

- 病例1
男性,58岁,不吸烟。
病史较长,2012年始,反复发热(Tmax 39℃),咳嗽,多白痰,偶黄痰,气短。当地CT提示肺炎或「间质性肺炎」,予抗生素抗感染或加激素约2-3周症状缓解,自行停用。
2013年10月为明确诊断,就诊北京朝阳医院。那时患者没有太多症状,FVC 3.26L(84.8%),FEV1/FVC 81.8%,Dlco 5.88(68.3%)。HRCT提示间质性肺炎(轻),细支气管炎,肺大疱。但是没有获得之前诊断为肺炎或间质性肺炎的CT。

这时诊断还是比较困难,所以当时就给出了这样的诊断:细支气管炎、肺大疱。处理:观察,氟替卡松/沙美特罗吸入治疗。
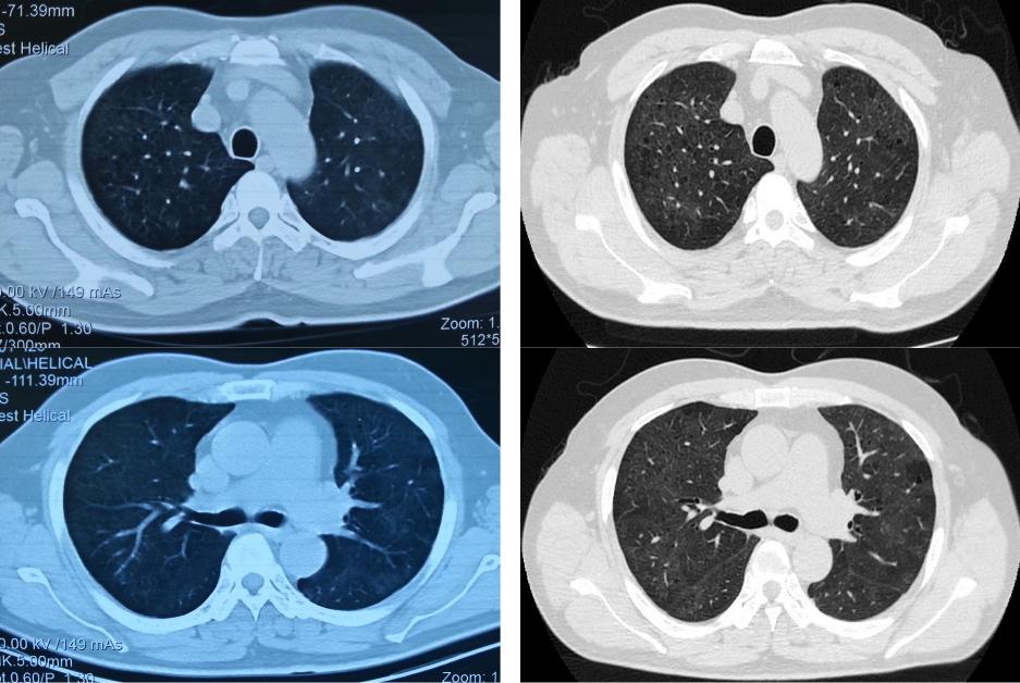
后来患者回家,2014、2015年仍然多次反复发热,肺炎。在当地和北京多家医院诊治,也没有一个明确的结论。2015.10月份前往中日医院,追溯到既往胸部影像资料。
影像资料如下:

2012-2-16,在当地诊断为间质性肺炎;2012-3-29,病灶吸收;2013年10月,病灶较前明显吸收;2015-5-22,病灶加重;2015-5-29(一个星期后)病灶又有所吸收。
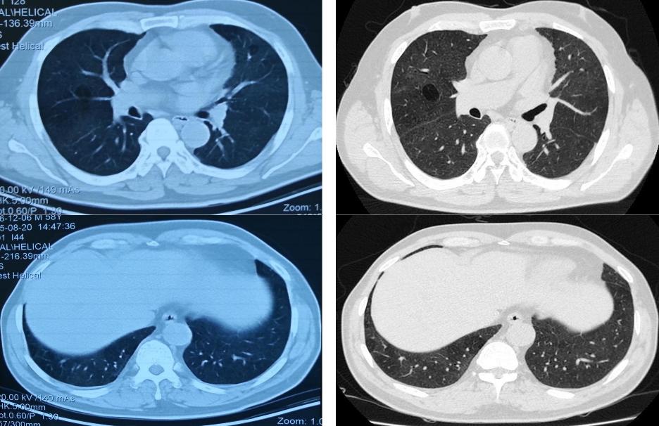
后来,患者到中日医院就诊,这是2015-9-30在中日医院的胸部CT(右)与2015-8-20胸部CT(左)有进一步吸收的对比:


我们再次追问个人史发现患者嗜养鸽子5年×50只。
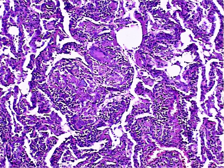
支气管镜下未见明显异常:TBLB:肺泡腔内泡沫细胞聚集,间质见胆固醇结晶及碳末沉积;
BALF 细胞计数分类:TCC 2×10^5/ml,AM 4.5%,Neu 1.8%,Lym 93.7%,Eos 0%;
BALF T细胞亚群:CD3+ 97.58%,CD4+ 81.16%,CD8+ 14.15%,CD4/CD8 5.74;
BALF 病原学(-);
肺功能:FVC 73.3%,FEV1/FVC 81.3%,Dlco 50%,提示轻度限制性呼吸障碍,弥散量轻中度下降。
血气分析:(未吸氧)pH7.38,PCO2 36.3mmHg,PO2 66.8mmHg,提示低氧血症。
虽然活检没有特别明确,但是按照此病史的反复发作以及结合支气管肺泡灌洗淋巴细胞比例明显增高的结果,诊断为 过敏性肺炎 。
- 病例2
男性,61岁,社区医生。气短、咳嗽伴发热2天。Velcro啰音,杵状指+。FVC↓,DLco↓,PaO2↓。白细胞稍高,Eos(-),IgE(-)。无特殊粉尘暴露。
从影像学可以看到,有一些网格索条影,小叶中心型结节,很多气体分布不均,像马赛克征的情况。

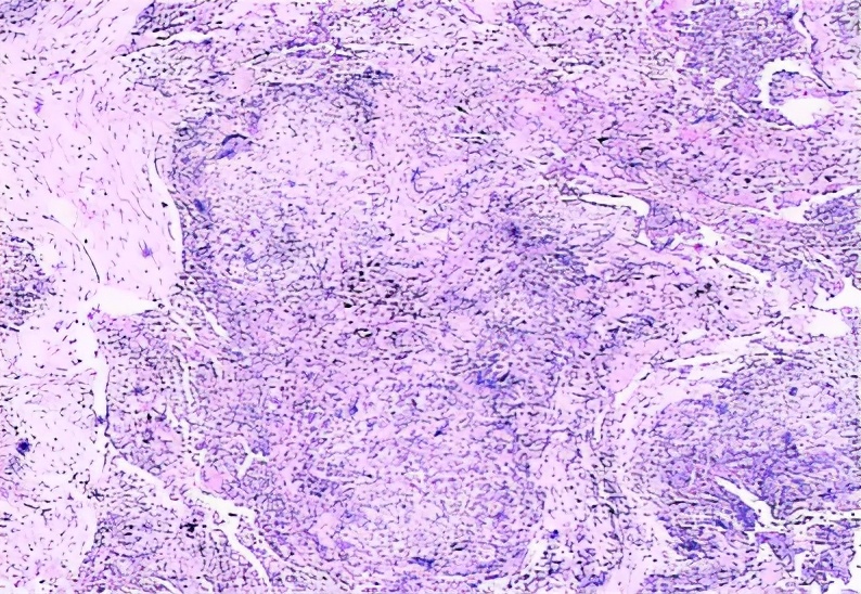
之后进行病理检查:肉芽肿,纤维化,细支气管炎,病理结果符合过敏性肺炎的表现,但是还没有问出病史。

我带着我们的主治医生3次询问患者都没有问出病史。过了一段时间,他女儿跟我说,她爸爸10年前养鸽子,养了100多只,所以这是一个慢性过敏性肺炎。
我们在临床上有很多误区,比如嗜酸细胞不高,不能诊断过敏性肺炎;IgE不高,不能诊断过敏性肺炎;没有明确过敏史或环境暴露史等。这说明我们对过敏性肺炎的认识不清,所以从以下几个方面让大家了解过敏性肺炎。
一、首先了解过敏性肺炎的相关概念与病理生理机制

首先,我们来了解间质性肺疾病的分类,已知原因DPLD、IIP、肉芽肿性DPLD以及其他DPLD。过敏性肺炎在已知原因DPLD和肉芽肿性DPLD,它的病理是以肉芽肿性为特征的。

ILD疾病谱分布
这是间质性肺疾病的疾病谱,在美国,HP所占间质性肺炎的比例为20%;在我国,IPF所占比例为26.5%,但HP所占比例仅为2.4%,明显有很多HP未被诊断。
什么是过敏性肺炎?

过敏性肺炎(Hypersensitivity pneumonitis,HP)也称为外源性过敏性肺泡炎(Extrinsic allergicalveolitis,EAA),是易感个体反复吸入有机粉尘抗原后诱发的III、IV型免疫反应所引起的肺部巨噬细胞、淋巴细胞渗出为主的炎症性疾病,不同于寄生虫感染或过敏所致Loeffler综合征等。过敏性肺炎比较明显的特征就是间质性肺炎、肉芽肿、细支气管炎。
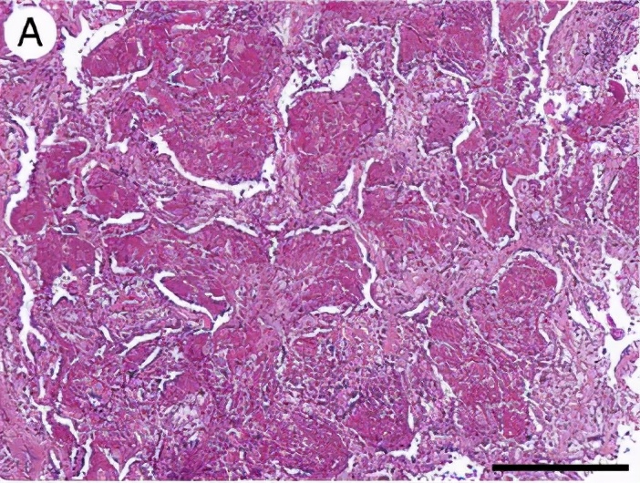
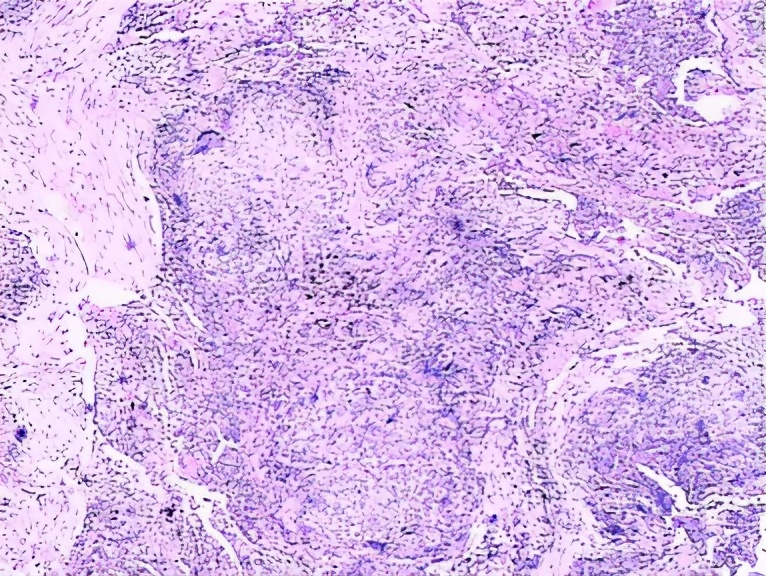
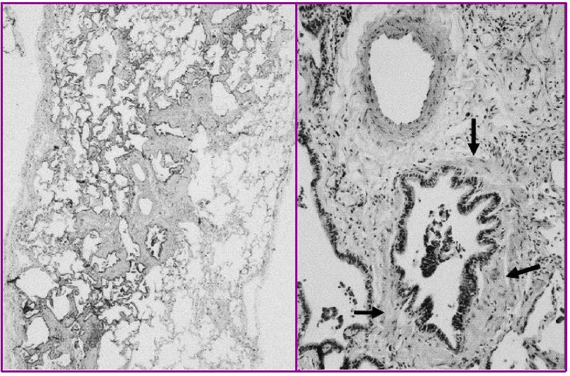
有哪些病理改变特点?

ZYM:肉芽肿,NSIP-like,细支气管炎亚急性表现细胞性NSIP、细支气管炎和肉芽肿三联征,出现<75%。

急性HP:急性纤维素性机化性肺炎。

CLX:慢性HP,纤维化比较明显,肺结构也被破坏,肉芽肿,UIP-lilke,细支气管炎。

慢性HP:气道中心性肺纤维化较明显。
所以病理改变特点可以表现为不同形式:

HP可能代表部分病理证实的NSIP、BOOP、UIP,所以我们考虑一下,有时我们诊断为特发性间质性肺炎,如果把原因都问出来,是不是有可能就是过敏性肺炎呢?
是否发病与检测出血清沉淀抗体有无关联?

不论发病与否,都可以检测出血清沉淀抗体。对于过敏性肺炎来说,一般都可以测出来,没有得病同样可以测到,也就是说暴露在这种环境下就会产生这种抗体,但是否发病可能与暴露有关。
发病机制——「二次打击」假说

发病机制是「二次打击」假说,有遗传易感性或环境因素(即第一次命中),在这种情况下,增加了抗原暴露后发生HP的风险(第二次命中),在肺里面就发生免疫反应,主要是III型和IV型,产生的炎症就是间质性肺炎、肉芽肿、细支气管炎,根据抗原暴露的情况决定转归。所以发病与临床表现决定于吸入抗原性质、量;暴露强度、频率;宿主免疫反应;遗传背景。
病因与危险因素
1、抗原物质,环境暴露相关
➣ 微生物(嗜热放线菌、真菌、细菌及其组成成分)
发霉干草,谷粒,蘑菇肥料,树皮,蔗渣;空调,湿化器,呼吸机(水蒸气);NTM→Hot tub lung,Wind-instruments lun。
➣ 动物蛋白:血清、分泌物
嗜好或饲养鸽子、鹦鹉等;皮(绒)毛加工或使用。
➣ 低分子量化合物:半抗原,如异氰酸盐(Isocyanate)
聚氨基甲酸乙酯、油漆、塑料等。
我们现在生活条件改善了很多,养宠物的人群也越来越多,鸽子、鹦鹉都很可爱,但是有些易感人群可能就会发生过敏性肺炎。

2、粉尘抗原颗粒,环境暴露相关
➣ 环境粉尘密度:霉干草1600×10^6孢子/m³
适宜微生物生长环境嗜热放线菌孢子:湿度35%-50%,温度50-600℃空间大小,通风➣ 粉尘吸入量:吸入7.5×10^5/min➣ 颗粒大小:<5μm,到达肺泡
3、促发因素,环境行为相关
➣ 职业接触(农作、收获蔗糖,蘑菇,木工)
➣ 家居、办公环境、休闲娱乐场所
污染的中心供暖气、湿化器、空调、呼吸机水蒸气(桑拿、热盆浴等)➣ 嗜好(鸽子、鹦鹉等)
4、宿主易感性
➣ 不同人群发病不一
环境暴露人群的HP患病率为5%-15%蘑菇工人中20%严重暴露者有症状爱鸽俱乐部PBD的患病率是8%-30%➣ 人群暴露抗原沉淀抗体阳性90-100%,但50-60%无发病➣ 80%-95%的HP是非吸烟人群
尼古丁影响Macro激活,降低Lym增生,影响T细胞功能
吸烟者发生HP,多慢性,反复,预后差
HP的常见类型和病因有哪些?

二、急性、亚急性、慢性过敏性肺炎的临床表现有哪些异同?从影像学如何区分?
1、急性过敏性肺炎
接触大量抗原后4-8h出现,6-24h明显,畏寒、发热、不适、咳嗽、胸闷、呼吸困难(类上感),气道高反应、喘鸣(类哮喘)。脱离抗原后,48小时内缓解,有些≥1周,通常<1月。短期暴露大量抗原所致,通常可逆,≥1次。抗原暴露5.6年(0.1-20),诊断延迟0.8年(0-5)。临床少诊断,易被误诊为「感冒」。
- 看一个小病例
这个患者的病情反复发作,每次吃点感冒药就好了,后来发现由于他做生意,一周回家一次,每次回家都会「感冒」。有一次是因为春节和元旦的时间比较近,他一直在家,「感冒」就变成肺炎,然后呼吸衰竭,双肺弥漫渗出,当地治疗未有所好转就转入朝阳医院。

F/39yr,反复「感冒」
入院后,我们没有给予很多治疗,环境改善后患者明显好转,最后进行BALF结果为淋巴细胞增多。患者由于养宠物猫导致过敏性肺炎,然后变成急性重症的表现。

住院(脱离环境)病变减轻
2、亚急性过敏性肺炎
临床更常见,暴露抗原几周或几月内出现,低热、无力、体重减轻、咳嗽或咳痰、活动气短。抗原间歇或持续暴露所致,通常可逆,无症状或轻症或非特异发热的急性发作的延续。抗原暴露10.8y(0.2-50y),诊断延迟1.7y(0.1-8y)。
从影像学如何区分急性和亚急性过敏性肺炎?
1)CXR

急性和亚急性过敏性肺炎的影像学有时很难区别,CXR有以下几种表现:可能是磨玻璃样或双肺纹理模糊,以下肺野明显;有时候会出现4-6周消失。
2)胸部CT

急性和亚急性过敏性肺炎的胸部CT的差距就比较明显,我们可以看到典型改变:小叶中心结节,边界不清,弥漫分布;轻症患者CT也可无明显异常;磨玻璃样/实变,片状或弥散,支气管血管束,下叶分布;肺气肿或马赛克征象。
因此,胸部CT可以发现CXR没有显示的病变,典型异常改变提示HP。

3、慢性过敏性肺炎
慢性HP的诊断更加困难,往往是长期暴露于低浓度抗原或急性反复发作,产生慢性进行性肺损害,呈不可逆肺纤维化。隐匿起病,咳嗽、咳痰、进行性活动时呼吸困难、疲劳,体重减轻。杵状指,散在吸气时爆裂音。晚期可出现呼吸衰竭,肺心病体征。抗原暴露16年(3-40y),诊断延迟达16年。
胸部CT:不规则索条影、网格、结节(小叶中心)、磨玻璃;肺结构改变更明显,支气管扩张,蜂窝肺;肺皱缩(上叶)下叶代偿性肺气肿,但是无钙化和空洞;马赛克(主要见于亚急性/慢性);支气管血管束增重。
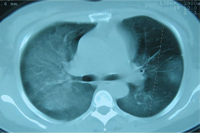
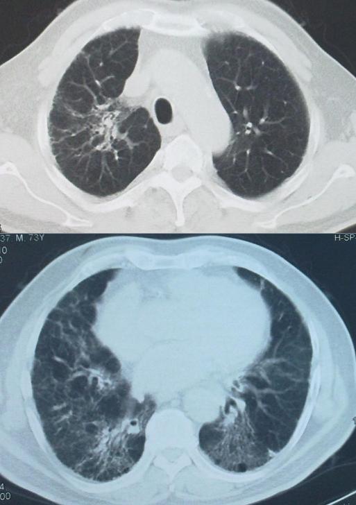
这是一位73岁男性的胸部CT,1991年始咳嗽,CT诊断ILD。激素治疗减轻,2008年活动气短。养鸽子10年×90只,2000年脱离,吸烟3年×2-3支/天,戒烟48年。胸膜下肺 底 分布不是其特点。


1)症状: 无论是急性、亚急性、慢性过敏性肺炎,最常见的症状为咳嗽、呼吸困难、咳痰。

2)CT特点: 马赛克/气体陷闭、磨玻璃、细小结节、蜂窝肺、纵膈淋巴结肿大等最常见。


过敏性肺炎的肺CT特征
3)肺功能

早期过敏性肺炎主要表现为限制性或弥散障碍,但是有可能恢复;慢性过敏性肺炎也是限制性通气功能障碍、弥散障碍、低氧血症,但是无法恢复,可能会进行加重。
4)实验室检查
① BAL异常表现
支气管肺泡灌洗能够比较明确地帮我们发现过敏性肺炎,主要是淋巴细胞比例显著增高(>50%),还有细胞总数显著增高(>4倍),中性粒细胞比例轻度增高,可见浆细胞,肥大细胞,巨噬细胞呈泡沫样改变。

CD4/CD8的比值在急性期可能会降低,但是不同的病程可以恢复正常或增加,避免抗原后6月恢复。HLA-DR↑,CD57(NK)细胞↑。
HP的BALF细胞学变化

急性期参与的细胞包括中性粒细胞、肥大细胞、淋巴细胞、单核-巨噬细胞;慢性期则主要淋巴细胞增高;HP:淋巴细胞比例常大于50;CD4+/CD8+细胞比例不作为临床推荐监测,因为常受到吸入的抗原、暴露的强度、是否吸烟以及临床分期影响。
过敏性肺炎的BALF细胞分类


无论是哪种类型的过敏性肺炎,淋巴细胞比例都是增加的,所以当肺泡灌洗的淋巴细胞未增加时,诊断过敏性肺炎要谨慎一些。
慢性HP(PBD)不同组织学类型的临床特征

尽管过敏性肺炎也可以按照间质性肺炎分为BOOP、UIP、NSIP,不管是哪种类型的HP,淋巴细胞比例都是增高的。
② 血液相关检查
白细胞或中性粒细胞可以正常或轻度增高,血嗜酸粒细胞正常,血IgE正常,血清沉淀抗体(IgG)阳性,ESR、CRP、RF等可以轻度增高,没有很多特异性。
三、如何诊断过敏性肺炎?需要与哪些疾病鉴别诊断?
诊断标准有以下几点
HP相应的症状(发热、咳嗽、呼吸困难);
特异性抗原暴露(病史或血清沉淀抗体);
HP相应的胸片或HRCT改变(细支气管中心结节,斑片磨玻璃影间或伴实变,气体陷闭形成的马赛克);
自然暴露刺激阳性反应或脱离抗原后病情改善;
BALF-Lym增加,通常>40%(if BAL);
相应病理学变化(IP,bronchio,Granul)(if biopsy)。
由此可见,支气管肺泡灌洗对诊断很重要:BAL正常一般可除外HP;20-30%无明确的抗原暴露证据,HRCT,BAL,组织学提示;胸膜下的小叶间隔增厚和蜂窝肺(→IPF)。
HP的诊断流程是什么?


对于临床怀疑ILD,首先要充分暴了解露史,同时进行HRCT检查。如果HRCT存在典型的小叶中心结节、马赛克样的磨玻璃改变等典型改变,又有明确的特异性抗原暴露史,再加上BALF-Lym>40%,经过多学科MDT讨论,基本上可以明确诊断HP。如果HRCT不典型,即使也进行了TBLB,诊断还不清楚,经过多学科MDT讨论,可能诊断HP,也可能建议行冷冻肺活检或外科肺活检进行诊断。
HP需要与哪些疾病鉴别诊断?
1、急性表现肺部弥漫性渗出影伴发热
病毒性肺炎,支原体肺炎,细菌性肺炎,肺结核
AIP,急*药性**物反应,COP
急性表现有时需与上感、哮喘,ABPA鉴别
2、亚急性表现弥漫性结节、斑片渗出
肉芽肿性肺疾病(结节病、结核等),DPB
3、慢性表现为呼吸困难,结节/网织结节,肺纤维化
肺TB,结节病,IPF

下图都是肉芽肿性疾病,但是结节病的肉芽肿是边界非常清楚的间质性结节,过敏性肺炎的肉芽肿的边界比较模糊。

IPF与慢性过敏性肺炎较难鉴别诊断

活检已经诊断为IPF,其中没有暴露史的患者中,大概有1/3诊断为慢性HP。那就说明我们有多少诊断为IPF的患者,也可能是过敏性肺炎,只不过没被我们诊断。
四、过敏性肺炎如何治疗?预后与什么相关?
脱离或避免抗原接触;一般不使用激素,病情严重可以使用激素,强的松30-60mg/d(急性重症,慢性进展或功能异常),2-3w,逐步减量,总疗程3-6月,或直至没有进一步的肺功能改善近期疗效比较肯定,远期疗效;其他:吸氧等;终末期需要肺移植。
预后与病理类型相关

BOOP、NSIP预后较好,纤维化预后较差。
关于HP临床分型建议与演变?
2020年ATS/JRS/ALAT发布的HP临床指南明确提出HP是否伴有纤维化来分类, 这样符合临床。



过敏性肺炎实际上是吸入抗原诱发的肺脏免疫炎性疾病,临床表现急、亚急性和慢性过程,以亚急性和慢性多见。目前倾向于按是否有纤维化进行分型,非纤维化型HP多指急性/亚急性,HRCT主要是小叶中心结节、斑片磨玻璃影、马赛克征。纤维化型多指慢性HP,HRCT还可见小叶间隔增厚,不规则粗、细网格,伴牵拉支扩,蜂窝等。病理特点为细支气管炎、不同类型不同程度的间质性肺炎(NSIP、OP、UIP)、肉芽肿。BALF:淋巴细胞增多,>40%。诊断主要是依据抗原及与疾病关系、HRCT、BAL-Lym↑。治疗为脱离抗原,酌情激素治疗。过敏性肺炎是一种可防可治的ILD,所以我们要提高认识,积极防诊治,改善病人生活质量。
参考文献:
[1]ATS/ERS AJRCCM 2002;165:277-304
[2]Lederer & Martinez. N Engl J Med 2018;378:1811-23
[3]Ban,et al. ERJ2018
[4]Am J Respir Crit Care Med 2017;196:690–699
[5]班承钧,等.中华医学杂志 2010;90:1105-0280.
[6]Blanchet MR, et l. Am J Respir Crit Care Med 2004;169:903–909;Nizri E, et al. J Immunol 2009;183:6681–6688
[7]Morell, et al. Medicine 2008;87:110
[8]班承钧,等.中华医学杂志 2010;90:1105-08.34
[9]Zhonghua Yi Xue Za Zhi.2010 Apr 27;90(16):1105-8.
[10]Curr Opin Pulm Med. 2004 Sep;10(5):378-82.
[11]Gaxiola M, et al. Respir Med 2011;105:608–14.
[12]Arch Pathol Lab Med. 2018;142:120–126
[13]Am J Respir Crit Care Med 2018;197:1036–44
[14]Selman M, et al. AJRCCM 2012; 186: 314–324
[15]Takemura et al. Curr Opinion Pul Med 2008; 14:440-54
[16]Lancet Respir Med 2013;1: 685–94
[17]Ohtani Y, et al. Thorax 2005;60: 665-71
[18]SahinH, et al.Radiology 2007; 244: 591-598
[19]Am J Respir Crit Care Med 2020; 202(3):e36-e69.

本文由《呼吸界》编辑 大奔 整理,感谢代华平教授的审阅修改!
本文完
*今条头日**排版:大奔