肝癌,是一种高发病率、高致死率的恶性肿瘤。
据统计,全世界和中国的年新发肝癌病例数分别为90.6万和37万例[1]。这意味着,全球近一半的肝癌患者都集中在中国,其高发性为难点之一。复杂的发病机制使得肝癌的治疗更为困难,此为难点之二。
因此,在肝癌的治疗过程中,不能生搬硬套国际先进的治疗理念,必须要结合我国肝癌患者特色,走一条多元化的精准诊疗之路。
在这一理念的加持下,「转化治疗」逐渐展露锋芒,使部分失去手术机会的中晚期患者重获根治性手术机会,改善患者的预后。
本期,全民大病专家会诊平台邀请东营市人民医院肿瘤科副主任医师宋利强分享一例原发性肝癌病例,旨在为临床医生分享诊疗经验。
典型病例
病例讲解视频
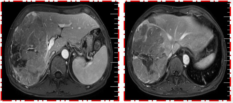
患者男性,68岁,既往乙肝病史20余年。发现肝占位10天就诊。就诊时AFP>1200↑ng/mL, DCP 20000↑ng/mL,CEA 13.48↑ng/mL;影像MRI:肝右叶异常信号并肝右静脉、门静脉右支受侵,符合肝Ca MR表现(影像如图1所示)。

首诊影像MRI
初步诊断:原发性肝癌(CNLC分期 IIIa期)
Child-Pugh评分*级A**
ECOG-PS评分 0分
乙肝肝硬化

原发性肝癌诊疗规范-2019版
治疗方案:(2021.11.22)HAIC+索拉非尼+恩替卡韦。
诊疗过程:放疗结束后3个月,主要指标和影像学变化结果如下:
1、肿瘤指标

肿瘤指标水平变化
2、影像学变化

影像学检查:肝右叶见团块状稍低密度,内可见多发分隔,肝内瘤体内可能存在具有活性的瘤体组织
CNLC IIIa能否接受手术治疗?
不可切除的晚期肝癌经降期或转化达到部分缓解或完全缓解后,均需积极的手术治疗。
转化治疗后技术可切除的一般手术指征包括:Child-Pugh A或B级肝功能;充足的切除后残余肝体积,非肝硬化患者≥35%标准肝体积,肝硬化患者≥45%标准肝体积;ICG 15 min滞留率<20%;术后肝脏血管流入及流出道结构完整,血流通畅;术后胆道结构完整,引流通畅;ECOG-PS 0~1分;ASA评级不高于Ⅲ级。
该患者符合转化治疗后技术可切除的一般手术指征,于2022年2月23日行右半肝切除、胆囊切除术。

右半肝切除、胆囊切除术
术后病理

术后病理
术后复查
1、肿瘤指标

术后肿瘤指标
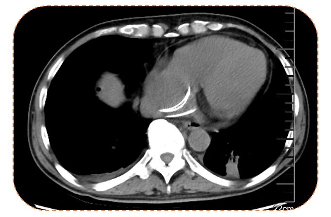
2、影像学指标

影像学检查:可见肝周少量积液,无其他明显异常
总结
根治性肝切除是早中期肝癌患者的主要治疗手段,可改善其预后。
然而在我国,大多数肝癌患者在初诊时已属于中晚期(CNLC-IIb 期、IIIa 期和IIIb 期),失去了手术机会,将不可切除肝癌转化为可切除肝癌(转化治疗)是目前临床研究的热点,是延长患者生存期的重要途径。
参考文献
[1]中华预防医学会肝胆胰疾病预防与控制专业委员会,等.基于免疫联合靶向方案的晚期肝细胞癌转化治疗中国专家共识(2021版)[J]. 中华肝胆外科杂志, 2021, 27(4): 241-251.
尤迈健康出品,未经授权禁止转载