
临床上通常将缺血性脑卒中发病6小时之内归为超急性期。在超急性期对患者进行快速识别,排除非缺血性脑卒中神经系统疾病,并明确梗死区域,有助于尽早确定下一步的治疗方案。
本文是近1年来笔者在临床工作中发现的各类典型的脑动脉开窗畸形,以及合并动脉瘤、急性脑梗死、脑出血、基底动脉延长扩张症、右侧锁骨下动脉迷走、锁骨下动脉盗血综合征、烟雾病等的一些特殊病例,共38个病例。
作者:张文胜(河源市人民医院神经内科) 本文为作者授权医脉通发布,未经授权请勿转载。
脑动脉开窗畸形概述
脑动脉开窗畸形是一种较为罕见的先天性血管发育异常,指脑动脉在走行的过程中分成2支,走行一段长度后又再次汇合成1支,其本质是血管的局限性重复,被定义为一个单一的动脉管腔拥有两个通道,一般为胚胎发育时期血管局部融合失败、融合不全、出现持续性残留所致。例如基底动脉在胚胎发育时,首先是脑腹侧的血管丛形成两条纵长神经动脉,然后这对神经动脉会出现横行融合,如果融合不完全,基底动脉就会发生开窗畸形。
根据笔者阅读文献和自身临床工作经验,发现可以出现脑动脉开窗畸形的脑血管包括基底动脉、椎动脉、大脑后动脉、大脑前动脉、前交通动脉、大脑中动脉、大脑后动脉、颈内动脉等。
根据脑动脉开窗血管形态将动脉开窗畸形分为裂隙型、凸透镜型、重复型3类。其中,裂隙型开窗血管短小,血管间隙小,开窗直径3-5mm,呈裂隙样改变;凸透镜型开窗血管稍大,血管间隙明显,开窗直径5-10mm,呈凸透镜样改变;重复型开窗则表现为动脉的完全复制,开窗血管范围较大,开窗直径>10mm,呈侧枝样改变。
一、基底动脉开窗畸形

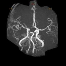
病例1:基底动脉下段开窗畸形

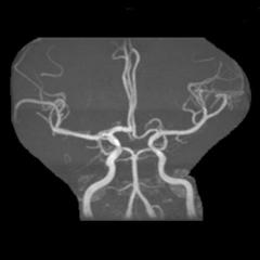
病例2:基底动脉下段开窗畸形
二、椎动脉开窗畸形

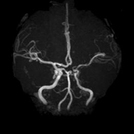
病例3:左侧椎动脉V4段开窗畸形

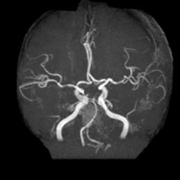
病例4:右侧椎动脉V4段开窗畸
三、大脑前动脉开窗畸形

病例5:左侧大脑前动脉A1段开窗畸形

病例6:右侧大脑前动脉A1段开窗畸形

病例7:图右侧大脑前动脉A2段近段开窗畸形
四、前交通动脉开窗畸形

病例8:前交通动脉开窗畸形。

病例9:前交通动脉开窗畸形
五、大脑中动脉开窗畸形

病例10:右侧大脑中动脉M1段开窗畸形

病例11:左侧大脑中动脉M1段开窗畸形

病例12:左侧大脑中动脉M1段开窗畸形
六、大脑后动脉开窗畸形

病例13:左侧大脑后动脉起始开窗畸形
七、颈内动脉开窗畸形

病例14:左颈内动脉C5段开窗畸形
目前文献报道的脑动脉开窗畸形发生率约为4.6%,其中基底动脉开窗畸形是最常见的类型,其发生率约为1.37%-2.33%,占开窗畸形的32.1%-42.1%,其次为椎动脉、大脑中动脉、大脑前动脉等。当然,有部分患者脑动脉可出现两种或两种以上的开窗畸形,可以称之为“混合型脑动脉开窗畸形”,发生率非常低,目前暂无有关的统计数据。
八、混合型脑动脉开窗畸形

病例15::左侧大脑前动脉A1、基底动脉起始段开窗畸形

病例16:基底动脉近段、右侧椎动脉开窗畸形

病例17::双侧椎动脉开窗畸形
颅内动脉开窗畸形一般无临床症状,文献报道开窗畸形可伴颅内其它血管病变,如动脉瘤、烟雾病、动静脉瘘、动静脉畸形等,其中动脉瘤最为常见,这提示开窗畸形与先天性发育异常有关。也有部分文献报道脑动脉开窗畸形可能与脑梗死或短暂性脑缺血发作等的发生有关,但其发病机制尚不明确,可能的发病机制是开窗动脉分支处血流动力学改变、形成血栓可能引起相应供血区域出现栓塞事件。
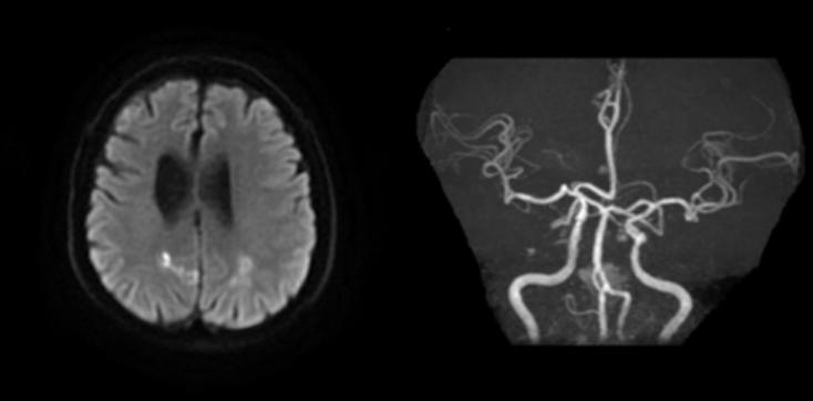
九、脑梗死合并开窗畸形

病例18:左侧扣带回、左枕叶皮层急性脑梗死合并基底动脉起始部开窗畸形

病例19:双侧额顶叶及右侧枕叶多发急性脑梗死合并基底动脉近段开窗畸形
十、重度狭窄合并开窗畸形

病例20:右侧椎动脉起始段局限性重度狭窄合并右侧大脑前动脉A1段开窗畸形

病例21:左侧大脑中动脉M1-M2段重度狭窄合并右侧大脑前动脉A2段开窗畸形
十一、血管闭塞合并开窗畸形

病例22:左侧大脑中动脉闭塞合并基底动脉近段开窗畸形
十二、动脉瘤合并开窗畸形

病例23:前交通动脉瘤合并右侧椎动脉V4段开窗畸形

病例24:双侧大脑中动脉M1段动脉瘤合并基底动脉开窗畸形
十三、双侧胚胎型大脑后动脉合并开窗畸形

病例25:双侧胚胎型大脑后动脉合并左侧大脑前动脉A1段开窗畸形
十四、右侧锁骨下动脉迷走合并开窗畸形

病例26:右侧锁骨下动脉迷走合并前交通动脉开窗畸形
十 五、左侧椎动脉起源于主动脉弓合并开窗畸形

病例27:左侧椎动脉起源于主动脉弓合并右侧大脑前动脉A2段开窗畸形

病例28:左侧椎动脉起源于主动脉弓合并基底动脉起始段开窗畸形
十六、左侧颈总动脉与头臂干共干合并开窗畸形

病例29:左侧颈总动脉与头臂干共干合并右侧大脑前动脉A2段近段开窗畸形

病例30:左侧颈总动脉与头臂干共干合并基底动脉近段开窗畸形
十七、基底动脉延长扩张合并开窗畸形

病例31:基底动脉延长扩张合并基底动脉起始段开窗畸形

病例32:基底动脉扩张延长合并基底动脉近段开窗畸形

病例33:左侧大脑前动脉A1段开窗畸形合并基底动脉延长扩张
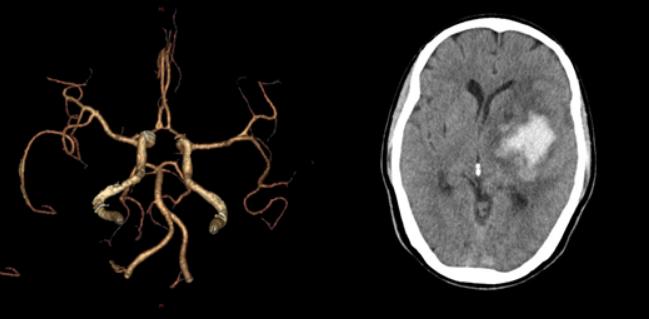
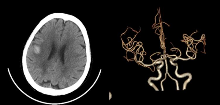
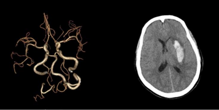
十八、脑出血合并开窗畸形

病例34:左侧基底节区脑出血合并右侧大脑前动脉A2段开窗畸形

病例35:右侧额叶急性脑出血合并左侧大脑中动脉M2段开窗畸形

病例36:左侧基底节区急性脑出血合并左侧椎动脉开窗畸形
十九、锁骨下动脉盗血综合征合并开窗畸形

例37:左锁骨下动脉起始段闭塞、左侧锁骨下动脉盗血综合征合并基底动脉近段开窗畸形

病例38:烟雾病合并右侧大脑前动脉A2段开窗畸形
脑动脉开窗畸形通常在尸检或者影像学检查时被发现。CTA和MRA不仅能够无创地显示开窗畸形的位置、形态和毗邻结构,还能显示伴发的其它病变,是脑动脉开窗畸形2种最佳的诊断方法。当脑动脉开窗畸形难以跟动脉夹层进行鉴别时,可以考虑行脑血管造影检查,进行三维重建便可进一步帮助鉴别。
合并动脉瘤、烟雾病、动静脉瘘、动静脉畸形的患者,原则上跟无先天性脑血管变异的患者一样需要接受进一步的治疗,诊断为脑梗死的脑动脉开窗畸形患者,如无禁忌时同样也应接受抗血小板、他汀等治疗。
参考文献:
[1] 吴萱, 朱纪婷, 陈新元, 等. 脑血管开窗畸形135例临床特征分析[J]. 中华神经科杂志,2018,51(5):364-368.
[2] Gao LY, Guo X, Zhou JJ, et al. Basilar artery fenestration detected with CT angiography.[J].Eur Radiol, 2013,23(10):286l-2867.
[3] Chino A, Kato A, Takase Y, et al. Basilar artery fenestrations detected by MR angiography[J]. Radiat Med, 2001,19(2):7l-74.
[4] Kanematsu M, Satoh K, Nakajima N,et al. Ruptured aneurysm arising from a basilar artery fenestration andassociated with a persistent primitive hypoglossal artery.Case reportand review of the literature[J]. J Neurosurg, 2004,101(3):532-535.
[5] Patel MA, Caplan JM, Yang W, et al. Arterial fenestrations and their association with cerebralaneurysms[J]. J Clin Neurosci, 2014,21(12):2184-2188.
[6] Vtirfis E, Kiss M, Hank6 J, et al. Moyamoya with arterial anomalies: relevance topathogenesis[J]. Neuroradiology, 1997,39:852-856.