在我国超一半以上的人都容易患有牙周炎,但是很多人却不知道牙周炎的危害,以为只需要换换牙膏就能轻松解决。
患有牙周炎,不进行治疗,这些危害不容忽视!
1、牙齿坏死
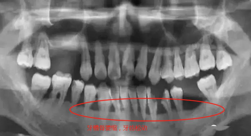
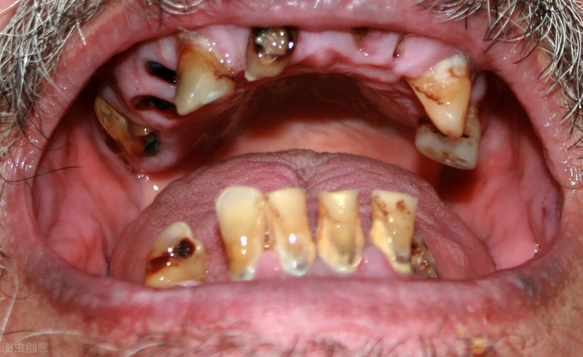
牙周炎不及时进行控制治疗,到了后期,牙槽骨吸收,牙周萎缩,牙根暴露,最终牙齿坏死,松动掉落。

2、出现口臭
一般患有牙周炎的患者,不进行控制治疗,牙周炎形成的脓包、牙周袋等会存在一股恶心的臭味,即便刷牙,也会出现口臭的症状。
3、影响肠道健康
患有牙周炎的,牙齿容易出现疼痛,饮食出现酸软的现象,会影响咀嚼功能,一旦咀嚼不好,会十分影响胃肠功能健康。
4、引发其他身体疾病
牙周炎不及时进行控制治疗,口腔内的细菌对于身体健康也存在一定的影响,如心脏病。皮肤病、高血糖等。

治疗牙周炎,记住这几点
1、定期清理牙结石
治疗牙周炎,首先是将附着在牙齿上面的牙结石清理掉,让牙槽骨和牙周不在收到“侵蚀”,从而控制朱牙周炎的进程。一般情况下到正规的口腔医院根据牙周炎的严重程度,进行龈上/龈下洁治术即可,一般一年进行2次即可。
2、每日做好口腔清洁
建议有牙周炎的人群要更加注重口腔清洁,如学习正确的刷牙方法以及学会使用牙线。
