5月21日,王府医院超声科成功为一位巨大肝囊肿患者实施超声引导下肝囊肿穿刺硬化治疗术,手术在朱双利主任、赵春英医生及医生助理宋美静的协作配合下,过程顺利,术后检查囊肿消失。
患者李某,肝囊肿病史多年,近期因囊肿增长迅速来我院就诊,彩超复查超声提示肝囊肿直径约9.2cm,患者因惧怕手术痛苦而不愿接受手术治疗。超声科朱双利主任会诊后,考虑到患者焦虑的情绪和手术顾虑,为其推荐了超声引导下肝囊肿硬化治疗,这是一种相较安全、有效、便捷、微创的手术方式。朱双利主任详细地为患者介绍了治疗过程及预期效果,患者经过慎重考虑同意进行超声引导下肝囊肿硬化治疗。
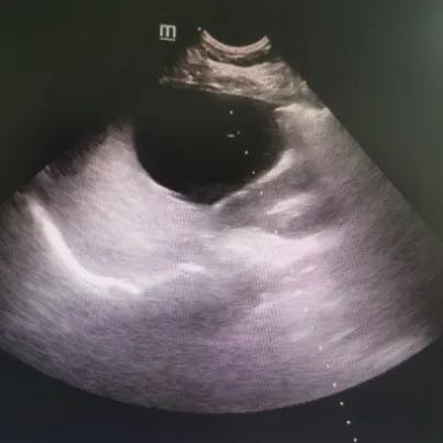
经过充分的术前评估,完善的术前相关检查,手术在实时超声引导监测下进行,动态观察穿刺针的位置,精确穿刺、精确抽吸,共抽出液体162ml,然后注入3ml利多卡因,停留3分钟后抽出,而后注入13ml无水乙醇,停留5分钟后抽出13ml液体,超声监测囊肿消失。整个手术过程病人处于完全清醒状态下,手术过程近1小时,术后留观1小时,患者无明显出血及不良反应后,在家属陪同下出院。(附肝囊肿硬化治疗前后超声图对比,图1、图2)

图1:硬化治疗前

图2:硬化治疗后
什么是肝囊肿?
肝囊肿是一种常见良性病变,为先天性异常或是一种代谢性疾病,50以上的中老年发病高达2-5%,囊肿大小差别较大,小的直径0.3-0.5cm,大的可达10cm以上,巨大者占据大半个腹腔,可为单发或多发。
肝囊肿有哪些症状?
中小肝囊肿患者大多无明显症状,常在健康体检时发现,较大囊肿的病人常有上腹不适、隐痛、右肩酸痛等症状。若囊肿合并出血、继发感染时,病人出现发热、白细胞升高、肝区疼痛等症状,巨大囊肿可出现影响消化等系统的症状和体征。
肝囊肿如何治疗?
患有肝囊肿的患者不要过于消极,对治疗方法一定要重视,针对肝囊肿的治疗一定要根据囊肿大小、性质以及有无并发症而定。以往临床多采用外科手术的方法治疗,随着超声技术的发展,超声引导下肝囊肿硬化治疗已成为肝囊肿治疗的重要方法。囊肿直径超过5cm或小于5cm,但出现压迫等不适症状时可考虑采取超声引导下硬化治疗,通过这种方法可以缓解压迫症状并治愈囊肿。超声引导下肝囊肿硬化治疗属于微创治疗手术,手术操作较为简单,不需要剖腹,与手术、腹腔镜治疗相比安全系数高、费用低。实践证明,超声引导下肝囊肿穿刺硬化治疗术是一种较为安全、有效、便捷、经济的方法,减少了外科手术带来的痛苦、风险及穿刺并发症。

王府医院超声科团队
文/图丨王府医院超声科 赵春英