肝癌与胰腺癌,一旦确诊,就会让很多人,闻之色变!然后,陷入绝望之中,有些人甚至进而放弃治疗等死,要么就是受江湖道士蛊惑,选择吃各种偏方,结局自然与主动放弃不相上下。
然而,狭路相逢,勇者胜。今天给大家分享的这个患者,就是一个敢于与癌症斗争,善于与癌王斗争的病例:
患者2013年8月因腰疼腰胀3年余,去当地医院CT检查,提示右肾上腺恶性占位可能,后立即来到省里三甲医院,于泌尿外科行手术切除治疗,术中见10cm*8cm巨大肿块,将腹膜后肾上极和肝脏粘连在一起,术后病理确诊为三期中分化肝癌,复查AFP达到10784.随后有行介入治疗。
2016年11月,病情稳定三年后,肝脏局部有复发了,且被证实肺转移,患者也觉得自己活不了多久了。然而,在家人和医院的鼓励下,患者振作精神,在靶向治疗等肿瘤内科专科治疗后,患者又熬过了近2个年头。
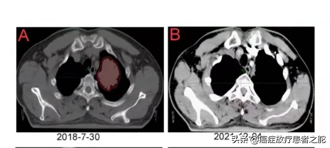
2018年,眼看着肺内转移灶,越来越大,遂对患者左肺转移灶进行了精确放疗。具体如下:

近期患者到医院复查,肺内转移病灶,放疗后彻底消失。而且,去年上半年,肝脏复发区域,也进行了放疗干预,这次复查,提示效果也很不错。具体如下图所示:

患者看到自己的复查结果,感慨万千,十分开心,抗癌信心大增。 或许,他还将创造更多的别人认为的不可能。
就这么一个确诊就已经三期了的10多厘米的巨块型肝癌患者,一路坚持在正规三甲医院,进行规范的治疗,虽然术后3年复发,在放疗等肿瘤内科专科治疗下,再次创造了属于他自己的奇迹,又活过了5年,至今累计生存101个月,8年有余。
相比之下,国内某些知名人物,确诊肝癌、胰腺癌后,又是烧香,有是拜佛,抑或前往国外取经,我始终没有看到谁创造过什么奇迹。
可见,即便是癌王,即便是确诊就晚期,即便是复发转移,若是能走正道,前往正规三甲医院,配合进行正规治疗,依然还是具备创造奇迹的可能。