502 Bad Gateway


nginx
- 在哪儿资讯网

502 Bad Gateway

502 Bad Gateway


nginx

*声明:本文仅用于科普用途,不能作为治疗依据,为了保护患者隐私,以下内容里的相关信息已进行处理

80岁慢阻肺喘的厉害怎么治疗,年青人患了重度慢阻肺能治好吗

转自小荷健康App真实经验

【基本信息】男,80岁

【疾病类型】慢性阻塞性肺疾病稳定期

【治疗方案】戒烟+药物治疗(布地奈德福莫特罗粉吸入剂)

【治疗周期】长期吸入药物治疗,每月随访,目前已随访4个月。

【治疗效果】症状好转

初识患者

我们小区有一位80岁左右的大爷,非常和蔼可亲,我们小区的小朋友都喜欢他,常把自己的小零食分享给大爷。突然最近一个月我都没怎么遇见他了,问了几个小朋友,才知道他生病了,走路喘气很严重,我通过小区婆婆叫他子女带他到我们呼吸科门诊就诊。

详细一了解,大爷抽烟50多年了,每天抽烟量约2包,近2年因气喘较前加重,减到每天一包。大爷由以前慢步行走不喘气,到现在走平路10来米,就觉得累、需要停下来休息,所以就很少下楼活动了。

大爷每日晨起时咳嗽较重,痰多、能排出,多为白色粘液状痰,下午咳嗽、咳痰较上午时要轻一些。近2年咳嗽,咳痰、气喘较往年明显加重,咳嗽总时间超过10年,每年时间超过3个月,常常在家口服“咳特灵、甘草片、氨茶碱及头孢类药物”治疗,近期效果不明显。

治疗历程

结合该患者有吸烟史、咳嗽,咳痰,喘气进行性加重,考虑该患者为 慢性阻塞性肺疾病 。首先给该患者进行肺功能检查提示:重度阻塞性通气功能障碍。完善了血常规、肝肾功能结果大致正常。

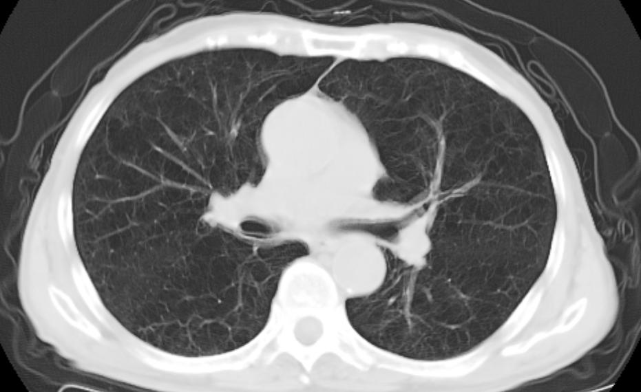
血气分析提示:轻度低氧血症。胸部CT提示:肺气肿、双肺慢性感染。故结合该患者病史 (近期无呼吸困难加重、明显痰量增多或浓痰) 、肺功能检查、胸部CT检查,明确诊断为: 慢性阻塞性肺疾病稳定期,目前该患者已达慢性阻塞性肺疾病III级,C组 ,故药物选择应为吸入激素及支气管扩制剂的联合治疗,选择布地奈德福莫特罗粉吸入剂吸入治疗,并嘱该患者戒烟。

戒烟是慢阻肺患者治疗的基石,同时的适量活动,可早期在室内适量活动,待活动耐力好一点在室外适量活动,可提高患者的肺活量及身体免疫力。

该患者一个月后来院随访,肺功能较前已有改善,能耐受平地缓步行走,无明显气喘加重,患者每月来院随访一次,病情稳定。3个月后调整患者为布地奈德福莫特罗粉吸入剂(160ug/4.5ug)早、晚各吸入一次,目前该患者已随访4个月,病情稳定,无明显急性加重,能在小区缓步活动、上小区缓坡无明显气喘加重。

80岁慢阻肺喘的厉害怎么治疗,年青人患了重度慢阻肺能治好吗

图片来源 :讲述者提供

注意事项

1、首先该患者 必须戒烟 ,吸烟是慢阻肺的主要危害因素,吸烟会导致慢阻肺急性加重,其次该患者应坚持每日适量活动,有利于提高患者肺功能的恢复。

2、该患者目前症状改善明显,应坚持吸入制剂的使用,切不能因症状改善自行停药。

3、布地奈德福莫特罗粉吸入剂中含有β₂受体激动剂,使用后可能出现心慌、心悸的症状,如有相关症状,随时门诊就诊。

治疗效果

该患者经吸入激素及支气管扩制剂的联合治疗后病情稳定,从就诊前的走平路10来米就觉得累、需要停下来休息,目前能耐受平地缓步行走,且在小区上缓坡无明显气喘加重,症状明显改善,到目前的近4个月病情稳定,无急性加重发作,且感活动耐量较前明显改善,效果非常好,后期仍需要目前的药物方案维持治疗。

医生感悟

该患者近两年活动范围慢慢变窄以及气喘症状的进行性加重,主要是因为患者用药不规范所致,其次就是和患者未戒烟有明显相关性,氨茶碱有很好的平喘作用,同时也有很明显的副作用,导致患者使用该药的依从性差,且不会也不能持续使用,因老年人的血浆清除率低,存在潜在毒性增大。

该患者调整使用吸入制剂后症状明显改善,且肺功能较前有好转,主要是因为吸入制剂为局部用药,其副作用较小,且为持续平稳的扩张支气管,能耐受长期使用,其布地奈德福莫特罗粉吸入剂中的成分福莫特罗可至少持续12小时的支气管扩张作用,故能持续平稳有效的扩张支气管。

该患者能取得目前的效果也和该患者及亲属的依从性、积极治疗态度有很大关系。慢阻肺的治疗是一个持续的过程,吸入制剂是慢阻肺治疗的首选药物,慢阻肺稳定期的有效控制才能减少急性加重的发作及各种并发症发生,包括呼吸衰竭、气胸、肺栓塞等,需要长期随访。

著作权归作者余开青所有

*声明:本文仅用于科普用途,不能作为治疗依据,为保护患者隐私,文章里的相关信息已进行处理。真实经验是作者本人或家人的真实治疗经验,版权归作者所有,禁止转载。如您发现内容有误,欢迎在留言区或后台进行反馈。

想了解更多慢性支气管炎相关真实经验案例?推荐阅读↓↓↓

  • 得了慢性支气管炎不要怕,抗感染+止咳祛痰治疗效果好》点击「链接」立即阅读>>
  • 李大姐经常接触冷空气,最终出现了慢性支气管炎》点击「链接」立即阅读>>
  • 咳嗽明显加重,还伴有胸闷,原来是慢性支气管炎复发了》点击「链接」立即阅读>>