牙齿断了一半怎么处理最好 (牙齿断了只剩根部)

牙齿断了一半怎么处理最好多少钱,牙齿断了一半怕冰怎么处理最好

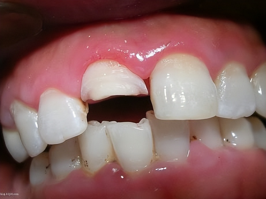
上图是一个十六岁的男孩,剧烈运动后摔倒,然后把上门牙磕断了,如果我们遇到外伤,把门牙磕断了,应该怎么办呢?你且往下看,让我详细说给你听。

牙齿断了一半怎么处理最好多少钱,牙齿断了一半怕冰怎么处理最好

先上牙齿结构图(后牙镇楼图)

牙齿不是实心的,都是中空的,跟咱们的骨头类似,中间的空管叫根管,里面装着牙神经和血管。

如果前牙外伤,单纯的牙冠缺损,牙根没有问题,大致情况如下图

牙齿断了一半怎么处理最好多少钱,牙齿断了一半怕冰怎么处理最好

只损伤切角,未伤及牙根和牙髓。

1.树脂修复(价格200到1000左右)

牙齿断了一半怎么处理最好多少钱,牙齿断了一半怕冰怎么处理最好

(图片来源见右下角水印)

这种情况,缺损小的,可以直接用光固化树脂修复换牙,用光固化树脂的优点是就诊时间短,基本不磨牙齿,费用相对比较低(一般3m树脂价格200到1000不等,如果是美塑树脂,价格更高一些,一分钱一分货)

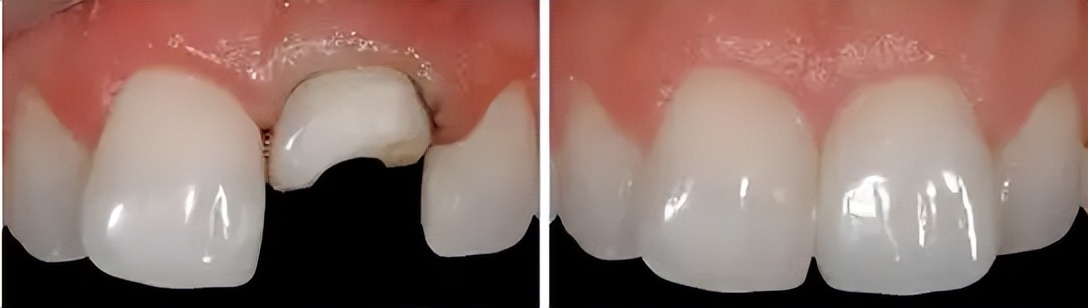
2.全瓷贴面(价格2000到5000不等)。

牙齿缺损,变色,散在间隙,都是瓷贴面的适应证,以前树脂没有发展起来之前,基本都是贴面修复,贴面颜色更好,更持久。现在随着粘接技术的提高,美塑树脂(微创)渐渐成为主流。。。

牙齿断了一半怎么处理最好多少钱,牙齿断了一半怕冰怎么处理最好

上图为全瓷贴面

3.冠修复(200到6000不等)

牙齿断了一半怎么处理最好多少钱,牙齿断了一半怕冰怎么处理最好

undefined

做冠这个选择放在最后,因为做冠需要磨掉很多自己的牙齿,不但万不得已,尽量不要选,为何冠的价格跨度这么大?是因为冠的种类很多,便宜的金属烤瓷冠几百一颗(不建议做金属烤瓷冠,尤其是前牙),全瓷牙各项数据都很优秀,唯一的缺点就是贵,几千块一颗(下图为全瓷冠,图中水印为图片出处。)

牙齿断了一半怎么处理最好多少钱,牙齿断了一半怕冰怎么处理最好

说到做冠,一般是损伤很大,伤及牙神经的牙齿,只要伤到牙神经,这颗牙齿大概率是要做根管治疗的,因为牙神经损伤基本不可逆,不做治疗以后疼起来会很麻烦!!!

牙齿断了一半怎么处理最好多少钱,牙齿断了一半怕冰怎么处理最好

前牙根管治疗费用300到600不等,地区不同,医院不同,价格不一样。

牙齿断了一半怎么处理最好多少钱,牙齿断了一半怕冰怎么处理最好

(根管治疗如上图,白色的柱状充填物是牙胶尖,用来封闭根尖孔的)

牙齿断了一半怎么处理最好多少钱,牙齿断了一半怕冰怎么处理最好

做完根管治疗后,后期修复根据牙齿缺损大小来选择如何修复,一般死髓牙,牙齿缺损大的(比如真牙只剩牙根了),建议打桩行冠修复。

牙齿断了一半怎么处理最好多少钱,牙齿断了一半怕冰怎么处理最好

以上几条,都是建立在牙根没有问题的前提下写的,如果牙根断了。。。。。

牙齿断了一半怎么处理最好多少钱,牙齿断了一半怕冰怎么处理最好

那么......

牙齿断了一半怎么处理最好多少钱,牙齿断了一半怕冰怎么处理最好

大概率需要拔除患牙了,小概率的事儿(根尖手术,根管倒充填,根管水泥,正畸牵引牙根)就不谈了。。。。

写多了没人看!!!看了不点赞!!!点赞不收藏!!!收藏不评论!!!评论不关注!!!!

猴子:“我要这铁棒有何用。。。。

路人甲:“mmmp.....不要给我。。。。”

牙齿断了一半怎么处理最好多少钱,牙齿断了一半怕冰怎么处理最好