
前段时间
“网红虫”锥蝽的缉查令一出
街坊纷纷加入找虫行列
那“锥蝽”到底是什么鬼?
小编带大家科普一下
(下)
01
锥虫是什么?它可以引起什么病?
锥虫属于动鞭毛纲,锥虫科,是寄生于鱼类、鸟类、两栖类、爬行类、哺乳类动物以及人的血液或组织细胞内的原虫。对人体致病的锥虫主要为布氏锥虫和克氏锥虫。
-
布氏锥虫又分为冈比亚锥虫和罗得西亚锥虫,是非洲锥虫病的病原。
-
克氏锥虫是美洲锥虫病的病原。

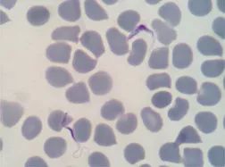
(显微镜下的罗得西亚锥虫)
02
什么是锥虫病?
锥虫病是由锥虫感染所致的人畜共患寄生虫病,分为非洲锥虫病和美洲锥虫病。
【非洲锥虫病】
又称昏睡病,是主要通过受感染采采蝇(舌蝇属)叮咬传播的寄生原虫病。其病原体有两种,冈比亚锥虫与罗得西亚锥虫。冈比亚锥虫病主要分布于非洲西部和中部的24个国家,约占报告病例的97%;罗得西亚锥虫病主要分布于非洲东部和南部的13个国家,约占报告病例的3%。中国已报道3例输入性非洲锥虫病,中国无采采蝇分布,因此该病在国内不会引起传播与流行。
【美洲锥虫病】
又称为恰加斯病, 是由克氏锥虫引起的一种热带寄生虫病。美洲锥虫病主要通过感染克氏锥虫的锥蝽粪便传播,锥蝽吸血时排出含锥虫的粪便,锥虫经叮咬或抓伤的伤口或眼、鼻、口黏膜侵入感染,也可偶然通过被污染的食物、输血、纵向传播、器官移植等方式造成感染。全世界约有600万至700万人感染克氏锥虫,主要流行于中美洲和南美洲的18个国家,尤以拉丁美洲的偏远地区多见。
03
锥蝽传播什么疾病?

锥蝽为美洲锥虫病的传播媒介。锥猎蝽亚科包括15~17属130余种,该亚科昆虫为吸血性种类,通过吸食脊椎动物的血液生存和繁殖。锥猎蝽亚科中的大全圆蝽、骚扰锥蝽和长红猎蝽是美洲热带地区美洲锥虫病的主要传播媒介。中国存在类似的媒介生物(红带锥蝽),但尚无感染克氏锥虫的报道。

04
美洲锥虫病为何引起广泛关注?
什么是新型艾滋病,它与艾滋病有什么相似之处?这是大家最为关注的一个问题。实际上,美洲锥虫病从病因、传播方式、流行范围等方面与艾滋病明显不同:
第一,传染途径不同。艾滋病由人与人之间直接传染,主要通过性传播。美洲锥虫病主要是通过锥蝽向人传播。
第二,病原体不同。艾滋病是由艾滋病病毒(HIV病毒)引起。美洲锥虫病的病原克氏锥虫是一种原生动物。
第三,流行范围不同。艾滋病是全球性的。而美洲锥虫病只有在美洲有直接通过锥蝽传染的病例,其他地方的病例由人员流动造成。目前,中国是美洲锥虫病的非流行区,也无该病的病例报道。
第四,疾病后果不同。目前在全世界范围内仍缺乏根治HIV感染的有效药物。美洲锥虫病若在急性期开始时很快用药(苄硝唑和硝呋替莫),这两种药物治愈该病的效力几乎为100%。早发现、早治疗至关重要!在慢性期,抗寄生虫治疗还可以预防或抑制疾病的进展。

如果被锥蝽叮咬了怎么办?

锥蝽是美洲锥虫病的传播媒介,并不是所有锥蝽都携带克氏锥虫,只有在该病流行区才有部分携带,大家不必过于紧张。锥蝽叮咬可致皮损或一侧眼睑青紫肿胀,部分被叮咬者可出现发热、头痛,甚至过敏性反应。若不慎被锥蝽叮咬后身体出现不适,应及时就医。

END
随手点个赞
身体一级棒

“健康顺德”微信编辑部 来源:福州疾控 编辑:祺、华