众所周知,好奇害死猫,其实猫咪真的是一种好奇心超强的动物!小猫咪活泼好动,到处蹦蹦跳跳很正常,因此可能会不小心弄伤自己!
最阔怕的是,猫咪往往是在深夜偷偷闯祸。当平时不出门的猫咪一旦遇到车辆、人群等情况总会出现不可控的应激反应......
作为家长当然不希望宠物发生不幸,但在平时生活中也要提前学习关于宠物车祸及时救治的方法。当宠物真的不幸发生车祸的时候知道该怎们办,该如何救治。
今天,宠小爱和大家分享的就是一则猫咪【面部多处骨折、腭裂、贫血】的病例。

图:来源于网络
▽

〖 宠 爱 国 际 病 历 本 〗

- 宠物名:咪咪
- 性别:雌性
- 年龄:不详
- 品种:中华田园猫
- 体重:3kg
主诉病史
救助人刚在路边救助的流浪猫,怀疑车祸。猫咪口腔、鼻腔、眼睛出血,浑身颤抖不能站立。




宠物刚到医院的照片
医院检查
临床检查:
T36.8,胸式呼吸严重,精神状态极差,BCS:1/9,脱水:10%,MMC:苍白,双眼睑反射弱,左眼结膜水肿、出血,瞳孔散射弱,四肢无力,无法站立,心率220次/分,口腔出血,腭裂,牙齿缺失,按压膀胱排尿,未见排便,全身跳蚤感染。
实验室检查:
血常规↓↓


提示炎症升高,之后复查血象恢复正常;血糖升高,贫血。
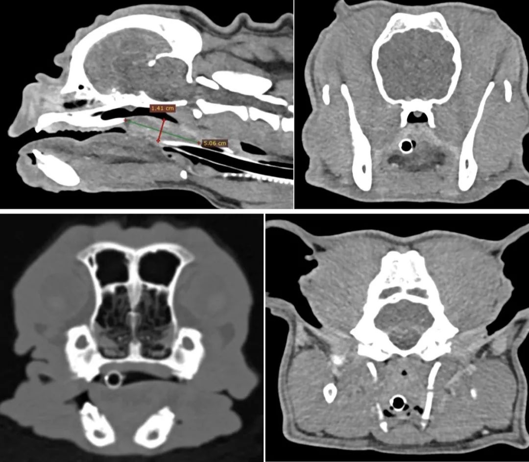
DR↓↓



胸腰椎、四肢未见明显骨折;面部、鼻腔、多处骨折。
超声检查↓↓

次日超声检查:提示胃肠道水肿,肝脾回声降低。
临床诊断
面部多处骨折、腭裂、贫血
治疗方案
1.吸氧 保温
2.消炎 止疼
3.输血
4.转诊中心医院CT 检查
5.手术
6.术中留置咽饲管




病例讨论
术前出现贫血,先纠正贫血;
腭裂手术术后留置咽饲管 10天,通过咽饲管饲喂罐头;
每天输液消炎止疼;
眼睛点眼,逐渐消肿,但出现斜视;
由于面部骨折点较多,无法固定,可能出现面部畸形;
鼻腔积液出血,出现脓性分泌物现象;
术后戴圈,控制感染,检查伤口,及时清理面部分泌物,保持干燥。
宠爱国际毛孩高阶影像诊断实例
法斗呼吸不畅、运动不耐受,通过CT扫查发现鼻咽部息肉、软颚肥厚↓↓

未成年小猫出现流口水与呆滞表现,在家观察后症状严重,双目失明,后肢无力,隔天出现抽搐的表现,来院检查后CT诊断,发现小猫出现了罕见的pss(先天性肝脏门静脉短路),血氨已经超正常值十倍,在两天的对症治疗后现在体征恢复平稳,择日手术治疗↓↓

影像学专业、准确的判读,可为宠物医学诊断和治疗节省更多宝贵时间,来看宠爱国际高级影像专科建设↓↓
https://v.qq.com/x/page/t3250l5e98x.html
宠爱国际高阶影像科
宠爱国际是国内较早使用SIEMENS ESSENZA 1.5T 超导核磁共振及SIEMENS 64排螺旋CT等影像设备的宠物医疗机构。高阶影像诊断中心MRI为高磁场(1.5Tesla)新机型,与一般低磁场或旧机型相比较,大幅降低检查时间。其高度解析能力,对动物脊椎神经和肿瘤能提供极佳诊断依据。高阶影像诊断中心CT为64切电脑断层摄影(CT),可在数十秒内完成动物大区域的空间扫描,比一般标准X光机更加详细,几乎全身各个部位都能快速检查与筛检。宠爱国际高阶影像诊断中心影像团队判读经验丰富,在2018年建立影像诊断&肿瘤治疗中心后开始就不断积累影像病例,由国内影像判读专家坐镇,对超声、MRI、CT等高阶影像学的判读有8年多经验;还同步拥有日本、美国等国际影像判读合作,出具报告。本院全程使用教学医院麻醉方式,并配合人用等级设备,每一次的扫描过程配备麻醉专科兽医师全程监控麻醉状况,尤其在麻醉诱导与苏醒过程中全程监控,即实记录下麻醉过程中生理数据及药剂处置,以提高麻醉安全性并降低麻醉风险。宠爱国际影像科凭靠专业设备和丰富的操作与判读经验提供专业医学影像诊断、医学影像专家门诊和远程影像会诊服务,搭建医学影像诊断学术研究和交流平台;提供全面医学影像诊断解决方案,不断开展国内兽医影像学领域新项目及新课题。
预防方案及
康复后保健措施

医生,急救知识建议收藏,以备不时之需~
在紧急的情况下切记
1、保持冷静,不要发出太大的声音惊吓到猫咪。
2、不要直接触摸伤口,伤口最好都能用干净的毛巾或纱布包裹。
3、不随便乱使用药物,不当使用药物会造成猫咪中毒。
4、不给猫咪水和食物,以免造成猫咪不适或呕吐。
5、安抚猫咪,减少猫咪情绪上的紧张。
有的幼兔不是很会打理自己,眼睛也会比较多分泌物。还有就是长毛兔,由于眼周毛发比较长,很容易弄到眼睛里刺激眼睛。
6、与动物医院联络,并尽快送往医院治疗。
医生,如何判断猫咪是否有意外伤害呢?
如果猫咪受伤后没有明显的跛脚或是外伤流血,通常猫奴并不会发现猫咪受伤了。
有时猫咪虽然从外表看起来好好的,但有可能内脏和脑部都已经受伤了。
特别是当猫咪的鼻腔和口腔内有血流出来,有可能是内脏破裂及出血,千万不能掉以轻心。
猫咪受伤后很多会表现为不爱动,它们会躲在一个角落,或者频繁舔舐隐藏在毛发下的伤口。


医生,有什么急救指南是宠物家长可以做的?
1、猫咪发生意外时,首先要观察猫咪的状况,能不能站起来,身体是否有不自然弯曲等。
2、将猫咪放在大箱子内,尽可能不要让它曲着身体。
3、送医途中,如果猫味的口鼻有血液流出,用卫生纸将血液清理干净,保持呼吸道畅通。
主治医师

哪个铲屎官舍得自家可爱又迷人的毛孩子受到一点点伤害呢?愿每一只猫咪都能健康快乐成长。