之前有人问:牙齿伸长,是不是牙齿就会松动掉落?其实,不是的,牙齿伸长不一定会掉落,还有可能是这个原因引起的,及时治疗是能够解决牙齿伸长的问题。

牙齿伸长,也可能是牙齿根尖炎!
很多人不清楚牙齿根尖炎有什么症状,其实牙齿根尖炎不仅会出现牙齿伸长的现象,还会伴随叩齿疼痛、患病牙齿出现根尖周脓肿,部分人群会出现面部变形、畏寒发热等症状。

患有牙齿根尖炎,要如何治疗?
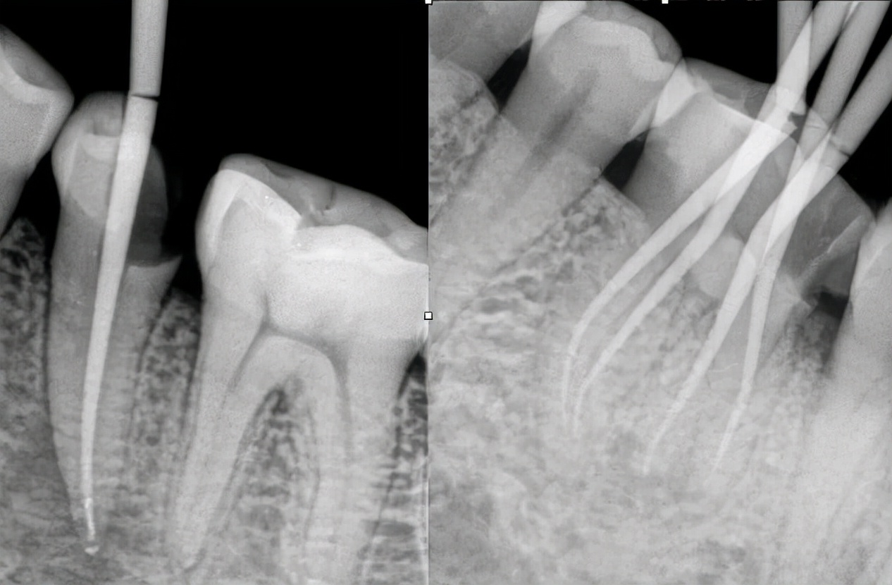
一般情况下,患有根尖炎症都是需要进行根管治疗,清除根管神经等受到感染发炎的组织,同时对根尖进行填充,隔绝空气,预防二次感染。

日常如何预防根尖炎的出现?
一般情况下,导致根尖炎多是由龋齿、牙髓病、牙周炎引起的。因此想要预防,一定要预防以上疾病的发生。
1、做好口腔清洁
做好口腔清洁,掌握正确的刷牙方法,学会使用牙线、经常漱口,这些都是能够有效地预防龋齿、牙周炎的发生。

2、定期口腔检查
定期的口腔检查有助于提前知晓牙齿的情况,尤其是根尖炎,初期一般无法发现病症,在拍片检查的时候是能够较好地知悉口腔情况。
3、发现问题及时治疗
很多人出现根尖炎,往往是因为前期在发现问题的时候没有及时进行治疗导致的,像龋齿初期没有得到及时治疗,那么到了后期,就会导致根尖炎症的发生。