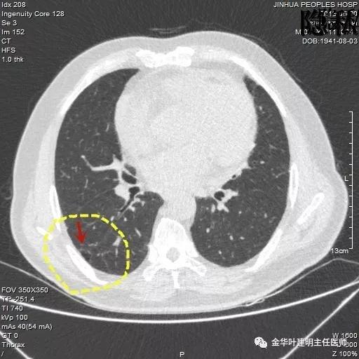
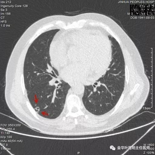
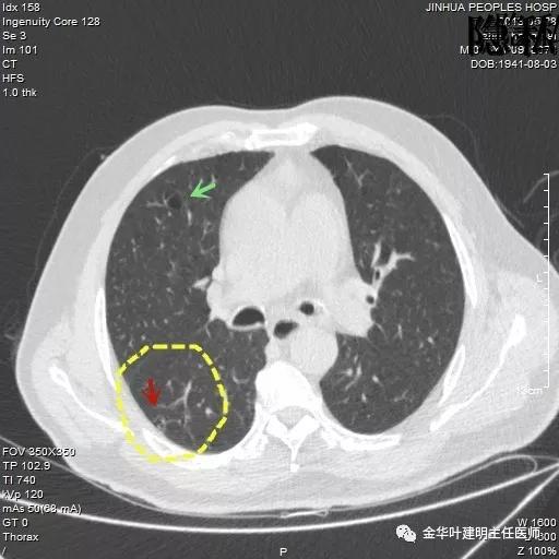
金华的周某,今年已经78岁了,上个月底单位退休人员体检,查出他的右肺有一结节,结果出来后,这个月通知他到胸外科复诊。因为是我的亲戚,便直接找到了我,我从电脑里调出他的CT片,如下所示:









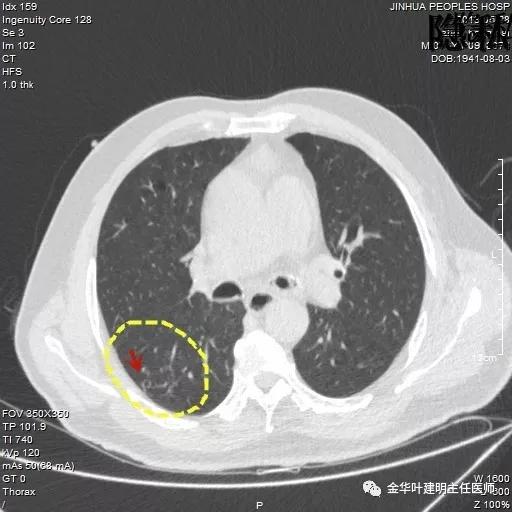
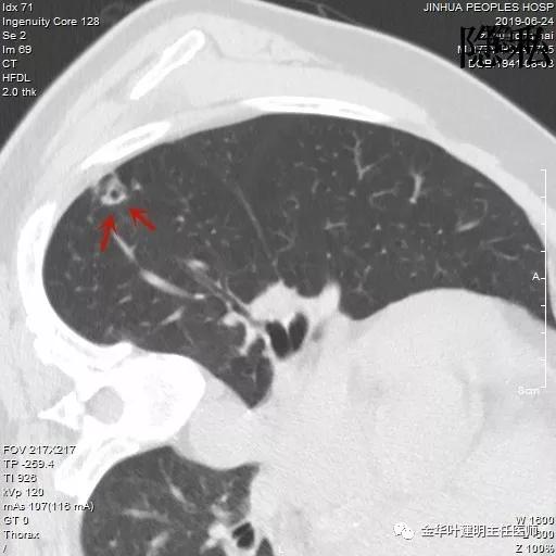
可见其右下叶有一空腔性病灶,壁薄,病灶下方见到实性密度的成份。我们看过目前的片子后,马上想到的是此病灶以前有没有,对比是非常重要的。调出之前片子:


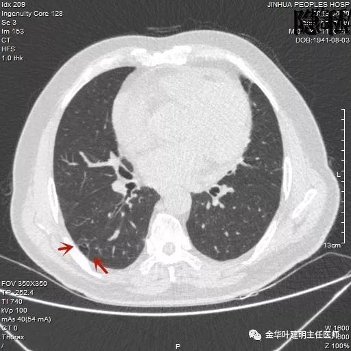
以上是2015年12月的片子,此处没有异常。


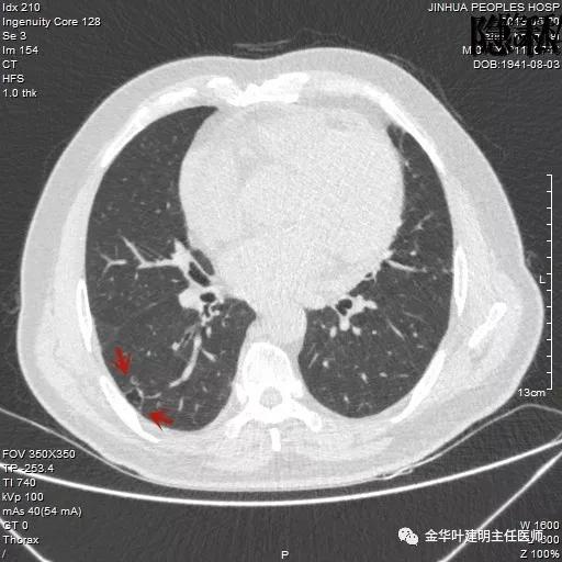
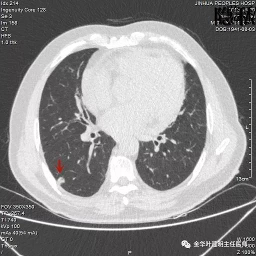
以上是2016年5月的片子,此处有非常小而淡的空腔性病灶,边缘略显磨玻璃,但仍说不上肯定的恶性。



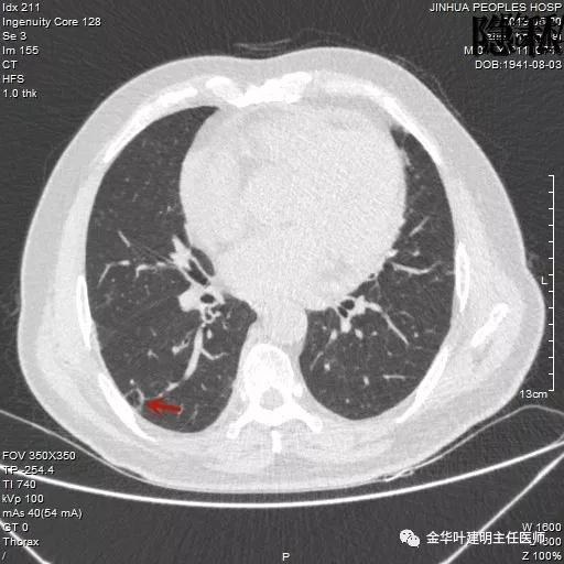
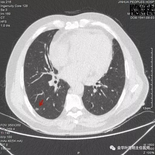
以上是2018年5月的片子,此处也呈空腔性病灶,但也点像是个肺大泡,因为绿色箭头所指处也有肺大泡。
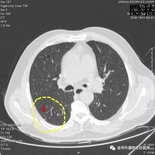
如果我们把各个时候的片子放在一起对比,就会发现右下叶背段的空腔性病灶是从无到有,并逐渐进展的:




逐渐进展的空腔性病灶,特别边缘还是磨玻璃样的,需要特别当心,虽然有的层面看上去似肺大泡,但仍需我们提高警惕,注意必要的随访复查。
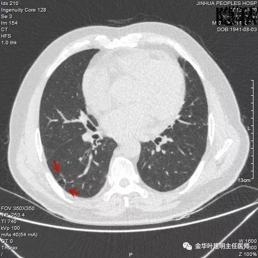
考虑恶性,那么就得考虑住院并行手术治疗,入院后再进一步查靶扫描,结果如下:







是不是囊腔型腺癌?周围病灶,有空腔,有磨玻璃成份,当然要考虑,但我觉得因为似乎是以往是空腔性病变,今年其内部分填充了实性成分,要考虑粘液腺癌可能为大。当然反正都得手术切除治疗。
经过必要的术前准备,我们予以行“单孔胸腔镜下右肺下叶部分切除术”,当然按理也可先楔形切除后,送快速切片,如果报浸润性腺癌,那么可再行下叶切除并淋巴结清扫,也可以行右肺下叶背段切除术。但我考虑一来患者已经78岁高龄,二来病灶进展也不算快,相对局限,为了生活质量不受明显影响,还是拟仅行右下叶部分切除。结果术后病理居然是鳞癌!当然具体类型腺癌还是鳞癌,抑或微浸润腺癌都是次要的,主要的是我们要判断出病灶是良性还是恶性,是否需要手术切除?手术方式个体化,如何达到效果相当而对机体影响更小。
这样的鳞癌不常见!!
我们平常工作中,看来如果检查发现所谓的肺大泡,还是一样要留个心眼,让患者至少1年要复查一次,尤其当泡壁感觉稍微比较厚的情况下,需要考虑会不会是早期肺癌。