卵 黄 囊
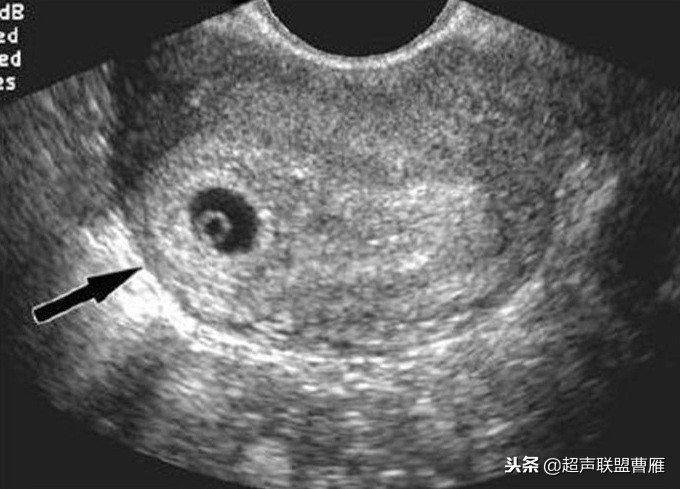
正常卵黄囊
· 是妊娠囊内超声能发现的第一个解剖结构。是宫内妊娠的标志。
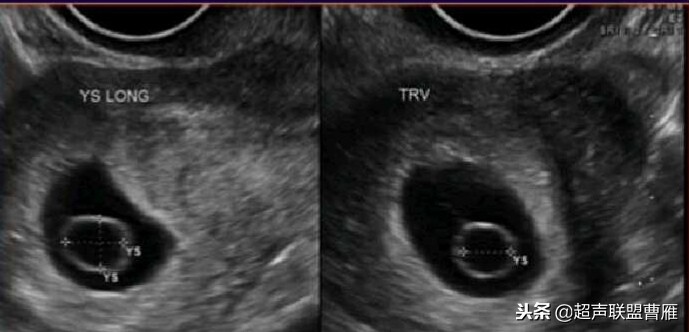
· 正常情况下,卵黄囊中央表现为无回声,周边为厚薄均一、边界清晰的环形高回声。
· 正常卵黄囊内径一般在3-5mm,妊娠第5-10周逐渐增大,而10周后逐渐减小,一般12周前消失。
· 当妊娠囊平均直径在5-6mm时,经阴道超声即可发现卵黄囊
· 通常认为,妊囊>8mm时,应当看到卵黄囊
异常卵黄囊
· 卵黄囊消失:如果发现卵黄囊消失而胚胎存在,几乎都是异常的,通常合并随后的胎停育而流产。
· 卵黄囊过大:有可能容易导致胎儿畸形(与不良妊娠结局有关)
· 卵黄囊过小:有可能自然流产或难免流产(与流产有关)
· 卵黄囊不规则或钙化:出现囊壁钙化或者增厚等形态改变以及囊壁缺损,提示 卵黄囊功能衰退与营养障碍,预示妊娠结局不良。一般情况下,出现钙化通常胚胎已停育。
· 卵黄囊内有回声:临床意义不确定
· 永存卵黄囊:(12周后可在羊膜绒毛膜之间看到卵黄囊临床意义不确定)
总之卵黄囊<3mm或者大于等于10mm,或者不显示均为异常,提示妊娠后果不良
· 当孕囊>20mm时多次寻找及反复不能发现卵黄囊 则可能是枯损卵或预示为不良胚胎

妊娠37天超声检查卵黄囊可以显示,羊膜腔及胚胎不能显示

真实的卵黄囊、胚体及羊膜腔形象

妊娠37天出现卵黄囊
在妊娠妊娠38天前后(36-40)天可以见到卵黄囊。 孕囊在6-9mm的可以见到其中有卵黄囊。
HCG在1000-7200U/L之间可以见到卵黄囊的近50%。 HCG在7200U/L以上都能见到卵黄囊。

有的图像卵黄囊YS只是两条平行的细短线

妊娠40天,见到卵黄囊、胚极及心管搏动, HCG12800U/L。

妊娠35天,高分辨的超声检查就可能见到心管搏动、胚极及卵黄囊。

卵黄囊高分辨超声图像,妊娠40天

一个孕囊有两个卵黄囊,单卵双胎。

两个孕囊各有一个卵黄囊,双卵双胎,HCG应该更高。
妊娠囊直经、卵黄囊与胚胎 停止发育的关系
孕龄达到38天孕囊直径约10mm,其中可见到卵黄囊,
不知最后经期,孕囊直径达到10mm,虽未见卵黄囊还不能判断预后。
孕龄7周以后,妊娠囊直径在15mm以下,8周以后在21mm 以下,胚胎停止发育的可能性在90%以上。
月经周期正常孕龄37天以后应该见到卵黄囊孕囊平均直径在10mm以上应该见到卵黄囊 试管婴儿,胚龄32天仍未出现卵黄囊,预后不良。
妊娠8周以后,妊娠囊直径在20mm以上,未见卵黄囊,基本上没有活胎。
孕囊的平均直径结合hCG的的测定变化 ,熟悉倍增时期的规律能够准确的判断胚胎停止发育

妊娠囊 28mm, 未见卵黄囊,hCG 500miu/L ,夭折。

妊娠囊14x4mm, 见胚胎,但无卵黄囊,死胎。

孕囊20mm,没有卵黄囊及胚体影像,应系死胎 。

胚囊40mm ,无任何其他结构影像。死胎。

变形的妊娠囊,多系死胎

变形的妊娠囊,多系死胎

小孕囊虽有胎体预后不良;妊娠囊平均值减去胎体臀长不应小于5mm。
妊娠早期孕囊及与胚体逐渐增大,卵黄囊也随之增长,但按比例胚胎最小时卵黄囊最大,在胚体逐渐增大的过程中,卵黄囊按比例逐渐缩小。


超声检查卵黄囊出现之后到孕龄12周之间多能见到卵黄囊,直径在0.3-0.5cm之间。卵黄囊的直径与形态正常是胚胎发育良好的标志。
卵黄囊的大小与形态异常与胚胎的发育是否正常关系密切。卵黄囊增大,直径超过6.1cm,胚胎的预后不良。
卵黄囊的大小与形态异常与胚胎的发育是否正常关系密切。,形态异常的卵黄囊预后不良。

孕龄5.8周,胚极2.5mm,卵黄囊8mm,死胎

孕龄7+5周卵黄囊10.3mmx9.5mm,胚胎死亡

有的文献将卵黄囊内径的最大限度定为6.1mm

小卵黄囊,预后不良

钙化卵黄囊6.6mm,一周后胚胎死亡

卵黄囊回声增强,预后不良


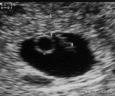
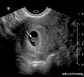
正常早孕卵黄囊声像图


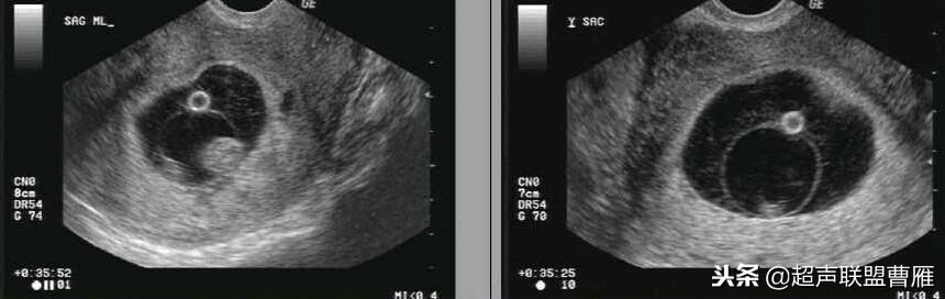
早孕 胚芽 卵黄囊


5周+ 、6周+ 声像图


孕7周左右(胚芽11mm 卵黄囊)

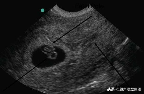
胎芽 卵黄囊 心管搏动信号

宫内早孕 (7周左右)


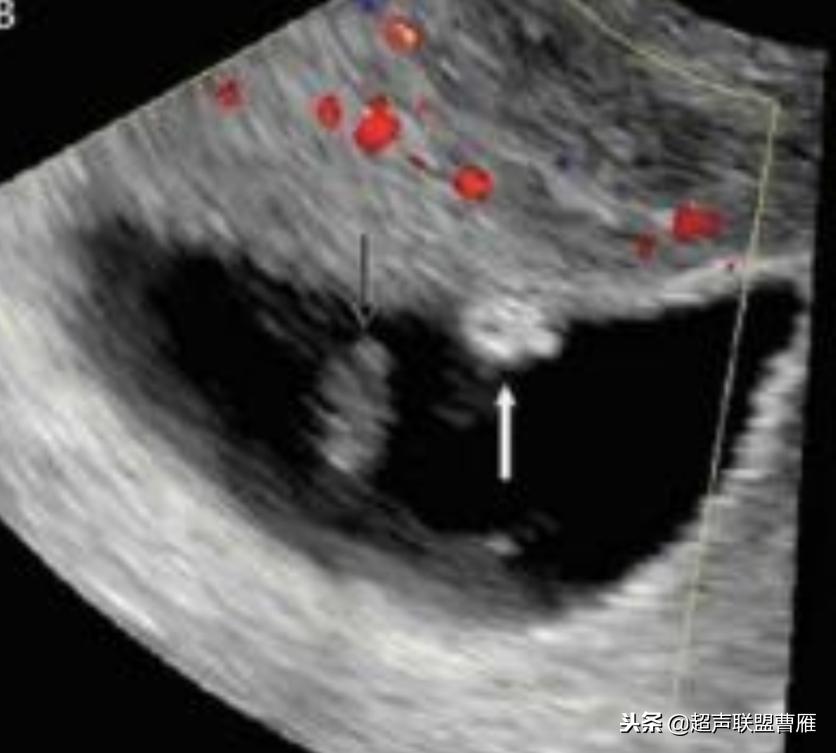
正常宫内胚胎组织、卵黄囊


最大卵黄囊(5周)(12周)



卵黄囊11*6.9mm 大卵黄囊

卵黄囊消失

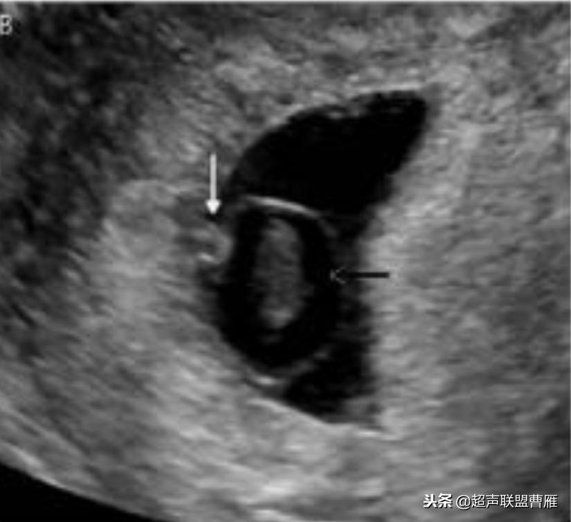
卵黄囊 羊膜囊 小胎儿雏形 (卵黄囊直径8.5mm)

卵黄囊回声增强,预后不良

卵黄囊钙化

卵黄囊过小2mm


卵黄囊不规则内有回声