阳光讯(向俊西 王馨 记者 郑亚雷)近日,西安交大一附院东院区(阎良区)肝胆外科成功完成一例扩大右半肝+全尾状叶切除手术,为42岁女性患者切除直径25cm的巨大肝血管瘤,患者术后恢复良好,这标志着西安交大一附院东院区(阎良区)肝胆外科高难度手术水平再上新台阶。
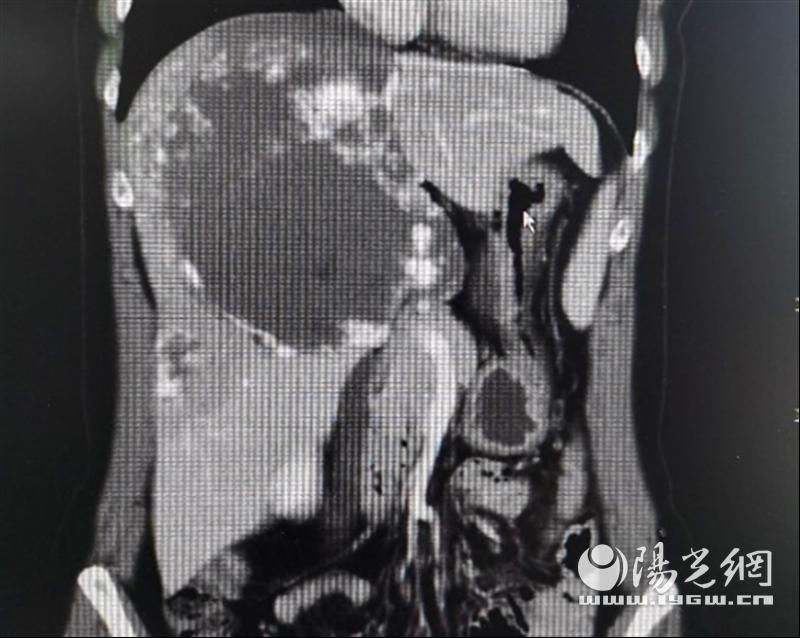
来自咸阳市的李女士,现年42岁,2个月前,她自觉上腹部疼痛,在当地医院检查后发现肝右叶有巨大占位性病变,疑为肝血管瘤。肝血管瘤是最常见的肝脏良性肿瘤,绝大多数患者并无症状,常常因为体检时查B超才发现。常见的肝血管瘤大多较小,直径超过10cm的就称之为巨大肝血管瘤,像李女士这样直径25cm大的则非常少见。
由于李女士的肿瘤不仅巨大,且位置紧靠手术难度极大的肝尾状叶区域,手术风险高,李女士访遍省内多家医院都不敢贸然手术,最终慕名来到一附院寻求诊治。在肝胆外科姚英民教授门诊,李女士迫切表示,“我的母亲就是因为肝癌去世的,现在我不仅腹部疼痛,心理压力更大,请您一定要为我手术!”
在慎重评估后,姚英民教授决定将李女士收住院,为其进行手术治疗。李女士入院后,肝胆外科姚英民教授、沙焕臣副教授对患者血管瘤病灶进行了精准术前评估。李女士所患血管瘤主要位于肝右叶、左内叶(IV段)及尾状叶,同时与第一肝门、第二肝门重要管道关系密切,推压变形,手术难度和风险非常之大。但手术治疗对患者非常有必要,这么大的血管瘤位于肝脏多条管道的纵横交错部,万一发生破裂,急诊处理会非常被动,很容易危及生命。

3月9日上午,姚英民教授、沙焕臣副教授同台合作,为李女士进行手术。在麻醉手术科医护团队的密切配合下,经过精细的术中解剖游离,将肝右叶、IV段及尾状叶连同直径25cm的血管瘤精确、完整、彻底切除,且充分保留了所有重要管道,整个手术过程约5小时。手术成功后,李女士恢复顺利,没有任何并发症发生,目前已顺利出院。

东院区肝胆外科沙焕臣主任介绍,肝血管瘤的成因目前多认为与先天性因素有关,近年来,随着影像学检查的进步、就医人群的增多,发现有肝血管瘤的患者也越来越多,一般对于10cm以下、无明显症状的肝血管瘤患者,建议无需手术治疗。以下情况,可考虑手术治疗:肝血管瘤的部位如果处于肝脏表面,容易造成挤压、碰撞、摩擦导致破裂出血者;肝血管瘤位于肝脏内重要部位,与血管、肝内管道密切相邻者;短期内生长迅速者;血管瘤较大,且出现相关临床症状,有严重心理负担者。
编辑:程珂