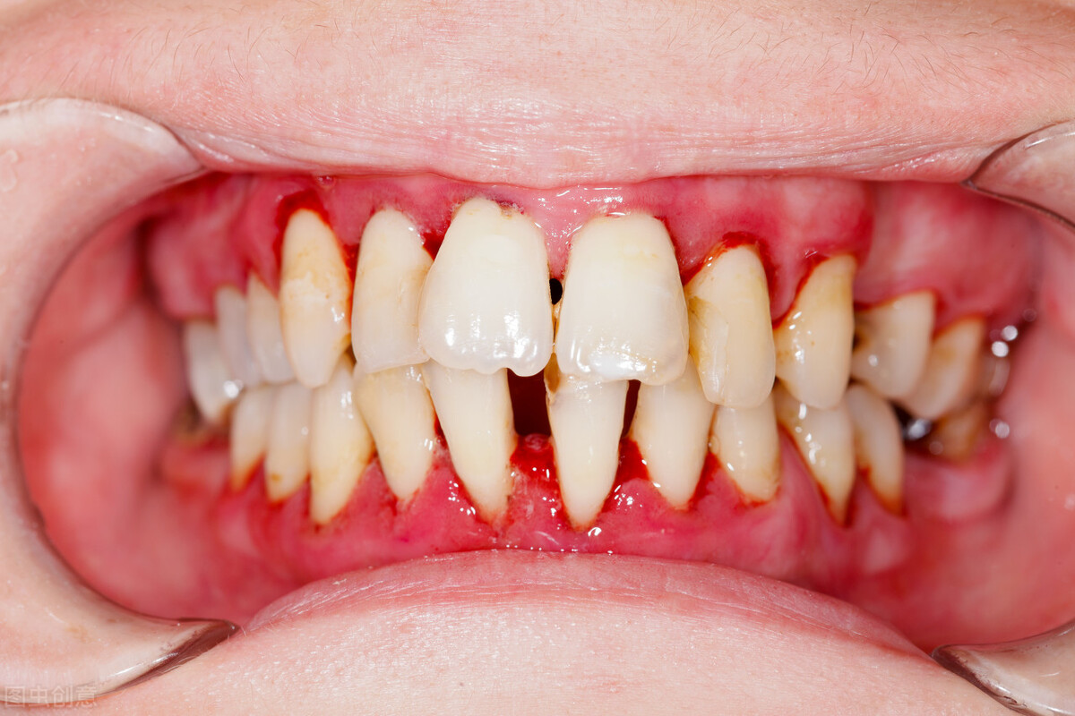
很多人出现牙龈萎缩后都会十分犯愁,因为不仅日常刷牙流血还会导致口臭、牙齿酸软松动等情况。很多人都苦不堪言,今天就来给大家讲解如何“脱离苦海”。

为什么会出现牙龈萎缩?出现牙龈萎缩要怎么办?
出现牙龈萎缩的原因各有不同我给大家总结四点并告诉大家要怎么做!
1、年龄增长导致的。
随着年龄增长,我们的身体机能可开始退化,于是出现了牙龈萎缩的现象。
解决办法: 建议大家一定要均衡饮食,尤其是中老年人,要注重补钙!钙流失容易导致我们的牙槽骨也跟着萎缩于是导致牙龈也跟着萎缩。

2、牙周炎症导致的。
很多人的口腔卫生没有做好,食物残渣留在口腔牙齿,长久下去菌斑堆积,形成牙结石,于是慢慢地就出现了牙龈炎症,长期的炎症刺激下,牙龈就慢慢萎缩了。
解决办法: 建议一定要做好口腔清洁,早晚上刷,定期去正规的口腔医院进行超声波洁牙,如果处于牙周炎中度了,可以进行亚洲刮治,积极治疗,预防进一步萎缩、松动。

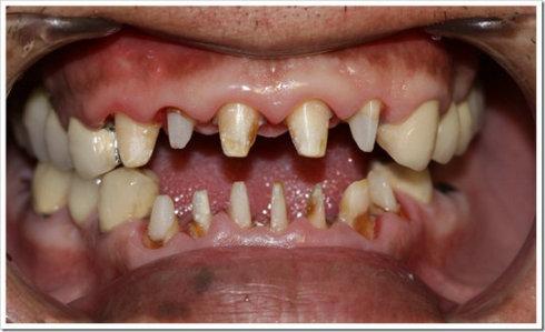
3、牙齿排列不整齐导致的。
据了解,牙齿不整齐的人患牙病几率要比牙齿整齐的要高。拥挤的牙齿会让牙槽骨变得越来越少,日常饮食啃食坚硬的东西的时候更容易导致牙槽骨被吸收,从而引起牙龈萎缩等情况出现。
解决办法: 牙齿不整齐的可以及时进行牙齿矫正并且少吃过于坚硬的食物。

4、不良的修复体导致的。
部分人群以前牙齿出现了问题,贪图便宜进行装配治疗较差的假牙,但是这些质量差,不正规的治疗办法很容易导致牙齿发生炎症,进而感染其他牙齿,导致牙龈萎缩。
解决办法: 到正规的口腔医院找专业的医生进行不良修复体的拆除,并重新修复好牙。

以上四个就是*日我**常看诊时经常遇到的牙龈萎缩的患者的情况,在这里建议大家,看牙治牙不仅要及时还要去正规有资质的医院才可以!