李大夫认同大家所说骨折是一种痛苦的经历!
不堪回首!

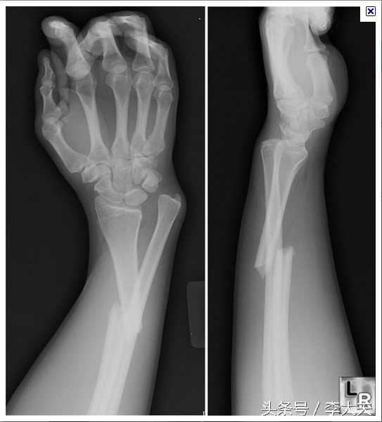
上肢前臂双骨折

上肢双骨折X线片

下肢的骨折

很多有过骨折经历的朋友都不知道骨头是怎么长回来的,如是老是问大夫,我的骨头长好了吗?
怎么还有一点痛?还有感觉?
什么时候可以活动?
什么时候可以运动?
什么时候可以做体力活?
首先,骨折愈合是一个复杂而连续的过程,从组织学和细胞学的变化,通常分为三个阶段。

-
血肿炎症机化期
这一过程需要2周时间完成。
骨折导致骨髓腔、骨膜下和周围组织血管破裂出血,在骨折断端极其周围形成血肿。受伤后6-8个小时内,骨折断端的血肿将凝结成血块。严重的骨折损伤和血管断裂使骨折端缺血,引起周围软组织和骨组织坏死。缺血和坏死的细胞释放产物,引起局部毛细血管增生扩张、血浆渗出、水中和炎性细胞浸润。炎性细胞清除血凝块、坏死软组织和死骨,血肿机化形成肉芽组织。
-
原始骨痂形成期
一般需要4-8周。
骨内外膜增生,新生血管长入,成骨细胞大量增生,合成并分泌骨基质,骨折端附件内、外形成骨样组织逐渐骨化,形成新骨。骨痂不断强化,当达到足以抵抗肌收缩及剪力和旋转时,则骨折达到临床愈合。这时候X线片商可见骨折处有梭形骨痂阴影,但是骨折线仍隐约可以看到。
-
骨板成形塑形期
这一过程需8-12周。
原始骨痂中的新生骨小梁逐渐增粗,排列逐渐规则和致密。骨折端的坏死骨经破骨合成骨细胞的侵入,完成死骨清除和新骨形成的爬行替代过程。原始骨痂被板层骨替代,骨折部位形成坚强的骨性连接。
李大夫提醒:这些骨折愈合时间表是成年人正常生理状态下的一般情况,不是所有人都一样。
影响骨折愈合的因素很多,包括年龄,健康营养状态,骨折类型,软组织损伤程度和骨折端的血液供应情况。

骨折愈合X线片表现
这是骨折的II期愈合情况,I期愈合最理想,但是临床较难实现,这里不做扩展解释。
欢迎订阅“李大夫”头条号或关注微信公众号humanspine