左小姐:
真是觉得“丢人”,每次都是先把我‘笑不露齿’的漂亮照片给男方,他们基本都是比较满意。可是只要和人家见面,他们马上就打了退堂鼓了!都是因为我这门牙缝大,说话漏风的牙齿.....
右先生:
姑娘长得倒是清秀,可是一笑起来那两颗门牙间的牙缝也太大了,我理想的对象可是牙齿整齐笑起来牙特好看的那种...

门牙中间有缝,无论是说话还是微笑,都相当尴尬。虽然门缝大会“漏财”无从考证,但门牙缝过大影响美观、自信,容易嵌塞食物引起牙龈炎症和牙周疾病倒是真的。

不过小编觉得,牙不够美,颜值高不到哪去(看脸*党**飘过)。比如,上面这位歪果仁,从门牙缝大到门牙缝关闭,脸型好看很多, 笑容也散发迷人气质,颜值度立马提升了几个级别。
一起看看吃瓜群众对门牙缝隙大的看法吧!
视频最后有亮点,儒雅牙医亮绝招!
视频加载中...
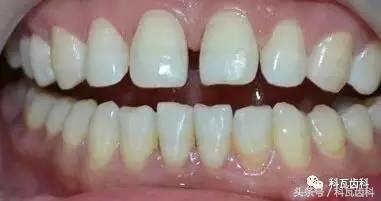
什么是门牙缝隙大?
它是指前牙与前牙之间间距过大,参考下图。

要是把门牙缝大这个BUG修复了,笑容就完美无缺了
你知道造成门牙缝大的原因吗?


是瓜子磕多了?
是剔牙剔的?
还是牙周炎造成的?
一起来看看牙医咋说滴!

门牙缝过大有先天、后天两种原因:
❶先天分两种情况:一种情况牙齿萌出以后就是有缝的,还有一种情况是舌系带过长、过宽,导致牙齿发育过程中,阻碍两个牙齿并到一起。

❷后天患有牙周病的人也容易有大牙缝,因为患者的牙周组织受到破坏、导致牙槽骨大量流失,牙齿因为松动移位、形成缝隙。
那门牙缝隙大怎么破?
要纠正门牙牙缝,先要祛除造成牙缝的根本原因,否则即使暂时解决了牙缝的问题,如果没解除根本原因,也很容易造成牙缝的再次复发。

矫正牙齿
矫正无需磨除健康牙齿就能将门牙缝隙闭合,排齐牙齿,效果自然且健康,而且彻底解决牙缝问题。

有部分患者觉得传统金属矫正器不美观、舒适、时间漫长而拒绝矫正,这时活动式的数字化全隐形矫正方式就是理想选择。
♥.能让患者在不影响外观下,悄悄变美。
♥.可随时摘戴,方便、舒适。
♥.可以通过计算机软件模拟矫正过程,直接看到矫正后结果。


牙友问:
门牙牙缝大,去戴牙套,医生说要把缝往后排牙移,会对牙齿造成影响么?
牙医答:
牙齿矫正是通过轻的矫治力诱导牙齿移动,是一种缓慢的生物改建过程,被移动牙齿的一侧骨吸收,另一侧骨新生重建,最终使牙齿移动至正常位置,不会对牙齿、牙周组织产生创伤!

瓷贴面
瓷贴面,自然不易脱落,瓷贴面可以最大限度的少磨牙齿或不磨牙齿。对于氟斑牙、轻中度四环素牙、轻微牙齿稀疏或排列不齐等问题有优良的美学效果。

但是它的缺点是价格相对较贵,适应症有一定的局限性,它对于一些缝隙过大、牙齿过于扭曲的牙齿并不适用。

门牙明显有缝隙,拉低颜值

做了瓷贴面,关闭缝隙,牙齿长宽比例完美,
显得年轻有活力,又可以放肆笑了
全冠修复
全冠修复也就是大家听说的烤瓷牙或全瓷牙。优点是在关闭间隙的同时可以改变牙齿形态和位置,得到一个美观的效果。
缺点是要磨除一部分健康的牙齿,对牙齿损伤明显,建议慎重选择。



全瓷冠适用于:牙齿本身颜色不佳、磨损大、发育畸形、形态不好或已有大蛀洞的。
到底该选择哪种方式?
至于你适合哪种方式,建议大家到专业口腔机构先做全面检查,专业牙医通常会根据你的具体情况,制定2-3个方案供你选择,并帮助你选择最佳方式。
门牙缝大的赶紧修复起来,牙好看了,笑起来也有自信了,自信了整个人生都在发光呢~
牙医推荐

武玉锦
腔副主任医师
口腔医学讲师
毕业于吉林大学,口腔临床经验26年,中国卫生部口腔执业认证的口腔副主任医师。曾坐诊中国人民解放军总医院(口腔中心)、中国*警武**上海总院等多家三级甲等医院特需诊室和首席VIP诊室,担任国内美容整形机构口腔部全国种植总监及口腔美容主任,是国内较早开展微创种植研究的学者之一。 在口腔种植领域,精通ITI、Nobel、奥齿泰、安多健、Ankloys等国际知名种植系统,已累积完成近万病例。
主攻方向:微创口腔种植、复杂全口种植、种植+覆盖义齿联合修复、前牙美容修复,固定修复;近年对种植早期修复,种植即刻修复,牙周炎治疗及愈后修复多有心得,疗效显著,深受患者好评。