作者:张海梁,叶定伟
来源:中华泌尿外科杂志 2017年12月 增刊
本期剧情
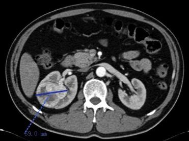
患者基本情况:患者男性,48岁,身高170cm,体重81kg。浙江温州人,自由职业者,平时无烟酒嗜好,育有1女。既往痛风病史6年,经常服药非甾体类消炎药止痛治疗。患者于2016年8月体检发现右肾占位,2016.9.1外院平扫CT:右肾密度不均匀肿块,边界欠清,大小5.4*5.4cm,与肾盂肾盏分界不清,部分层面,肿块突出身外,肿块周围脂肪间隙清晰。患者既往无血尿,无尿频、尿急、尿痛症状。临床诊断为右肾癌,为进一步治疗,收治入院。
体格检查:
KPS 90分,心率82次/分,血压120/80mmHg,浅表淋巴结未触及肿大,双肾区无叩击痛。
实验室检查:
用药前(2016年9月8日)肾功能检查:肌酐124umol/L,尿酸549 umol/L,尿素氮6.37 mmol/L。血常规:白细胞11.3*109/L,血红蛋白135g/L,血小板221*1012/L。尿常规:红细胞46个/L。
术前(2016年11月21日)肾功能检查:肌酐90umol/L,尿酸567 umol/L,尿素氮3.40 mmol/L。血常规:白细胞5.7*109/L,血红蛋白141g/L,血小板172*1012/L。
影像学检查:
B超:右肾中上部实质为主囊实性占位(MT可能),脂肪肝伴肝小囊肿,脾脏、胰腺、左侧肾脏、膀胱未见明显占位。
CT:右肾脏占位,可符合肾MT表现,请结合临床。肝脏富血供血管瘤可能,肝囊肿可能。

MRI:右肾占位考虑MT。肝脏多发血管瘤,肝右叶小囊肿。
同位素肾图(分肾功能)检查:左肾GFR 21ml/min,右肾GFR 47ml/min。
各阶段治疗过程:
患者入院后完善相关检查,血生化检查发现肌酐水平高,且右肾肿瘤体积明显较左肾大,进一步同位素肾图检查发现左肾GFR 21ml/min,右肾GFR 47ml/min,若行右肾根治性切除,术后肾功能不全可能性大。遂经泌尿肿瘤多学科讨论后于2016.09.28行右肾肿瘤穿刺,穿刺病理:(右肾肿瘤,穿刺活检)倾向肾细胞癌,根据病理结果先行阿昔替尼5mg bid术前治疗。
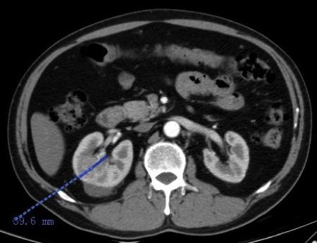
2016.10.26复查肾脏CT:右肾MT较前缩小,肾包膜下少量积液(穿刺后改变),肝内血管瘤,肝小囊肿同前。

(治疗1月缩小到40mm)
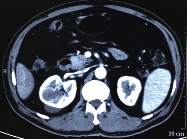
2016.11.23再次复查肾脏CT:右肾MT较前进一步缩小,肝内血管瘤,肝小囊肿同前。

治疗2月缩小到33mm
右肾肿瘤最大径缩短从59mm缩小到33mm,缩小达44%,疗效评价PR。
副作用:手足皮肤反应2度,乏力1度,高血压1度,皮疹2度。
2016年11月26日行开放性右肾部分切除术,术前停阿昔替尼4天,术中使用B超定位右肾肿瘤,顺利切除右肾肿瘤,保留右肾,术中出血约500ml,未输血。
术后病理:右肾透明细胞肾细胞癌,ISUP分级2级,肿瘤大小:3.5*3*3CM,癌组织坏死(+)。
随访转归情况:
术中及术后患者均未出现并发症,术后4天拔除后腹腔引流管,术后6天出院。
患者术前术后的血清肌酐变化:
2016年9月8日(阿昔替尼治疗前):123umol/L
2016年10月16日(阿昔替尼治疗1月):112umol/L
2016年11月21日(阿昔替尼治疗2月):98umol/L
2016年11月27日(保留肾单位手术后1天):137umol/L
2016年12月25日(术后1月):106umol/L
2016年5月19日(术后6月):108umol/L
术后患者未接受进一步辅助治疗。6个月影像学复查评估未见复发转移迹象。
案情推理
Q1:抗血管生成的靶向药物导致高血压、蛋白尿,对肾功能有影响,对于肾功能不全病人,如何选择这些药物?
Q2:为达到最大程度地缩瘤效果术前用几个月阿昔替尼最为合适?为不会影响到术中术后的出血和切口的延迟愈合,术前需要停阿昔替尼几天才能接受手术治疗?
Q3:阿昔替尼有效率高,术前使用后达到行保留肾单位肾切除标准,这时您会选择肾切除术还是保留保留肾单位的切除术?
本期情报员(病例提供者)

张海梁教授
复旦大学附属肿瘤医院泌尿外科 副主任医师
上海市泌尿外科学会肿瘤学组秘书
上海市泌尿外科学会青年学组委员
中国抗癌协会泌尿微创学组副组长
版权声明版权属肿瘤资讯所有。欢迎个人转发分享,其他任何媒体、网站如需转载或引用本网版权所有内容,须获得授权,且在醒目位置处注明“转自:良医汇-肿瘤医生APP”。