每个人都有牙齿敏感的经验:喝一口冷水,感到牙齿不舒服; 当牙刷接触牙齿表面的特定部分时,牙齿会出现暂时的针状疼痛。
牙齿敏感是牙齿向主人发送的求救消息,“主人,救救我!” 是什么使牙齿处于危险之中? 牙齿拥有者应如何保存呢? 让我们一起学习。

牙齿敏感怎么办?#雅悦齿科#
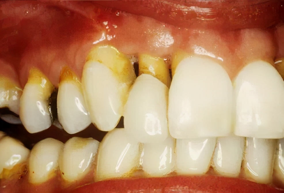
1.牙龈后退,牙根表面暴露。
牙根表面有无数小管直接通向牙髓神经。 一旦牙龈屏障消失,刺激就可以直接刺激牙髓神经而不会产生阻碍,从而引起疼痛。

牙齿敏感怎么办?#雅悦齿科#

牙齿敏感怎么办?#雅悦齿科#
注意:黄色部分是牙根表面,蓝色部分是直接通向髓神经的小管
原因:
a.刷牙力太大,刷毛太硬会导致牙龈萎缩和牙根表面裸露
b.牙周炎引起牙龈萎缩并暴露牙根表面
对策:
a.选择软牙刷以控制刷牙的强度;如果您无法控制刷牙的强度,建议使用电动牙刷
b.定期拜访牙医进行牙周治疗。
2.牙釉质的磨损。牙冠表面的牙釉质会磨损,从而导致脆弱的牙本质暴露。牙本质的结构类似于牙齿的根部,并且有无数的小管直接通向牙髓神经。温度或机械刺激会刺激神经。
导致瓷釉磨损的机械摩擦或化学腐蚀:
a. 咬紧或磨齿
b. 刷牙时,水平刷力过大,距离过长
c. 经常使用含酸性物质的漱口水会加剧牙釉质的磨损
d. 过多消耗酸性物质会导致瓷釉腐蚀
对策:
a.磨损咬合垫以减少因牙齿打磨或咬合而引起的牙釉质磨损
b.掌握正确的刷牙方法,尝试垂直刷牙
c.咨询牙医并更换中性氟化物漱口水
d.吃了酸性物质后,用水漱口
3.龋齿是逐渐破坏牙釉质和牙本质的过程,损伤深度越靠近牙髓神经,敏感性症状越明显。

牙齿敏感怎么办?#雅悦齿科#
对策:
保持良好的口腔卫生,饮食合理,并定期检查牙齿。一旦发现龋齿,请立即寻求牙医的帮助。
4.牙齿破裂

牙齿敏感怎么办?#雅悦齿科#
咀嚼冰块,硬糖,用牙齿打开酒瓶盖等,很容易导致牙齿破裂。尽管牙齿的完整性是可以接受的,但是在咀嚼时,摩擦力会迫使裂纹两侧的组织产生相对运动,而机械摩擦产生的热量可能会刺激牙髓神经并引起疼痛。另外,隐秘的裂纹可能会保留细菌并导致牙髓感染并引起严重的疼痛。
注意:在电子显微镜下,牙齿表面隐藏的裂纹看起来像火山口吗?
5.最近的牙科治疗
牙齿增白,牙齿清洁,牙冠修复等可能会引起暂时的牙齿敏感,通常可以自行缓解,脱敏牙膏也可以用于促进牙齿舒缓。如果您特别敏感,请告知您的牙医。牙医将使用局部脱敏凝胶以减轻不适感。
我希望牙齿所有者能够好好对待牙齿,关心牙齿发送给您的每个信号,并及时缓解围困。然后,牙齿将与拥有者保持健康,并一起变老!