
我还能再站起来吗?
很庆幸,面对这样一个足以改变患者一生的问题,我院骨伤一科专家用实际行动作出了肯定的回答。

近期我院骨一科刘文刚主任团队为一位骶骨骨折压迫脊髓的患者成功实施了我院首例腰椎髂骨联合椎弓根钉固定+植骨融合+骶管减压手术,让这位面临截瘫的患者重新站立行走,重获新生,在为患者保驾护航的同时,也为诊治此类罕见病例积累了经验,代表着我院骨科解决疑难危重病例的水平又上新台阶。
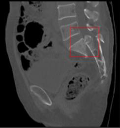
患者CT

正常人CT
“诊室故事”
70岁高龄的吴阿姨因腰骶部疼痛在广州多家医院辗转治疗,未得到明确诊断和有效治疗,病情加重,出现大小便*禁失**、双下肢乏力等症状,瘦弱的身体倍受病魔折磨,用她自己的话说就是“半个月前我还健步如飞,现在别说走了,连大小便都已经不归自己管了”。
2017年7月3日,患者经多方打听,转至我院骨伤一科进行诊治。患者入院完善相关检查,其中骨盆CT显示:骶1骨折(粉碎性骨折),继发相应椎管重度狭窄。再结合患者病史症状体征及其他影像学资料,最后诊断为:不稳定型骶骨骨折。
笔记
PAGE1
不稳定型骶骨骨折是一种非常罕见疾病,又称为“自杀性骨折”,文献报道,骶骨骨折仅仅约占脊柱骨折的1%,而其中不稳定的横行骨折只占骶骨骨折的5%。
不稳定型骶骨骨折损伤复杂,具有很高的脊髓神经损害发病率,如果不及时手术长期压迫神经将出现二便*禁失**甚至截瘫等症状,严重影响患者生活质量。因手术过程中复位固定困难,发生截瘫、大出血等严重并发症的风险极高,所以该类手术须由经验丰富的骨科医生精细操作以最大程度地避免血管、神经损伤。
本例患者病情复杂、罕见,针对患者病情,骨伤一科专家查阅大量国内外文献,反复多次讨论,制定了完善的手术和康复方案。刘文刚主任团队为患者成功实施了我院首例腰椎髂骨联合椎弓根钉固定+植骨融合+骶管减压手术,彻底解除骶骨骨折对神经脊髓的压迫,恢复了脊柱的稳定性。患者术后大小便功能逐渐恢复正常,双下肢肌力明显改善,最终得以下地行走。

专 家 介 绍
刘文刚 广东省第二中医院骨伤一科主任

刘文刚,主任中医师,教授,博士研究生。擅长用中西医结合方法治疗关节炎、股骨头坏死、髋关节发育不良、强直性脊柱炎、骨质疏松症等,并紧跟医学前沿,尤其对人工髋、膝、肩关节置换、关节镜手术、经皮椎体成形术等手术治疗体会较深。
出诊时间:周一、四、六上午。