家住福州的张女士
今年35岁
8月29日剖宫产后半月余
突发头痛、发热,体温37.5 °C
后头痛逐渐加重
产褥期突发意识不清 情况危急
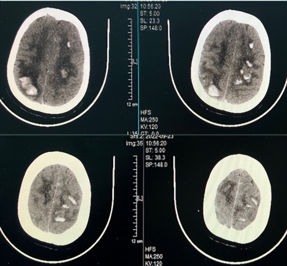
9月20日早晨,张女士突发意识不清,伴四肢抽搐、口吐白沫、小便*禁失**,持续5分钟后缓解。就诊当地医院查颅脑CT示“颅内多发出血,上矢状窦高密度影”,期间再发意识不清及四肢抽搐,持续10分钟后,抽搐停止,但是患者出现神志朦胧,肢体肌力下降,转诊我院急诊。
通过询问张女士家人,才知道她已经3次妊娠,都伴有血小板减少,至今血小板仍未恢复正常。急诊神经内科医生结合病情及颅脑CT的表现,第一时间做出了“颅内静脉窦血栓”的判断,同时联系磁共振静脉造影明确了诊断。然而,病魔还在牢牢地揪着她不放,3小时后她的意识障碍继续加重,并出现四肢无力,复查颅脑CT发现,她脑内的出血在不断增加。继而四肢抽搐,意识不清,生命危在旦夕。

▲上矢状窦及右侧横窦血栓

▲颅内多发血肿伴水肿
多科协作 神医担当
神内介入团队临危受命
神经内科介入团队详细了解病史并阅片后,迅速召集妇产科、血液科、影像科等相关科室进行紧急多学科会诊。各科均表示张女士的病情岌岌可危,一方面血小板低合并出血,另一方面高凝合并血栓,对于这种少见的情况,无论内科治疗还是血管内治疗 都存在很大的困难 。
面对棘手的情况,刘昌云主任与患者家属进行详细病情说明后,确定为张女士进行“颅内静脉窦取栓术+吸栓术”。

▲取栓器械到位

▲上矢状窦全程未显影
术中见“脑动静脉回流时间明显延长,上矢状窦几乎全程血栓,右侧横窦中远段及窦汇血栓,左侧横窦发育不全”,介入团队一次抽吸快速清除出颈静脉和右侧横窦的大量血栓,再通过抽吸和支架取栓技术取出了上矢状窦内的大量血栓。造影复查见“脑动静脉回流明显好转,上矢状窦、窦汇及右侧横窦、乙状窦血流通畅”。

▲脑内静脉窦恢复正常回流

▲颅内静脉窦通畅 未见血栓
神经重症保驾护航
恪守坚持终成正果
手术的成功并没有让神经内科医生们得到一丝松懈,如果患者不能得到有效的抗凝治疗,癫痫不能控制,癫痫昏迷导致的吸入性肺炎不能得到解决,前期的成功将功亏一篑。 “生命之重”交到到陈圣根主任领衔的神经重症团队手中。
在神经重症病房的“脱水降颅压、抗癫痫、抗凝、抗感染、免疫抑制”等积极治疗和密切监护下,张女士的癫痫和肺部感染得到了快速控制。
1个星期后,张女士的意识障碍和肌力的改善已初见曙光,多次复查CT颅内出血和水肿也得到了控制。对于高凝和出血的治疗矛盾,兄弟科室都给出了谨慎的意见,神经内科团队综合近年的文献进展和指南共识,坚持给予抗凝治疗。2周后,复查头颅CT示“颅内多发血肿较前缩小”, 颅脑静脉CT造影示“上矢状窦、下矢状窦、横窦、乙状窦、窦汇完全恢复再通”。 3周后患者神志清楚,肌力基本恢复正常,顺利康复出院,并对医护人员的及时救治以及精心护理表示由衷的感谢!
后记
2022年10月29日是第17个世界卒中日,今年的主题是“识别卒中早一秒,挽救大脑恢复好”。脑静脉窦血栓是脑卒中的少见类型,约占2%,常以头痛、癫痫、肢体瘫痪为表现,症状不典型,容易误诊,如不及时治疗,预后差,死亡率高。脑静脉窦血栓的危险因素较多,包括感染、恶性肿瘤、妊娠、围产期、肾病、自身免疫病、口服避孕药或激素替代治疗及高同型半胱氨酸血症等。其中,激素替代治疗、妊娠和产褥期是女性脑静脉窦血栓的重要危险因素。国人的“坐月子”传统,更增加了产褥期女性的高凝状态和血栓形成的风险。
协和医院神经内科是福建医科大学临床神经病学研究所挂靠单位,最早在福建省内建立脑血管病研究室,以缺血性脑血管病和脑血管介入治疗作为主攻方向,力争为最广大的神经内科病患解决病痛。神经内科完善和规范开展各项卒中诊疗、绿色通道建设、卒中专病门诊和脑血管病筛查随访工作,技术水平保持省内领先,与国内先进同步,积极参与南京脑血管病卒中登记中心、天坛医院“国家医疗质量管理”项目,成为“中国卒中中心联盟”第一批授牌“中国卒中中心”的单位,2016年被中国卒中学会授予综合卒中中心。目前,协和医院神经内科每年救治脑血管病患者800余例,抢救脑血管病危重病号200人次,每年开展各式脑血管介入诊疗200余例,其中急诊介入取栓近百例。
撰稿:神经内科