近日,宁波一名20岁小伙在与朋友玩桌游时误食朱砂,被送至国科大华美医院EICU。幸好在医务人员的帮助下,成功脱险。医生在此提醒,朱砂含汞,汞中毒可能导致急性肝肾功能衰竭,甚至死亡。
视频加载中...
视频制作:见习记者 任诗妤
几天前,20岁的小王携三五好友,去了宁波一家桌游馆体验当下热门游戏剧本杀。为了营造恐怖故事的氛围,室内环境比较昏暗,小王等人只能凭着手上的电子蜡烛阅读剧本。
像这样的剧本杀,一场就要花费近两小时,店家会贴心地为玩家准备一些零食。玩了许久小王已是饥肠辘辘,打算吃点桌上的零食填填肚子。借着微弱的灯光,他摸到一块饼干便吃了起来。直到游戏结束,室内的灯光全部打开小王发现不对劲:自己拿饼干的手指上沾有一层红色的粉末!
原来这次的剧本杀故事里还有一些特殊设计的道具,其中就有一小碟朱砂,在玩游戏的过程中,小王曾触碰过这碟朱砂,但没有及时擦拭手指,外加灯光昏暗,一时疏忽导致误食。意识到情况不妙的小王立刻前往医院急诊,他十分慌张地询问医生,自己食用了朱砂会不会有生命危险。

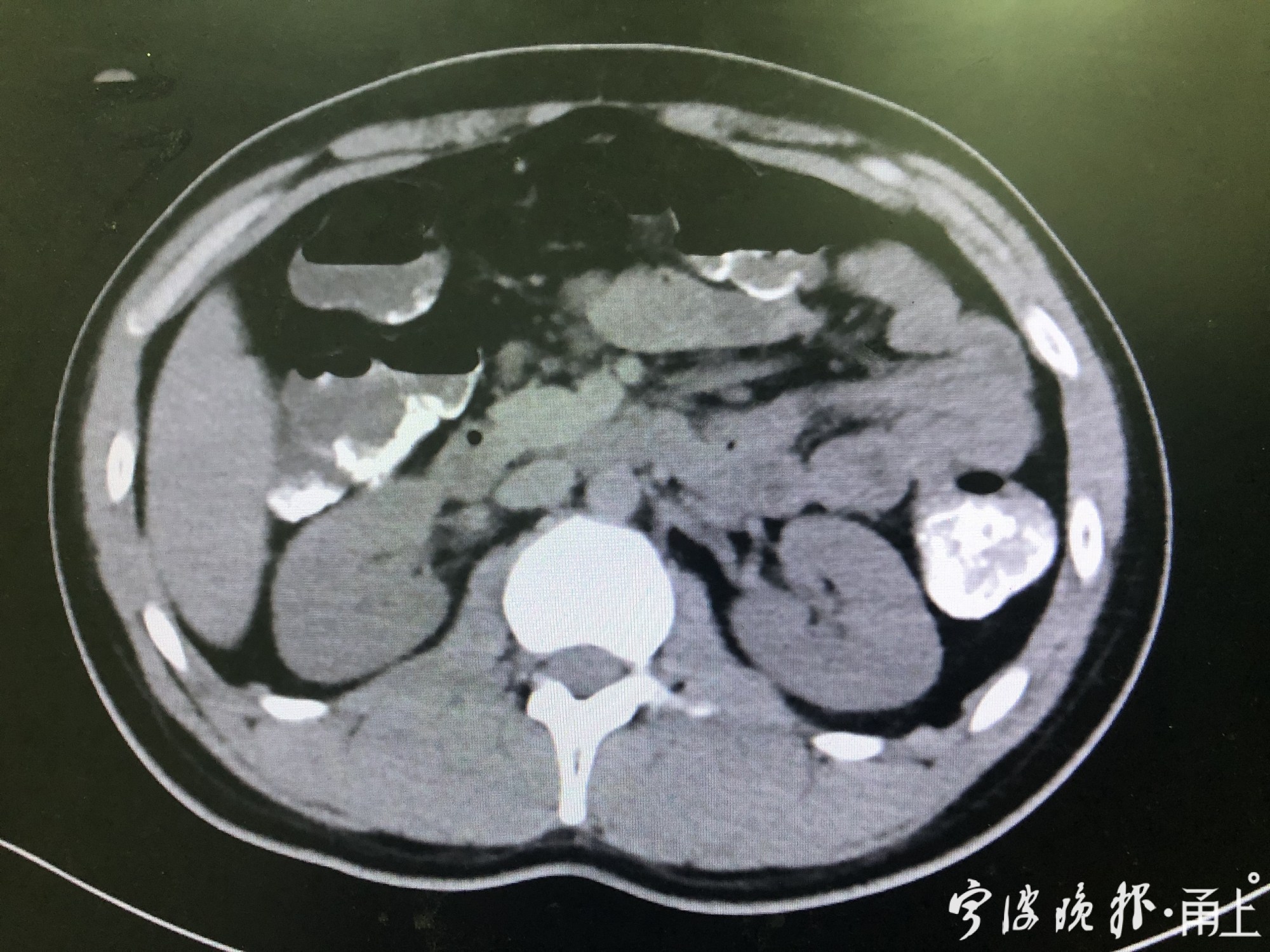
接诊的国科大华美医院急诊科副主任医师乐元洁立刻给小王做了CT检查,发现小王的胃肠道里有些高密度影,提示是重金属。医务人员立刻准备为小王洗胃,通过洗胃机将大量牛奶灌入小王的胃袋,再连同胃内容物一起抽出,清除胃内未被吸收的毒物并清洁胃腔。随后医生们为小王安排了入院观察,并配了特定解毒药,目前小王的身体恢复良好。
朱砂又名辰砂,是一种硫化汞矿物,含80%多的汞,也是炼汞的主要矿物原料,具有一定的毒性,久服或过量服用会造成汞中毒。朱砂中的汞进入人体后,主要分布在肝肾,容易引起肝肾损害,甚至可透过血脑屏障,直接损害中枢神经系统。
乐元洁医生提醒,万幸小王服用的是固体朱砂,且误服量少,若是不小心吸入了家用水银温度计里在常温下极易蒸发的汞,那可能会有更严重的后果,例如神经受损,出现精神障碍、手脚麻木的情况,甚至导致肾功能衰竭,一定要立即前往医院治疗。宁波晚报见习记者 任诗妤 通讯员 郑轲