疗后,症状有所缓解,但很快又发作了。每次疼痛难忍时,她都只能到医院输液。病情反反复复,一直也没能找到病因。
近一周来,张阿姨右边膝关节越来越痛,而且可以明显看到膝盖越来越肿,走路、起立时,还能听到关节发出“咔咔”的弹响声。张阿姨开始担心自己不是普通关节炎。辗转多家医院都没能治好,最终在朋友的介绍下,她找到了广东三九脑科医院。
柴亚胜接诊时,张阿姨担心地问:“医生,我的膝盖里是不是长了肿瘤啊?”柴亚胜耐心地安抚了患者情绪,又为她做了详细的检查。

▲右膝肿胀明显
查体时,柴亚胜发现张阿姨的右边膝盖明显比左边膝盖肿胀,而且肿胀处的皮肤有发热的现象,按压时还有痛感,膝关节做伸屈动作也比较困难。

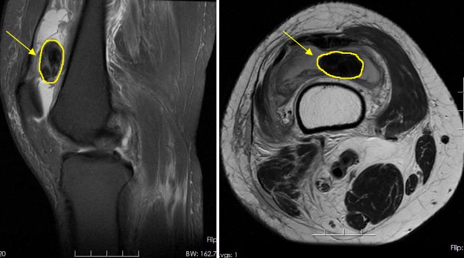
▲术前3.0核磁共振
为明确病因,柴亚胜为张阿姨安排了膝关节彩超及磁共振检查。膝关节平扫结果显示患者右膝周围软组织出现弥漫性异常信号;右膝关节髌骨上方有陈旧性积液和积血。
经过仔细研究分析后,柴亚胜认为患者右膝关节存在滑膜肿块、且有占位性病变,初步排除肿瘤的可能,考虑是“关节鼠”。

征求患者和家属同意后,柴亚胜团队为患者实施了“右膝关节软组织肿物切除+关节清理术”。

▲术中切除的肿物

▲术后病理
手术过程中,柴亚胜顺利摘除了张阿姨右膝里的肿物,手术非常成功。术后的病理检查结果显示是右膝关节滑膜附近的“关节鼠”,证实了柴亚胜术前的诊断。目前张阿姨右膝关节疼痛、肿胀等症状已经消失,走路、上下楼梯都没有问题了,很快就可以康复出院。

柴亚胜介绍,所谓的“关节鼠”又被称为“膝关节游离体”,是关节出现退行性改变或损伤后,从关节软骨或关节内脱落的组织碎片进入关节腔内,从而形成的游离体。这些游离体形态各异、生性“滑头滑脑”,会像老鼠一样在关节腔内窜来窜去,因此得名。
“关节鼠”患者起初会感到膝关节疼痛、肿胀,随着关节面软骨被破坏,患者慢慢可能会丧失行走能力。目前主要采取手术的方式摘除“关节鼠”。在疾病早期接受治疗,效果会比较显著;越往后,效果越差。因此,及早诊断、及时治疗非常关键。
柴亚胜提醒大家要加强膝盖保护,尤其是关节不好的中老年人,平时不要过于频繁地走楼梯,尽量避免膝盖关节负重;更不要过于密集地爬山、跑步等,可酌情选择慢跑、骑自行车和游泳等负荷较轻、有利于保护关节的运动。
专家简介

柴亚胜
广东三九脑科医院骨科主任医师、医学硕士
现任中华医学会湖南骨科专业委员会委员、长沙市手外科骨科专业委员会副主任委员、长沙市工伤鉴定专家库专家、下乡扶贫专家组成员及国家执业医师考试考官。
1996年毕业于湖南医科大学临床医学系。2007年毕业于中南大学湘雅医学院骨科学硕士。从事微创骨科及修复重建等临床诊治工作二十余年。擅长:运用微创技术治疗各种腰椎间盘突出症、腰椎管狭窄症、颈椎病;复杂性脊柱脊髓损伤的治疗;严重骨关节毁损伤运用显微外科技术修复重建;周围神经慢性损伤的微创治疗;小切口人工髋膝关节置换手术;对各种复杂性四肢骨折的矫形修复有一整套的手术康复治疗方案。
参与《单侧多功能外固定支架的临床推广》、《踝关节镜的临床应用》等科研项目,先后国家级核心期刊发表了十余篇专业论文,参与多项药物及医用器械的临床试验。