65岁的万大爷最近不知什么原因出现了频繁的咳嗽,而且自己闻着咳出来的痰有臭味,刚开始以为是感冒,于是去了附近的小诊所,挂了两天的吊瓶,但这咳嗽没有任何好转的迹象,还是咳不停,万大叔这才想到去医院就诊,经肺部CT检查发现万大叔左肺有一个脓肿,再结合万大叔咳嗽、咳臭痰的症状最终做出了肺脓肿的诊断,于是办理了住院,经过20多天的抗炎治疗最终康复出院。
肺脓肿为何病?
肺脓肿是由于多种病原微生物感染肺部,引起肺组织化脓,形成脓腔的一种肺部感染性疾病,病原微生物可以通过呼吸道吸入或者通过血液循环而感染肺部。

肺脓肿的病因是什么?
导致肺脓肿的原因是各种病原微生物的感染,其中,以细菌性感染为主,最常见的致病菌是金黄色葡萄球菌,其它如肺炎克雷伯杆菌,铜绿假单胞菌、溶血性链球菌、大肠埃希菌等都可以导致肺脓肿,少数患者则由真菌感染所致。

哪些人容易得肺脓肿?
人体免疫力低下的人容易患肺脓肿,比如糖尿病患者、白血病患者、做完肾移植等脏器移植,正在服用免疫*制剂抑**的患者,患有慢性支气管炎、慢阻肺、肺癌等呼吸道疾病的患也容易患肺脓肿。
肺脓肿有哪些症状?
肺脓肿患者常常有发热、胸痛、咳嗽、咯血、咳痰等症状,如果伴有厌氧菌感染,痰液往往有臭味。
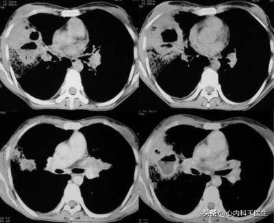
肺脓肿患者肺部CT有何特点?
患者肺部CT表现为浓密片状阴影有液平或空洞形成,病变发生在右肺多于左肺。

血常规检查特点
血常规可以出现白细胞增高、中性粒细胞增高,但血常规也可以是正常的。
肺脓肿的治疗
肺脓肿是一种呼吸道感染性疾病,因此最基础、最重要的就是抗感染治疗,可以使用青霉素、头孢类、喹诺酮类、甲硝唑类药物进行治疗,最好的办法是进行痰细菌培养,根据培养结果和药物敏感试验选择最有效的抗生素,同时要进行痰液引流,止咳化痰等对症治疗,一般需要抗炎治疗4·~6可以痊愈,对于有糖尿病的患者要同时使用胰岛素控制血糖,否则感染很难控制。