5月22日,郑州大学第一附属医院心血管内科五病区 陈魁教授 心脏瓣膜病团队成功为一名极高危心脏瓣膜病患者应用 MitraClip系统实施经导管二尖瓣缘对缘修复术 ,解除了患者的生命危险。台湾荣民总医院宋思贤教授给予在线会诊指导。

图一(陈魁教授团队)
去年陈魁教授团队率先在河南开展这项技术,已经成功救治十多例此类病人。这例极高危心脏瓣膜病介入修复成功在河南还是首例。
病情介绍
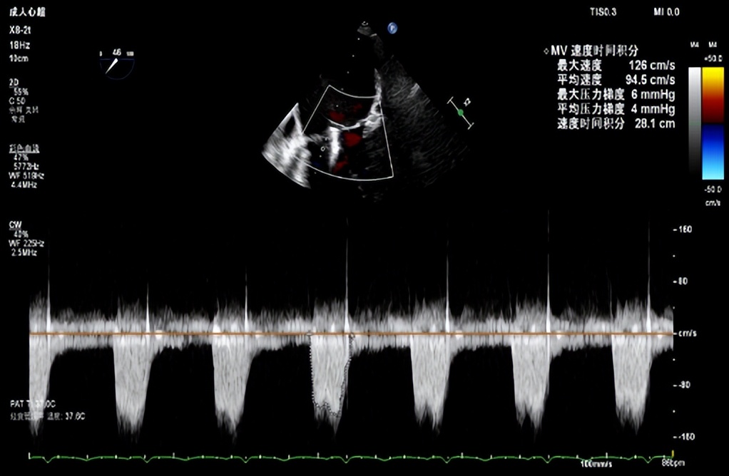
患者男性,71岁,反复心衰发作,心脏彩超示重度二尖瓣返流(MR 4+)(图二、三),既往糖尿病病史10余年、单侧颈内动脉闭塞7年余,2年前行冠脉搭桥及主动脉动脉瘤支架植入术,本次心衰急性发作合并严重肺部感染,经口气管插管呼吸机辅助并对症药物治疗,效果欠佳;存在较高心功能进一步恶化、呼吸循环衰竭、恶性心律失常、猝死等风险。

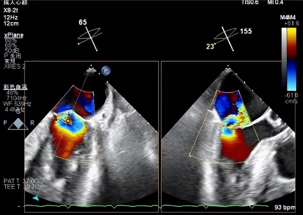
图二(食道超声心动图二尖瓣大量返流)

图三(3D示后叶脱垂伴重度关闭不全)
手术策略
术前,陈魁教授团队对患者的整体情况进行反复研究,结合心外科、麻醉科会诊,评估患者外科手术极高危,按照疾病治疗指南推荐考虑微创介入方案 MitraClip®进行经导管二尖瓣返流修复手术,与台湾荣民总医院专家宋思贤教授线上多次会诊讨论,制定完备的手术植入策略,力求实现最优临床效果。
手术难点
患者既往开胸手术病史,顽固心衰,STS评分高,二尖瓣病变部位特殊(P2为主,累积P1),此处极易损伤瓣叶及瓣下结构和心房组织;且瓣叶脱垂高度高,宽度>15mm,脱垂瓣叶活动度大,抓捕难度大,同时瓣口面积有限,穿刺位置及夹取位置的精准评估极其重要,手术难度较高。如何平衡残余反流和控制狭窄风险需要术者丰富经验并精准操作。
手术过程
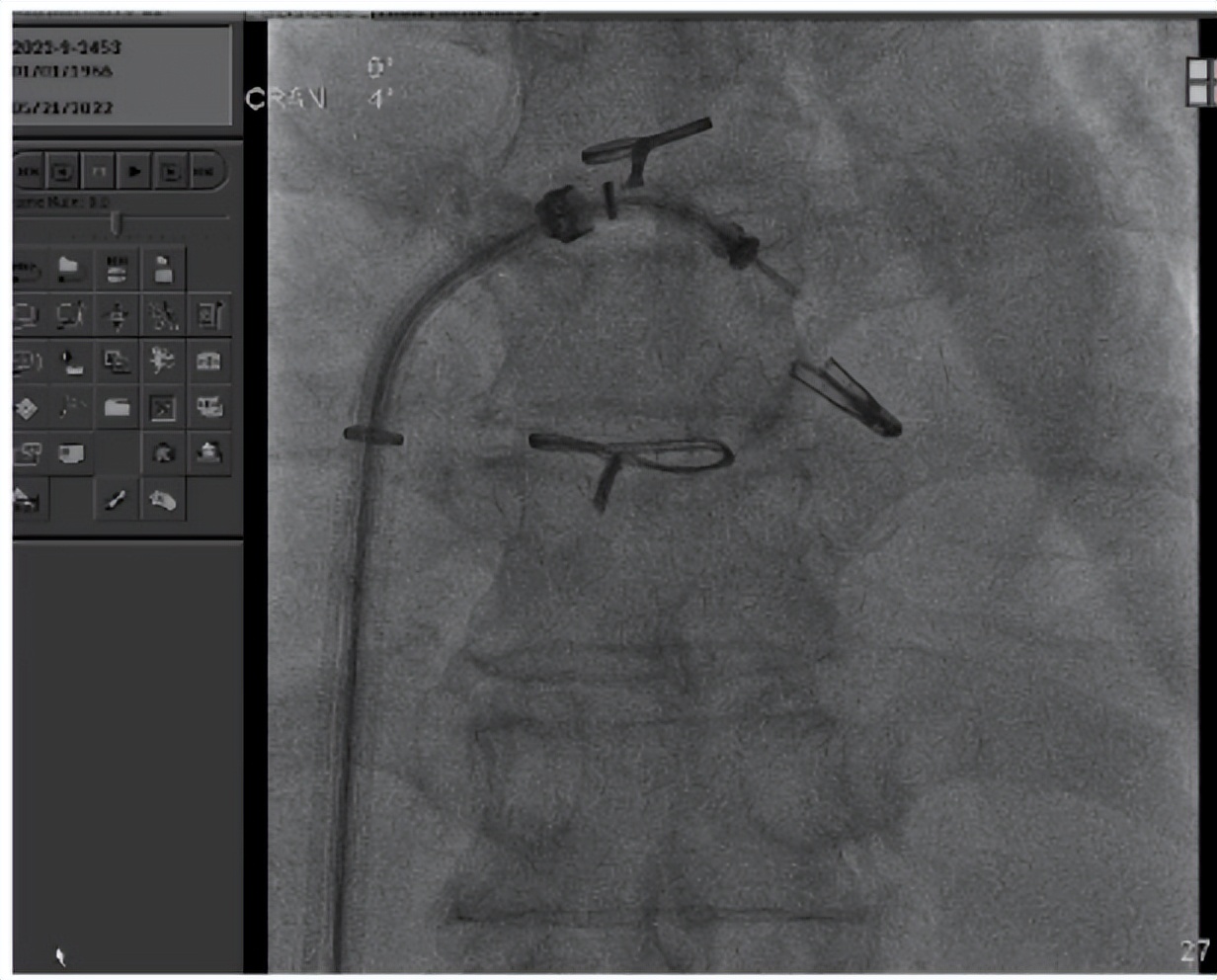
全麻状态下陈魁主任手术团队(图四)经右侧股静脉穿刺,通过MitraClip®独特的三层双调弯设计,经房间隔穿刺顺利将导管送入左心房和左心室,到达二尖瓣膜目标位置调整角度抓取瓣叶(图五)。随后,术者精准对位释放MitraClip®夹合器,准确捕获并固定(图六),“缘对缘”技术使二尖瓣由大的单孔变成小的双孔,位置精确(图七)控制返流且无瓣口狭窄(图八),血流动力学明显改善,手术取得圆满成功。

图四(术者陈魁教授(右一)一助姜正明教授(右二)二助付新教授(右三))

图五(瓣下调整角度并成功夹取瓣叶)

图六(MitraClip关闭双臂,稳定地固定住瓣叶)

图七(MitraClip稳定于病变位置)

图八(评估夹合后二尖瓣无狭窄)
术后检查
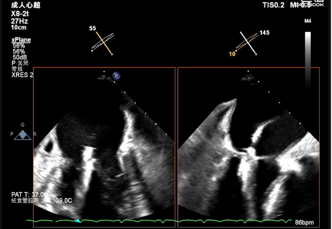
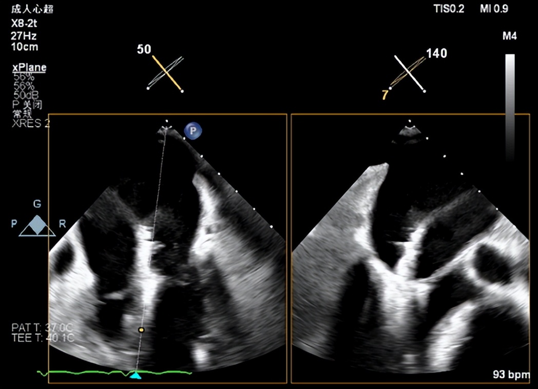
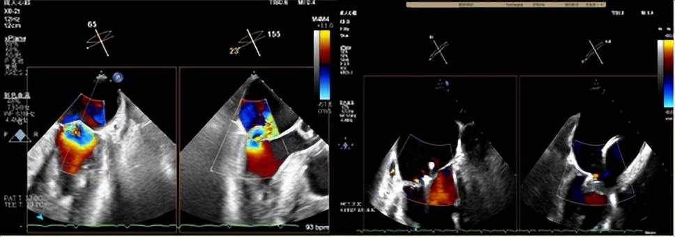
食道超声显示术后即刻效果显著,心房侧未见返流信号(图九),3D显示二尖瓣呈组织桥形态良好的双孔状,返流消失(图十),临床症状明显改善,术后效果堪称完美。

图九(左:术前大量反流 右:术后心房侧未见明显返流信号)

图十(左:术前食道3D示4+大量返流;右:术后二尖瓣呈组织桥形态良好的双孔状,返流消失)
二尖瓣返流 (Mitral Regurgitation, MR)的发病率随年龄增长而增加且显著增加死亡率,大多数二尖瓣反流患者无法耐受常规外科开胸换瓣手术。经导管二尖瓣缘对缘修复技术(TEER)是经股静脉-房间隔入路,在超声引导下夹住二尖瓣反流区的前、后瓣叶并使之接合从而减少或消除二尖瓣反流。该方法无需开胸,手术时间短,安全性高,避免体外循环风险的同时,更有术后恢复周期短的优势,是目前最成熟可靠的二尖瓣关闭不全的介入治疗技术。
郑州大学第一附属医院成功应用MitraClip高质量完成外科极高危患者的股静脉-房间隔入路经导管二尖瓣缘对缘修复手术,预示着在结构性心脏病领域的治疗水平更上一层楼,帮助更多病患得到及时、有效的救助。
(来源:郑大一附院心血管病医院)
