提到 致死率100%的病毒 ,大家会想起哪种呢?

可怕的病毒
恐怕很多人会想到 埃博拉病毒 ,埃博拉病毒的确有很高的致死率, 最严重的时候,高达90%, 但它还不是致死率最高的病毒。
真正能做到致死率100%, 并且蒸不烂煮不透的病毒是一种异类—— 朊病毒。
为何称呼朊病毒为异类?
它为何又能做到感染必死无药可救?

朊病毒
不要着急,让我们从朊病毒是什么?
它的致病原理是什么?
为何会被感染?
以及如何预防?
这四个方面入手,了解生物演化中的鬼魅, 恐怖的朊病毒 。

朊病毒是什么?
前面说到 朊病毒 是一种异类,它到底“异”在哪里?
首先,它根本就不是传统意义上的病毒, 而是一种 蛋白质 ,连最基本的生命结构都没有!
病毒虽然被我们蔑称为低级生物,好歹人家还是一种生命体,拥有最基本的遗传物质DNA或者RNA ,以及蛋白质外壳。
而 朊病毒 ,就是一蛋白质分子,连遗传物质都没有。

病毒结构
既然它没有遗传物质, 为什么还要称呼其为病毒呢?
这是因为最初发现它的科学家 布鲁辛纳 认为其发病死亡率非常高,使用“病毒”来称呼它,更能表示它的危险性,让人们注意。
其次, 朊病毒虽然是蛋白质分子 ,可是它不怕 高温高压 ,不怕 强酸强碱 ,甚至能从人类的消化系统进入到人类的大脑内部。
朊病毒 引起的最大一次灾难是 上个世纪八十年代英国的疯牛病 ,当时全英国的牛可以说疯了一大片。

“疯牛病”
人们采用焚烧病牛尸体的方式都未能阻挡其流传,最后更是成功传播到人的身上, 原因是人吃了牛肉汉堡。
最后, 朊病毒 的来历至今都是一个谜,人们到现在都说不明白,为何一段蛋白质分子,能够成为致病原因。
朊病毒 的存在就是在挑战生物演化规则,因为我们知道,不论什么生物,都是依靠遗传物质来驱使自己在自然界中的一切行为。

正常朊蛋白与致病朊蛋白
可是 朊病毒 将这条准则踩在脚下,它仿佛是一个鬼魅,游离在一切法则之外。
那么,朊病毒是如何以蛋白质之身,做到了很多病毒都无法完成的事情呢?
朊病毒的致病原理
一般 病毒 都是 采用DNA或者RNA复制的办法 ,瓦解宿主的身体结构,最后宿主死亡。

左边是患病大脑,右边是正常大脑
但是 朊病毒 的路子更野,它采取的是一种类似于“传教”的方式,将大脑里面的蛋白质全部转化为朊病毒,最后宿主“大脑空空”而死。
朊病毒由大约 250个氨基酸 组成,属于小分子蛋白质, 体积只有世界上最小的病毒的 1% 。
它的结构,与生物大脑里的一种蛋白—— 朊蛋白很相似。
生物感染朊病毒后,它会进入到大脑里面,将朊蛋白同化成自己的样子。

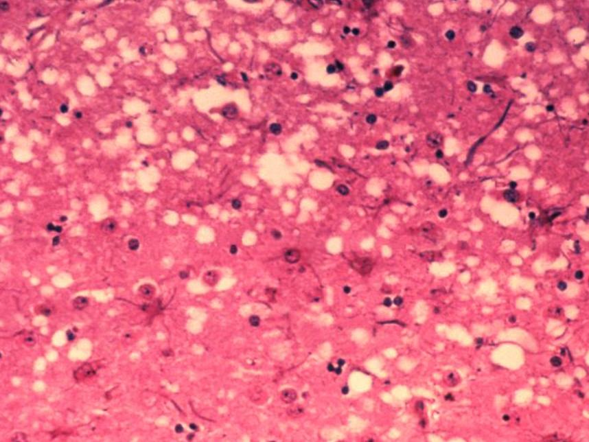
感染病毒脑子切片呈“海绵状”
科学家也不知道朊病毒的方法究竟是什么,总之, 朊蛋白在它的“怂恿”下,一个个走向堕落,纷纷变成朊病毒。
朊蛋白 是组成神经细胞的重要成分,它们一个个在朊病毒的迷惑下叛离, 神经细胞从根部被瓦解 。
神经细胞是不可再生的 ,因此,这种伤害几乎不可逆,大脑就这样一点一点被蚕食,最后只留下一个大脑的壳。
没有了神经细胞的动物,失去了理智,变得疯疯癫癫。

“疯牛病”
因此才会出现,牛疯了,人也疯了。
一旦感染朊病毒,基本上无药可救 ,只能看着朊病毒将大脑里面的每一个朊蛋白同化成自己的模样。
这个过程痛苦无比,因为神经细胞的损害是“循序渐进”的,感染者会经历, 从最初级的脑部疾病到最严重的脑部疾病,从还有一点理智到完全没有理智。
大脑是动物,尤其是高级动物最重要的身体部位, 大脑被瓦解 ,这就意味着这具身体也没有了存在的必要。

大脑结构
感染了朊病毒的动物,最后都会死亡, 致死率100% 。
那么,生物是如何感染上朊病毒的?
为何会感染朊病毒
朊病毒 是一种 存在于动物大脑里的奇异蛋白质分子 ,并非每个生物的脑袋里都有,科学家们怀疑,朊病毒有可能是大脑内的某种蛋白质分子发生了变异产生的。

食源性朊病毒感染
朊病毒 的传播途径是 食用带病宿主的大脑 ,通过消化系统进入下一个宿主的大脑。
人们发现朊病毒的传播方式, 来源于一个原始部落。
生活在太平洋巴布亚新几内亚的原住民,有一种习俗,人过世之后, 亲人要分食他或者她的遗体 。
男人食用躯干,妇女儿童分食大脑。

结果该部落的大部分 妇孺都患有全身抽搐的疾病 ,并很快会死去,当地人称为 “库鲁病” 。
科学家解剖了患病妇女与儿童的大脑,发现里面早已经发生病变, 像海绵一样缩松多空 。
联系到当地的习俗,科学家们断定, 这些妇女儿童感染上了朊病毒 。
因为朊病毒基本上只存在于大脑里面,而吃大脑的只有妇孺,成年男子食用的是躯干, 因此患病率明显更低。

当初英国疯掉的牛,都吃了一种饲料,该饲料是由牛的内脏和其他人不食用的部位, 比如牛头、牛蹄制成,这里面就有含朊病毒的牛脑。
由于高温高压、强酸强碱是消灭不了朊病毒的,所以哪怕 经过了杀菌、烘焙,朊病毒也依然存在 ,再健康的牛吃下了有朊病毒的饲料,都得疯!
科学家们发现,同类相食感染上朊病毒的概率大于跨物种食用, 尤其是食用了同类的大脑。

可怕的疯牛病
这个规律其实我们的老祖宗就已经知道了。
灾荒之年,人们易子而食,除了于心不忍, 恐怕更多的是避免患病 。
在过去,肯定有吃了自己小孩的人感染朊病毒死亡,古人不知道原因,认为是“虎毒食子”的惩罚, 因此才演变出易子而食。
因此,有科学家认为, 朊病毒是生物进化出的种群保护机制 ,目的就是为了不让种群内部出现自相残杀。

朊病毒
远古那些吃了自己同类的动物,都感染朊病毒死了,存活下来的动物,大部分都是遵守规则的。
知道了它的传播方式, 我们就能知道如何预防感染朊病毒 。
如何预防朊病毒
首先就是不要吃同类的 脑子 ,这一点人类可以做到,大部分野生动物可以做到,偏偏人类饲养的动物做不到。

人类利益熏心,想着节约成本, 拿动物的边角料给动物再制作成饲料 ,比如英国当年的牛饲料,竟然也是用牛的其他部位制成的。
其次就是,不食用未检疫的肉类。 疯牛病的前车之鉴,让很多国家强化了肉类的检疫,其中就有对朊病毒的检测。
因为无论怎样烹煮,朊病毒都不会死亡,所以不要怀着侥幸的心理, 认为自己完全煮熟了就不要紧。
最后就是,加强对动物饲养的规范, 最好不要用动物的 边角料制作草食动物的饲料。

疯牛病事件后,很多国家 禁止给食草动物喂荤饲料 ,无奈在利益面前,人管不了那么多。
既然牛吃牛肉制品会感染朊病毒,那就用 羊肉制品的荤饲料喂养 ,这总不是同类了吧。
结果因为这样的操作, 朊病毒在跨物种方面得到了变异,变得更强了 ,人也就会更惨了。

原始生活
其实 朊病毒 原本并没有很恐怖,尤其是人类已经脱离原始生活的情况下,感染的几率本身就很小。
之所以朊病毒依然肆虐,是因为人类自己“作”的,让饲养的动物被迫吃同类, 最后在这样的筛选下,进化出了更加强大的朊病毒,传染到人身上。

多种多样的病毒
演化之手*锁封**的潘多拉魔盒, 人类自己非要打开 ,那么也就不得不承受后果。