有一天,朋友洗牙回来,发现牙缝变大了,而且吃饭时还有塞牙的现象。她就开始抱怨不应该去洗牙。一时我也不知道该怎么讲好,当时也决定写这篇易懂的文章作以解释,也希望她能看到。

我理解朋友洗牙后牙缝变大,是看到了这样的结果,但并没有分析事情的起因。
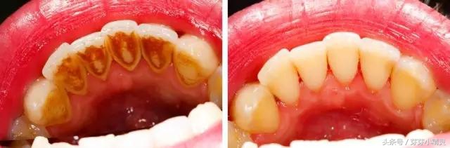
洗牙前我们一定天天面对自己的牙齿,很清楚自己的牙齿状态,牙齿中间有很多的牙结石,同时也有可能存在牙龈肿胀的情况。牙齿的间隙被牙石和牙龈塞的满满的。而洗牙就是把这些牙结石等外来的脏污清理掉,清掉后就露出了原来的空间。

你可能会想,我两牙之间怎么会有空间呢?因为我们平日没有认真刷牙,在两牙中间多年形成牙结石,牙结石中存在大量的细菌和细菌毒素,它会机械性的刺激牙龈,牙龈发生炎症,出现红肿,形成牙龈炎症,甚至牙周炎,牙龈会萎缩,牙齿就变长了,两牙之间自然就出现了空隙。

说到这里,相信你会明白,即使你不去掉牙结石,这个牙缝也是存在的,现在只是把堵住牙缝的石头去掉了。如果不去掉这个牙结石,这个缝隙还是会悄悄地变大,这些刺激物会更进一部破坏牙周组织,直到很多年后的一天,牙槽骨吸收,牙齿松动,那个时候就不是洗牙的好坏了,而是该不该拔牙了。

你试着想一想,我们牙齿好好的,怎么就沦落成现在这样了?牙齿随着年龄的增长,正常的生理性的萎缩是很微小的。几乎都是牙齿病理性的萎缩,既然是病,我们就应该治,而且要从根源上解决。根源就是早晚认真正确的刷牙,使用牙线,每年洁牙一次,定期检查、小病早治,才能保护好我们的牙齿,维护口腔健康。

最后,我们该为洗牙这件事正身,洗牙用的超声洁牙器本身没有任何切削功能,是靠超声波的高频震动将牙结石击碎,不会损伤牙齿。当然会有一些洁牙师操作不当,加压或者在牙面停留时间过长,会在牙面上留下轻微划痕,一般在显微镜下可见细微的粗糙面,但是这种划痕可通过抛光来弥补。

一定要说超声洁牙会损伤牙齿,实际损坏的也是牙齿已经龋坏变脆的部分,但是,如果不洗牙,龋坏的牙齿会越来越严重。洗牙时也可能会出现酸痛,因为牙结石中的细菌已经产酸,造成牙齿的破坏才会出现酸痛,好的牙齿是不会产生酸痛的感觉。
